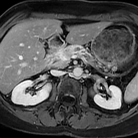
Pancreatic Adenocarcinoma Ct Scan

Pancreatic Adenocarcinoma Ct Scan

Pancreatic adenocarcinoma is a particularly aggressive form of pancreatic cancer that originates in the exocrine cells of the pancreas. Early detection and accurate diagnosis are crucial for effective treatment. One of the most important diagnostic tools for pancreatic adenocarcinoma is the Pancreatic Adenocarcinoma CT Scan. This imaging technique provides detailed images of the pancreas and surrounding tissues, helping healthcare professionals to identify tumors, assess their size and location, and plan appropriate treatment strategies.

Understanding Pancreatic Adenocarcinoma

Pancreatic adenocarcinoma is the most common type of pancreatic cancer, accounting for about 90% of all pancreatic cancer cases. It typically develops in the cells that produce enzymes to aid in digestion. The pancreas is located deep within the abdomen, making it difficult to detect tumors through physical examination alone. Symptoms often do not appear until the cancer has advanced, which is why early detection through imaging techniques like CT scans is so important.

The Role of CT Scans in Diagnosing Pancreatic Adenocarcinoma

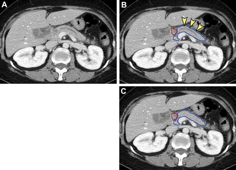
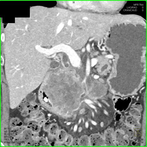
A Pancreatic Adenocarcinoma CT Scan is a non-invasive imaging procedure that uses X-rays to create detailed cross-sectional images of the body. These scans are particularly useful for diagnosing pancreatic adenocarcinoma because they can:

  • Detect tumors in the pancreas.
  • Determine the size and location of the tumor.
  • Assess the extent of the cancer's spread to nearby organs and lymph nodes.
  • Guide biopsy procedures to obtain tissue samples for further analysis.
  • Monitor the effectiveness of treatment over time.

Preparing for a Pancreatic Adenocarcinoma CT Scan

Preparation for a Pancreatic Adenocarcinoma CT Scan is relatively straightforward but requires some specific steps to ensure accurate results. Patients are typically advised to:

  • Fast for several hours before the scan to ensure the stomach and intestines are empty.
  • Avoid drinking or eating anything that contains contrast dye, as it can interfere with the scan.
  • Inform the healthcare provider about any allergies, especially to contrast dyes.
  • Remove any metal objects, such as jewelry or clothing with metal zippers, that could interfere with the scan.

In some cases, patients may be given a contrast dye either orally or intravenously to enhance the visibility of the pancreas and surrounding tissues. This dye helps to highlight any abnormalities that might not be visible on a standard CT scan.

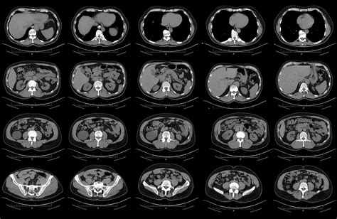
The CT Scan Procedure

The Pancreatic Adenocarcinoma CT Scan procedure is typically performed in a hospital or outpatient imaging center. The process involves the following steps:

  • The patient lies on a table that slides into the CT scanner.
  • The table moves slowly through the scanner, taking multiple X-ray images from different angles.
  • The entire procedure usually takes about 15-30 minutes, depending on whether contrast dye is used.
  • After the scan, the patient can usually resume normal activities immediately.

During the scan, it is important for the patient to remain still to ensure clear and accurate images. The technician may provide instructions to help the patient hold their breath at certain points to minimize movement.

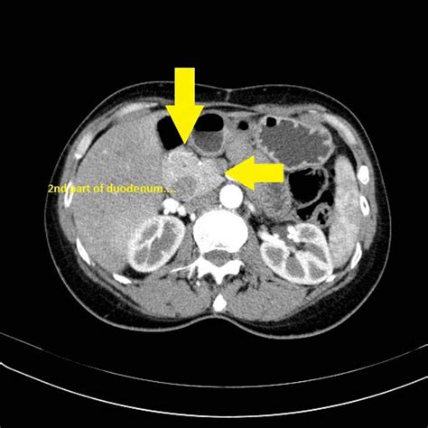
Interpreting CT Scan Results

After the Pancreatic Adenocarcinoma CT Scan, a radiologist will review the images to look for any signs of pancreatic adenocarcinoma. The results will be sent to the referring physician, who will discuss them with the patient. The scan results can provide valuable information, including:

  • The presence and location of any tumors.
  • The size and shape of the tumor.
  • Whether the tumor has spread to nearby organs or lymph nodes.
  • Any other abnormalities in the pancreas or surrounding tissues.

If a tumor is detected, further tests such as a biopsy may be recommended to confirm the diagnosis and determine the type of cancer. The biopsy involves taking a small sample of tissue from the tumor for laboratory analysis.

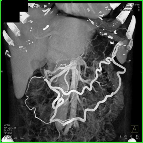
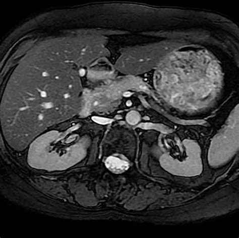
Advanced Imaging Techniques

In addition to standard CT scans, advanced imaging techniques can provide even more detailed information about pancreatic adenocarcinoma. These techniques include:

  • Magnetic Resonance Imaging (MRI): MRI uses magnetic fields and radio waves to create detailed images of the body. It can provide more information about soft tissues and is often used in conjunction with CT scans.
  • Positron Emission Tomography (PET) Scan: A PET scan uses a radioactive tracer to highlight areas of high metabolic activity, which can indicate the presence of cancer cells. It is often combined with a CT scan (PET/CT) to provide both functional and structural information.
  • Endoscopic Ultrasound (EUS): EUS involves inserting a thin, flexible tube with a camera and ultrasound probe into the digestive tract to get a close-up view of the pancreas. It can be used to guide biopsies and provide detailed images of the pancreas.

These advanced imaging techniques can complement the information provided by a Pancreatic Adenocarcinoma CT Scan, helping to create a comprehensive picture of the cancer's extent and characteristics.

Treatment Options for Pancreatic Adenocarcinoma

Once pancreatic adenocarcinoma is diagnosed, treatment options will depend on the stage of the cancer, the patient's overall health, and other factors. Common treatment approaches include:

  • Surgery: Surgical removal of the tumor is often the first line of treatment for early-stage pancreatic adenocarcinoma. The type of surgery will depend on the location and size of the tumor.
  • Chemotherapy: Chemotherapy uses drugs to kill cancer cells and is often used in combination with surgery or radiation therapy. It can be administered before or after surgery to shrink the tumor or prevent recurrence.
  • Radiation Therapy: Radiation therapy uses high-energy beams to target and destroy cancer cells. It can be used alone or in combination with chemotherapy and surgery.
  • Targeted Therapy: Targeted therapy uses drugs that specifically target the molecular changes in cancer cells. This approach is often used in combination with other treatments.
  • Immunotherapy: Immunotherapy uses the body's immune system to fight cancer cells. It is a newer treatment option that is being studied for its effectiveness in pancreatic adenocarcinoma.

Each treatment plan is tailored to the individual patient's needs and may involve a combination of these approaches. Regular follow-up appointments and imaging tests, including Pancreatic Adenocarcinoma CT Scans, are essential to monitor the effectiveness of treatment and detect any recurrence of the cancer.

Importance of Early Detection

Early detection of pancreatic adenocarcinoma significantly improves the chances of successful treatment and survival. However, the symptoms of pancreatic cancer often do not appear until the disease has progressed to an advanced stage. Common symptoms include:

  • Abdominal pain.
  • Jaundice (yellowing of the skin and eyes).
  • Weight loss.
  • Loss of appetite.
  • Fatigue.
  • Nausea and vomiting.

If you experience any of these symptoms, it is important to consult a healthcare provider for a thorough evaluation. A Pancreatic Adenocarcinoma CT Scan can be a crucial step in the diagnostic process, helping to detect the cancer at an early stage when treatment is most effective.

Living with Pancreatic Adenocarcinoma

Receiving a diagnosis of pancreatic adenocarcinoma can be overwhelming, but there are resources and support available to help patients and their families cope with the challenges of this disease. Support groups, counseling services, and educational materials can provide valuable information and emotional support throughout the treatment journey.

It is also important for patients to maintain a healthy lifestyle, including a balanced diet, regular exercise, and stress management techniques. These practices can help improve overall well-being and quality of life during and after treatment.

Regular follow-up appointments and imaging tests, including Pancreatic Adenocarcinoma CT Scans, are essential to monitor the effectiveness of treatment and detect any recurrence of the cancer. Early detection and prompt intervention can significantly improve the chances of successful treatment and survival.

Patients should work closely with their healthcare team to develop a personalized treatment plan and stay informed about the latest advancements in pancreatic cancer research and treatment options.

Pancreatic adenocarcinoma is a challenging disease, but with early detection, comprehensive treatment, and ongoing support, patients can navigate this journey with hope and resilience.

📝 Note: The information provided in this blog post is for educational purposes only and should not be used as a substitute for professional medical advice. Always consult a healthcare provider for personalized medical guidance.

Pancreatic adenocarcinoma is a complex and aggressive form of cancer that requires early detection and comprehensive treatment strategies. The Pancreatic Adenocarcinoma CT Scan plays a crucial role in diagnosing and monitoring this disease, providing valuable information that guides treatment decisions. By understanding the importance of early detection, the diagnostic process, and the available treatment options, patients and their families can navigate this challenging journey with greater confidence and hope.

Related Terms:

  • pancreatic head mass ct scan
  • adenocarcinoma pancreatic cancer
  • mri images of pancreatic cancer
  • what causes pancreatic cancer
  • pancreatic adenocarcinoma staging
  • pancreatic adenocarcinoma on ct imaging