Pinterest
Learning

Pinterest

2048 × 1536 px January 2, 2025 Ashley Learning
Download

Exploring the microscopic world of bacteria can reveal fascinating insights into the mechanisms of life and disease. Among the most studied microorganisms is *Escherichia coli*, commonly known as *E. coli*. This bacterium, when viewed under a microscope, offers a wealth of information about its structure, behavior, and potential impacts on human health. Understanding *E. coli under microscope* is crucial for researchers, healthcare professionals, and anyone interested in microbiology.

What is *E. coli*?

*E. coli* is a gram-negative, rod-shaped bacterium that is part of the normal flora of the human gut. It plays a vital role in maintaining a healthy digestive system by aiding in the digestion of food and producing essential vitamins. However, certain strains of *E. coli* can cause severe illnesses, including food poisoning and urinary tract infections. These pathogenic strains are often the focus of studies involving *E. coli under microscope*.

Viewing *E. coli* Under a Microscope

To observe *E. coli under microscope*, a few key steps must be followed to ensure clear and accurate visualization. Here is a step-by-step guide:

  • Prepare a sample of *E. coli* culture. This can be obtained from a laboratory or grown in a nutrient-rich medium.
  • Place a small drop of the *E. coli* culture on a clean microscope slide.
  • Gently spread the sample using a sterile loop or a coverslip to create a thin layer.
  • Allow the slide to air dry if using a staining technique.
  • Stain the sample using a Gram stain or another appropriate staining method to enhance visibility.
  • Place the coverslip over the sample and secure it with a small amount of mounting medium.
  • Insert the slide into the microscope and adjust the focus to observe the *E. coli* cells.

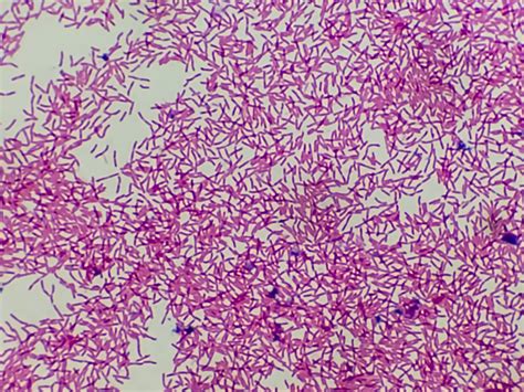
🔍 Note: Proper staining techniques are essential for distinguishing *E. coli* from other bacteria. Gram staining is commonly used, where *E. coli* will appear pink or red due to its gram-negative nature.

Key Features of *E. coli* Under Microscope

When viewed under a microscope, *E. coli* exhibits several distinctive features:

  • Shape: *E. coli* is a rod-shaped bacterium, typically appearing as short, straight rods.
  • Size: The cells are relatively small, usually measuring about 2.0 µm in length and 0.5 µm in diameter.
  • Staining: As a gram-negative bacterium, *E. coli* will stain pink or red with Gram staining.
  • Motility: Some strains of *E. coli* are motile and can be observed moving using a phase-contrast microscope.
  • Colony Morphology: On agar plates, *E. coli* colonies appear smooth, round, and convex with entire edges.

These features are crucial for identifying *E. coli* under a microscope and differentiating it from other bacterial species.

Pathogenic Strains of *E. coli*

While many strains of *E. coli* are harmless, certain pathogenic strains can cause significant health issues. These strains are often the focus of studies involving *E. coli under microscope*. Some of the most notable pathogenic strains include:

  • Enterotoxigenic *E. coli* (ETEC): Causes traveler's diarrhea by producing toxins that affect the intestinal lining.
  • Enterohemorrhagic *E. coli* (EHEC): Produces Shiga toxins, leading to severe gastrointestinal illness and potentially life-threatening complications like hemolytic uremic syndrome (HUS).
  • Enteroinvasive *E. coli* (EIEC): Invades the intestinal mucosa, causing dysentery-like symptoms.
  • Enteropathogenic *E. coli* (EPEC): Adheres to the intestinal epithelium, causing diarrhea, especially in infants.

Understanding the characteristics of these pathogenic strains under a microscope is essential for diagnosing and treating infections caused by *E. coli*.

Diagnostic Techniques for *E. coli*

In addition to microscopic observation, several diagnostic techniques are used to identify and characterize *E. coli*. These techniques provide more detailed information about the bacterium's genetic makeup and virulence factors. Some of the most commonly used techniques include:

  • Polymerase Chain Reaction (PCR): Amplifies specific DNA sequences to detect the presence of *E. coli* and its pathogenic strains.
  • Serotyping: Classifies *E. coli* based on its surface antigens, helping to identify specific strains.
  • Phage Typing: Uses bacteriophages to differentiate between *E. coli* strains based on their susceptibility to specific phages.
  • Whole-Genome Sequencing: Provides a comprehensive analysis of the bacterium's genetic material, offering insights into its virulence, antibiotic resistance, and evolutionary relationships.

These techniques complement microscopic observation by providing a more detailed understanding of *E. coli* and its pathogenic potential.

Applications of *E. coli* Research

The study of *E. coli under microscope* has numerous applications in various fields, including medicine, agriculture, and biotechnology. Some of the key applications include:

  • Medical Research: Understanding the mechanisms of *E. coli* infection helps in developing new treatments and vaccines.
  • Food Safety: Identifying and controlling *E. coli* contamination in food products is crucial for preventing outbreaks of foodborne illness.
  • Environmental Monitoring: Detecting *E. coli* in water sources can indicate fecal contamination and potential health risks.
  • Biotechnology: *E. coli* is widely used as a model organism in genetic engineering and recombinant DNA technology.

These applications highlight the importance of studying *E. coli* under a microscope and its broader implications for public health and scientific research.

Safety Precautions When Handling *E. coli*

Handling *E. coli* requires strict safety precautions to prevent contamination and potential infections. Some key safety measures include:

  • Personal Protective Equipment (PPE): Wear gloves, lab coats, and safety glasses when handling *E. coli* cultures.
  • Biosafety Cabinet: Use a biosafety cabinet to contain aerosols and prevent the spread of bacteria.
  • Disinfection: Regularly disinfect work surfaces, equipment, and hands to eliminate any potential contamination.
  • Waste Disposal: Dispose of *E. coli* cultures and contaminated materials according to biohazard waste guidelines.

Following these safety precautions is essential for protecting both the researcher and the environment from potential hazards associated with *E. coli*.

🛡️ Note: Always follow institutional biosafety guidelines and regulations when handling *E. coli* or any other biological agents.

Future Directions in *E. coli* Research

The field of *E. coli* research is continually evolving, with new technologies and approaches offering exciting possibilities for future studies. Some of the emerging areas of research include:

  • Metagenomics: Studying the genetic material of entire microbial communities to understand the role of *E. coli* in complex ecosystems.
  • Single-Cell Analysis: Investigating the behavior and characteristics of individual *E. coli* cells to gain insights into their heterogeneity and adaptive mechanisms.
  • CRISPR-Cas Systems: Using CRISPR technology to edit the genome of *E. coli* for various applications, including gene therapy and synthetic biology.
  • Artificial Intelligence: Applying machine learning algorithms to analyze large datasets and predict the behavior of *E. coli* under different conditions.

These advancements hold promise for deepening our understanding of *E. coli* and its interactions with the environment and human health.

In conclusion, the study of E. coli under microscope provides valuable insights into the structure, behavior, and potential impacts of this ubiquitous bacterium. From its role in human health to its applications in biotechnology, E. coli continues to be a subject of intense scientific inquiry. By understanding the key features and diagnostic techniques associated with E. coli, researchers can develop more effective strategies for preventing and treating infections, ensuring food safety, and advancing our knowledge of microbial ecology. The ongoing exploration of E. coli under a microscope will undoubtedly yield new discoveries and innovations, contributing to the broader field of microbiology and beyond.

Related Terms:

  • e coli under microscope pictures
  • e coli under microscope 40x
  • e coli microscopy
  • microscopic picture of e coli
  • e coli under 1000x
  • what color is e coli

More Images