Ground Glass Nodule

Ground Glass Nodule

Understanding the intricacies of a Ground Glass Nodule (GGN) is crucial for both medical professionals and patients alike. This type of lung nodule presents unique challenges and opportunities in the field of radiology and pulmonology. GGNs are characterized by their hazy, semi-transparent appearance on computed tomography (CT) scans, which can make them difficult to diagnose and manage. This blog post delves into the definition, causes, diagnosis, and management of GGNs, providing a comprehensive overview for those seeking to understand this complex medical condition.

What is a Ground Glass Nodule?

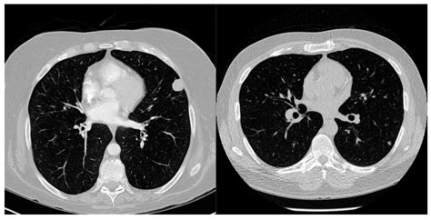
A Ground Glass Nodule is a type of lung nodule that appears as a hazy, increased opacity on a CT scan, without obscuring the underlying bronchial structures or vessels. This distinctive appearance sets GGNs apart from solid nodules, which completely obscure the underlying lung tissue. GGNs can be further classified based on their size and attenuation characteristics, which help in determining their potential malignancy.

Causes of Ground Glass Nodules

The causes of GGNs are varied and can range from benign to malignant conditions. Some of the most common causes include:

  • Infections: Certain infections, such as pneumonia or tuberculosis, can cause GGNs.
  • Inflammatory Conditions: Conditions like sarcoidosis or hypersensitivity pneumonitis can also lead to the formation of GGNs.
  • Neoplastic Lesions: Both benign and malignant tumors, including adenocarcinoma in situ (AIS) and minimally invasive adenocarcinoma (MIA), can present as GGNs.
  • Interstitial Lung Diseases: Conditions like idiopathic pulmonary fibrosis (IPF) and nonspecific interstitial pneumonia (NSIP) can also result in GGNs.

Diagnosis of Ground Glass Nodules

Diagnosing a Ground Glass Nodule involves a combination of imaging techniques and, in some cases, biopsy. The diagnostic process typically includes the following steps:

  • CT Scan: High-resolution CT scans are the primary imaging tool used to detect and characterize GGNs. These scans provide detailed images of the lung tissue, allowing radiologists to assess the size, shape, and attenuation of the nodule.
  • Positron Emission Tomography (PET) Scan: PET scans can help determine the metabolic activity of the nodule, which can indicate whether it is benign or malignant.
  • Bronchoscopy: In some cases, a bronchoscopy may be performed to obtain a tissue sample for biopsy. This procedure involves inserting a thin, flexible tube with a camera into the lungs to visualize and sample the nodule.
  • Video-Assisted Thoracoscopic Surgery (VATS): For nodules that are difficult to access via bronchoscopy, VATS may be used to obtain a tissue sample. This minimally invasive surgical procedure allows for direct visualization and biopsy of the nodule.

It is important to note that the diagnostic approach may vary depending on the size and characteristics of the GGN, as well as the patient's overall health and medical history.

📝 Note: Early and accurate diagnosis of GGNs is crucial for effective management and treatment. Patients with suspected GGNs should consult with a healthcare provider experienced in pulmonary medicine and radiology.

Management and Treatment of Ground Glass Nodules

The management and treatment of Ground Glass Nodules depend on various factors, including the size, growth rate, and attenuation characteristics of the nodule, as well as the patient’s overall health and medical history. The following are some common management strategies:

  • Observation: For small, stable GGNs that are likely benign, a watch-and-wait approach may be recommended. This involves regular follow-up CT scans to monitor any changes in the nodule’s size or characteristics.
  • Surgical Resection: For GGNs that are suspicious for malignancy or have shown growth on follow-up imaging, surgical resection may be recommended. This involves removing the nodule and a margin of surrounding tissue to ensure complete excision.
  • Chemotherapy and Radiation Therapy: In cases where the GGN is confirmed to be malignant, chemotherapy and radiation therapy may be used in addition to surgical resection to improve outcomes.
  • Targeted Therapies: For certain types of malignant GGNs, targeted therapies that specifically target the genetic mutations driving the cancer may be used. These therapies can be more effective and have fewer side effects than traditional chemotherapy.

It is essential to work closely with a multidisciplinary team of healthcare providers, including pulmonologists, radiologists, and thoracic surgeons, to develop an individualized management plan for each patient.

📝 Note: The management of GGNs should be tailored to the individual patient's needs and preferences, taking into account the potential risks and benefits of each treatment option.

Risk Factors and Prevention

While the exact causes of Ground Glass Nodules are not always clear, certain risk factors have been identified that may increase the likelihood of developing these nodules. Some of the most common risk factors include:

  • Smoking: Smoking is a significant risk factor for the development of lung nodules, including GGNs. Quitting smoking can reduce the risk of developing lung cancer and other respiratory diseases.
  • Exposure to Environmental Pollutants: Exposure to environmental pollutants, such as asbestos, radon, and certain chemicals, can increase the risk of developing lung nodules.
  • Family History: A family history of lung cancer or other respiratory diseases can increase the risk of developing GGNs.
  • Chronic Lung Diseases: Conditions such as chronic obstructive pulmonary disease (COPD) and interstitial lung diseases can increase the risk of developing lung nodules.

Preventing the development of GGNs involves addressing these risk factors through lifestyle changes and medical interventions. Some preventive measures include:

  • Quitting smoking and avoiding exposure to secondhand smoke.
  • Reducing exposure to environmental pollutants and occupational hazards.
  • Regular exercise and a healthy diet to maintain overall health.
  • Regular medical check-ups and screenings, especially for individuals with a family history of lung cancer or other respiratory diseases.

Prognosis and Follow-Up

The prognosis for patients with Ground Glass Nodules varies depending on the underlying cause and the specific characteristics of the nodule. For benign GGNs, the prognosis is generally excellent, with most patients experiencing no symptoms and requiring only regular follow-up imaging. For malignant GGNs, the prognosis depends on the stage of the cancer at the time of diagnosis and the effectiveness of the chosen treatment.

Follow-up care for patients with GGNs typically involves regular imaging studies, such as CT scans, to monitor for any changes in the nodule's size or characteristics. The frequency of follow-up imaging depends on the size, growth rate, and attenuation characteristics of the nodule, as well as the patient's overall health and medical history.

In some cases, additional diagnostic tests, such as PET scans or biopsies, may be recommended to further evaluate the nodule and guide treatment decisions. Patients should work closely with their healthcare providers to develop an individualized follow-up plan that meets their specific needs and preferences.

📝 Note: Regular follow-up care is essential for monitoring the progression of GGNs and ensuring timely intervention if necessary. Patients should adhere to their follow-up schedule and report any new or worsening symptoms to their healthcare provider.

Ground Glass Nodules in Specific Populations

Certain populations may be at higher risk for developing Ground Glass Nodules or may require specialized management strategies. Some of these populations include:

  • Smokers: Smokers are at increased risk for developing lung nodules, including GGNs. Quitting smoking can reduce the risk of developing lung cancer and other respiratory diseases.
  • Individuals with a Family History of Lung Cancer: Individuals with a family history of lung cancer may be at increased risk for developing GGNs. Regular screening and follow-up are essential for early detection and management.
  • Individuals with Chronic Lung Diseases: Conditions such as COPD and interstitial lung diseases can increase the risk of developing lung nodules. Regular monitoring and management of these conditions can help reduce the risk of developing GGNs.
  • Asymptomatic Individuals: Asymptomatic individuals with incidentally detected GGNs may require a different management approach compared to symptomatic patients. Regular follow-up imaging and careful monitoring are essential for these patients.

It is important to tailor the management and follow-up of GGNs to the specific needs and characteristics of each population. Healthcare providers should consider the individual patient's risk factors, medical history, and preferences when developing a management plan.

Future Directions in Ground Glass Nodule Research

Research on Ground Glass Nodules is ongoing, with a focus on improving diagnostic accuracy, developing new treatment options, and enhancing patient outcomes. Some of the key areas of research include:

  • Advanced Imaging Techniques: New imaging techniques, such as artificial intelligence (AI)-assisted CT scans and advanced PET scans, are being developed to improve the detection and characterization of GGNs.
  • Biomarkers: Researchers are exploring the use of biomarkers, such as genetic mutations and protein markers, to improve the diagnosis and prognosis of GGNs.
  • Targeted Therapies: New targeted therapies are being developed to specifically address the genetic mutations driving malignant GGNs, offering more effective and less toxic treatment options.
  • Personalized Medicine: The field of personalized medicine is advancing, allowing for tailored treatment plans based on the individual patient’s genetic makeup, medical history, and specific characteristics of the GGN.

These advancements hold promise for improving the management and treatment of GGNs, ultimately leading to better patient outcomes and quality of life.

📝 Note: Staying informed about the latest research and developments in GGN management can help patients and healthcare providers make more informed decisions about treatment and follow-up care.

Case Studies and Clinical Examples

To better understand the complexities of Ground Glass Nodules, it can be helpful to examine case studies and clinical examples. Below are a few scenarios that illustrate the diagnostic and management challenges associated with GGNs:

Case Study 1: Asymptomatic GGN in a Smoker

A 55-year-old male smoker with a 30-pack-year history of smoking presents with an incidental finding of a 10 mm GGN on a routine chest CT scan. The nodule is pure ground-glass in appearance with no solid components. The patient is asymptomatic and has no other significant medical history.

Diagnostic Step Findings
Initial CT Scan 10 mm pure ground-glass nodule
Follow-Up CT Scan (6 months) No change in size or characteristics
PET Scan No increased metabolic activity
Bronchoscopy Non-diagnostic biopsy

Management: Given the stable nature of the nodule and the lack of increased metabolic activity, a watch-and-wait approach is recommended with regular follow-up CT scans every 6-12 months.

Case Study 2: GGN with Mixed Attenuation

A 45-year-old female non-smoker presents with a 15 mm GGN with mixed attenuation on a chest CT scan. The nodule has a solid component and is growing at a rate of 2 mm per year. The patient has no significant medical history and is asymptomatic.

Diagnostic Step Findings
Initial CT Scan 15 mm GGN with mixed attenuation
Follow-Up CT Scan (1 year) Growth of 2 mm
PET Scan Increased metabolic activity in the solid component
VATS Biopsy Minimally invasive adenocarcinoma (MIA)

Management: Given the growth of the nodule and the increased metabolic activity, surgical resection is recommended. The patient undergoes a VATS lobectomy, and the final pathology confirms MIA. The patient is then referred for adjuvant chemotherapy.

Case Study 3: GGN in a Patient with Interstitial Lung Disease

A 60-year-old male with a history of idiopathic pulmonary fibrosis (IPF) presents with a 12 mm GGN on a chest CT scan. The nodule is pure ground-glass in appearance and has been stable for the past 2 years. The patient is symptomatic with shortness of breath and cough.

Diagnostic Step Findings
Initial CT Scan 12 mm pure ground-glass nodule
Follow-Up CT Scan (2 years) No change in size or characteristics
PET Scan No increased metabolic activity
Bronchoscopy Non-diagnostic biopsy

Management: Given the stable nature of the nodule and the lack of increased metabolic activity, a watch-and-wait approach is recommended with regular follow-up CT scans every 6-12 months. The patient's symptoms are managed with pulmonary rehabilitation and oxygen therapy.

📝 Note: Each case of a Ground Glass Nodule is unique, and the management approach should be tailored to the individual patient's needs and characteristics. Consultation with a multidisciplinary team of healthcare providers is essential for optimal management.

In conclusion, Ground Glass Nodules present a complex and challenging diagnostic and management dilemma. Understanding the causes, diagnostic techniques, and management strategies for GGNs is crucial for healthcare providers and patients alike. Early detection, accurate diagnosis, and individualized management plans are essential for improving patient outcomes and quality of life. By staying informed about the latest research and advancements in GGN management, healthcare providers can offer the best possible care to their patients.

Related Terms:

  • ground glass nodule fleischner
  • pure ground glass nodule
  • ground glass nodule follow up
  • ground glass nodule radiopaedia
  • ground glass pulmonary nodule
  • ground glass nodule in lung