Bad Teeth Kids

Bad Teeth Kids

Oral health is a critical aspect of overall well-being, yet it is often overlooked, especially when it comes to children. Bad teeth in kids can lead to a myriad of issues, including pain, difficulty eating, and even social and emotional problems. Understanding the causes, prevention, and treatment of bad teeth in children is essential for parents and caregivers.

Understanding Bad Teeth in Kids

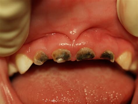
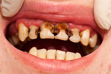
Bad teeth in kids can manifest in various forms, from cavities and tooth decay to gum disease and misalignment. These issues can arise due to a combination of factors, including poor oral hygiene, diet, and genetics. It is crucial to recognize the signs early to prevent more severe problems later on.

Common Causes of Bad Teeth in Kids

Several factors contribute to the development of bad teeth in children:

  • Poor Oral Hygiene: Inadequate brushing and flossing can lead to the buildup of plaque and bacteria, which cause tooth decay and gum disease.
  • Diet: Consuming sugary and acidic foods and drinks can erode tooth enamel and promote cavities.
  • Genetics: Some children may be more prone to dental issues due to genetic factors, such as weak enamel or a family history of dental problems.
  • Thumb Sucking and Pacifier Use: Prolonged thumb sucking or pacifier use can affect the alignment of teeth and the development of the jaw.
  • Inadequate Fluoride Intake: Fluoride helps strengthen tooth enamel, and insufficient intake can increase the risk of cavities.

Signs of Bad Teeth in Kids

Recognizing the signs of bad teeth in kids is the first step toward addressing the issue. Some common indicators include:

  • Visible cavities or holes in the teeth
  • Tooth sensitivity or pain
  • Bad breath
  • Swollen or bleeding gums
  • Difficulty chewing or biting
  • Discoloration or staining of the teeth

Preventing Bad Teeth in Kids

Prevention is key when it comes to maintaining good oral health in children. Here are some strategies to help prevent bad teeth in kids:

Establishing Good Oral Hygiene Habits

Teaching children good oral hygiene habits from a young age is essential. This includes:

  • Brushing teeth twice a day with a fluoride toothpaste
  • Flossing daily to remove plaque and food particles between teeth
  • Using a soft-bristled toothbrush and replacing it every 3-4 months
  • Visiting the dentist regularly for check-ups and cleanings

Maintaining a Healthy Diet

A balanced diet plays a crucial role in oral health. Encourage children to consume:

  • Fruits and vegetables
  • Whole grains
  • Lean proteins
  • Dairy products for calcium and vitamin D

Limit sugary and acidic foods and drinks, and encourage water as the primary beverage.

Using Fluoride

Fluoride is a mineral that helps strengthen tooth enamel and prevent cavities. Ensure children get adequate fluoride through:

  • Fluoridated toothpaste
  • Fluoridated water
  • Fluoride supplements, if recommended by a dentist

Regular Dental Check-ups

Regular dental check-ups are essential for maintaining good oral health. Dentists can detect and treat issues early, preventing more severe problems. Aim for:

  • Bi-annual dental check-ups and cleanings
  • Early orthodontic evaluations if necessary

Treating Bad Teeth in Kids

If bad teeth in kids are already present, prompt treatment is necessary to prevent further damage. Treatment options depend on the severity and type of dental issue.

Cavities and Tooth Decay

Cavities and tooth decay are common issues that require treatment. Options include:

  • Fillings: Tooth-colored or silver fillings to repair cavities
  • Crowns: For more extensive decay, a crown may be placed to protect the tooth
  • Root Canal Treatment: In severe cases, a root canal may be necessary to save the tooth

Gum Disease

Gum disease, or periodontal disease, can affect children and requires professional treatment. Options include:

  • Scaling and Root Planing: Deep cleaning to remove plaque and tartar
  • Antibiotic Treatment: To control bacterial infection
  • Surgery: In severe cases, surgical intervention may be necessary

Misalignment and Orthodontic Issues

Misaligned teeth can affect both oral health and appearance. Orthodontic treatment may be recommended, including:

  • Braces: Traditional metal braces or clear aligners
  • Palatal Expanders: To widen the upper jaw
  • Space Maintainers: To hold space for permanent teeth

Special Considerations for Bad Teeth in Kids

Certain conditions and situations require special attention when it comes to bad teeth in kids.

Children with Special Needs

Children with special needs may face additional challenges in maintaining good oral health. Considerations include:

  • Adapting oral hygiene routines to accommodate physical or cognitive limitations
  • Using specialized dental tools and products
  • Regular dental check-ups with a pediatric dentist experienced in special needs care

Children with Chronic Health Conditions

Children with chronic health conditions, such as diabetes or asthma, may be more susceptible to dental issues. Special considerations include:

  • Regular dental check-ups to monitor oral health
  • Maintaining good oral hygiene to prevent infections
  • Consulting with a pediatric dentist to manage dental care in conjunction with medical treatment

Children with Dental Anxiety

Dental anxiety is common among children and can make dental visits challenging. Strategies to manage dental anxiety include:

  • Choosing a pediatric dentist experienced in working with anxious children
  • Using positive reinforcement and rewards for good behavior
  • Gradual exposure to dental procedures to build comfort and trust

💡 Note: If a child's dental anxiety is severe, consider consulting a child psychologist or behavioral therapist for additional support.

The Impact of Bad Teeth on Children's Overall Health

Bad teeth in kids can have far-reaching effects beyond oral health. Poor dental health can impact a child's overall well-being in several ways:

  • Nutrition: Pain and discomfort from bad teeth can make it difficult for children to eat, leading to poor nutrition and potential weight loss.
  • Speech Development: Misaligned or missing teeth can affect speech development and pronunciation.
  • Self-Esteem: Bad teeth can impact a child's self-esteem and confidence, especially as they grow older and become more aware of their appearance.
  • Academic Performance: Chronic pain and discomfort from dental issues can affect a child's ability to concentrate and perform well in school.
  • Social Interactions: Bad teeth can affect a child's social interactions and relationships, as they may feel self-conscious about their smile.

Addressing Bad Teeth in Kids: A Comprehensive Approach

Addressing bad teeth in kids requires a comprehensive approach that involves parents, caregivers, and dental professionals. Here are some key steps to take:

Educating Parents and Caregivers

Educating parents and caregivers about the importance of oral health and the prevention of bad teeth in kids is crucial. This includes:

  • Providing information on proper oral hygiene techniques
  • Offering guidance on maintaining a healthy diet
  • Encouraging regular dental check-ups

Collaborating with Dental Professionals

Collaborating with dental professionals is essential for addressing bad teeth in kids. This includes:

  • Scheduling regular dental check-ups and cleanings
  • Following the dentist's recommendations for treatment and prevention
  • Seeking specialized care for children with special needs or chronic health conditions

Creating a Supportive Environment

Creating a supportive environment for children to maintain good oral health is important. This includes:

  • Encouraging good oral hygiene habits from a young age
  • Providing positive reinforcement and rewards for good behavior
  • Addressing dental anxiety and fears with patience and understanding

Conclusion

Bad teeth in kids are a preventable and treatable issue that requires attention and care. By understanding the causes, prevention, and treatment of bad teeth, parents and caregivers can help ensure their children maintain good oral health. Regular dental check-ups, good oral hygiene habits, a healthy diet, and a supportive environment are key to preventing and addressing bad teeth in kids. Early intervention and a comprehensive approach can make a significant difference in a child’s oral health and overall well-being.

Related Terms:

  • cavity in children's teeth
  • 2 year old teeth decay
  • rampant decay in children
  • bad teeth kids animation
  • children with rotten teeth
  • kids with bad back teeth