Pilon Bone Fracture

Pilon Bone Fracture

Understanding the intricacies of a *Pilon Bone Fracture* is crucial for anyone involved in orthopedic care or anyone who has experienced this type of injury. A *Pilon Bone Fracture* occurs at the distal end of the tibia, the larger of the two bones in the lower leg, and often involves the articular surface of the ankle joint. This type of fracture can be particularly challenging to treat due to its complex nature and the potential for long-term complications.

Understanding Pilon Bone Fractures

A *Pilon Bone Fracture* is a severe injury that typically results from high-energy trauma, such as a fall from a significant height or a motor vehicle accident. The force of the impact drives the talus (a bone in the ankle) upward into the distal tibia, causing a fracture. These fractures are often classified based on the pattern of the break and the extent of the damage to the surrounding soft tissues.

Classification of Pilon Bone Fractures

The most commonly used classification system for *Pilon Bone Fractures* is the Rüedi and Allgöwer classification, which categorizes these fractures into three types:

Type Description
Type I Non-displaced or minimally displaced fracture with minimal comminution.
Type II Displaced fracture with some comminution but no significant displacement of the articular surface.
Type III Severely comminuted fracture with significant displacement of the articular surface and often associated with soft tissue damage.

Each type of *Pilon Bone Fracture* requires a different approach to treatment, and understanding the classification is essential for determining the best course of action.

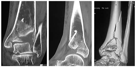
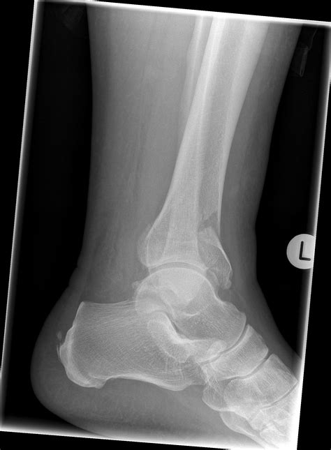
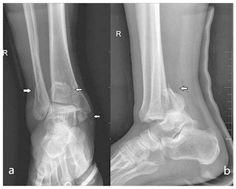
Diagnosis of Pilon Bone Fractures

Diagnosing a *Pilon Bone Fracture* involves a combination of clinical examination and imaging studies. The initial assessment typically includes:

  • Physical Examination: Evaluating the swelling, deformity, and tenderness around the ankle.
  • X-rays: Standard radiographs to visualize the fracture pattern and the extent of displacement.
  • CT Scans: Providing detailed images of the bone fragments and the articular surface, which are crucial for surgical planning.
  • MRI: Sometimes used to assess soft tissue damage, although it is less common due to the acute nature of the injury.

Accurate diagnosis is critical for developing an effective treatment plan and ensuring the best possible outcome for the patient.

Treatment Options for Pilon Bone Fractures

The treatment of a *Pilon Bone Fracture* depends on the severity of the injury, the patient's overall health, and the surgeon's expertise. The primary goals of treatment are to restore the articular surface, stabilize the fracture, and promote healing while minimizing complications.

Non-Surgical Treatment

Non-surgical treatment is typically reserved for minimally displaced or non-displaced fractures (Type I). This approach may include:

  • Immobilization: Using a cast or splint to keep the ankle stable and promote healing.
  • Non-weight-bearing: Avoiding any weight on the affected leg to prevent further displacement.
  • Pain Management: Medications to manage pain and inflammation.

Non-surgical treatment is generally less effective for more severe fractures and may not provide the best long-term outcomes.

Surgical Treatment

Surgical treatment is often necessary for displaced or comminuted fractures (Types II and III). The surgical approach may include:

  • Open Reduction and Internal Fixation (ORIF): A procedure where the fracture is reduced (realigned) and fixed with plates, screws, or other hardware to stabilize the bone.
  • External Fixation: Using an external frame to stabilize the fracture, often used in cases with significant soft tissue damage.
  • Minimally Invasive Techniques: Less invasive methods that may reduce the risk of complications, such as infection and soft tissue damage.

Surgical treatment aims to restore the articular surface and provide stability, allowing for early mobilization and rehabilitation.

📝 Note: The choice of surgical technique depends on the specific fracture pattern, the condition of the soft tissues, and the surgeon's preference.

Post-Operative Care and Rehabilitation

Post-operative care and rehabilitation are crucial for a successful recovery from a *Pilon Bone Fracture*. The rehabilitation process typically includes:

  • Pain Management: Continued use of medications to manage pain and inflammation.
  • Wound Care: Proper care of the surgical site to prevent infection.
  • Physical Therapy: Exercises to restore range of motion, strength, and function in the ankle and lower leg.
  • Weight-Bearing Progression: Gradual increase in weight-bearing activities as healing progresses.

Rehabilitation should be tailored to the individual patient's needs and progress, with close monitoring by healthcare professionals to ensure optimal outcomes.

Complications of Pilon Bone Fractures

Despite advances in treatment, *Pilon Bone Fractures* can be associated with several complications, including:

  • Infection: Particularly in cases requiring open reduction and internal fixation.
  • Non-union or Malunion: Failure of the fracture to heal properly or healing in a misaligned position.
  • Post-traumatic Arthritis: Development of arthritis in the ankle joint due to damage to the articular surface.
  • Soft Tissue Damage: Including skin breakdown, nerve injury, and vascular compromise.

Early recognition and management of these complications are essential for minimizing their impact on the patient's recovery and long-term function.

📝 Note: Patients with *Pilon Bone Fractures* should be closely monitored for signs of complications and receive prompt treatment if any issues arise.

Long-Term Outcomes and Prognosis

The long-term outcomes and prognosis for patients with *Pilon Bone Fractures* can vary widely depending on the severity of the injury, the effectiveness of treatment, and the patient's adherence to the rehabilitation program. Factors that influence the prognosis include:

  • Fracture Pattern: More complex and comminuted fractures generally have a poorer prognosis.
  • Soft Tissue Damage: Extensive soft tissue injury can complicate healing and rehabilitation.
  • Patient Compliance: Adherence to the rehabilitation program and follow-up care is crucial for optimal outcomes.
  • Surgical Technique: The choice of surgical technique and the surgeon's expertise can significantly impact the results.

With appropriate treatment and rehabilitation, many patients can achieve good functional outcomes and return to their pre-injury activities. However, some patients may experience long-term limitations in ankle function and mobility.

In summary, Pilon Bone Fractures are complex injuries that require careful diagnosis, treatment, and rehabilitation. Understanding the classification, diagnosis, treatment options, and potential complications is essential for healthcare professionals and patients alike. By following a comprehensive approach to care, patients can achieve the best possible outcomes and minimize the risk of long-term complications.

Related Terms:

  • pilon fracture causes
  • pilon fractures orthobullets
  • pilon fracture of left tibia
  • what does pilon fracture mean
  • displaced pilon fracture
  • pilon fracture recovery timeline