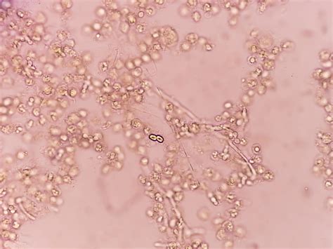
Yeast Budding In Urine

Yeast Budding In Urine

Understanding the intricacies of yeast budding in urine is crucial for both medical professionals and individuals concerned about their health. Yeast infections, particularly those caused by Candida species, can manifest in various parts of the body, including the urinary tract. This blog post delves into the causes, symptoms, diagnosis, and treatment of yeast budding in urine, providing a comprehensive guide to help you navigate this health issue.

Understanding Yeast Infections

Yeast infections are caused by an overgrowth of Candida, a type of fungus that naturally resides in the body. While Candida is typically harmless, certain conditions can lead to its overgrowth, resulting in infections. In the context of the urinary tract, yeast budding in urine can cause significant discomfort and health complications.

Causes of Yeast Budding in Urine

Several factors can contribute to the overgrowth of Candida in the urinary tract, leading to yeast budding in urine. These include:

  • Antibiotic Use: Antibiotics can disrupt the natural balance of bacteria in the body, allowing Candida to proliferate.
  • Diabetes: High blood sugar levels can create an ideal environment for yeast to grow.
  • Weakened Immune System: Conditions that compromise the immune system, such as HIV/AIDS or cancer, can increase the risk of yeast infections.
  • Hormonal Changes: Fluctuations in hormone levels, often associated with pregnancy or menopause, can also contribute to yeast overgrowth.
  • Poor Hygiene: Inadequate hygiene practices can lead to the accumulation of bacteria and yeast in the urinary tract.

Symptoms of Yeast Budding in Urine

Recognizing the symptoms of yeast budding in urine is the first step toward effective treatment. Common symptoms include:

  • Burning Sensation: A burning feeling during urination is a hallmark symptom.
  • Frequent Urination: The need to urinate more frequently than usual.
  • Cloudy or Strong-Smelling Urine: Changes in the appearance and odor of urine.
  • Pelvic Pain: Discomfort or pain in the pelvic area.
  • Vaginal Itching or Discharge: In women, yeast infections can also cause vaginal itching and abnormal discharge.

Diagnosing Yeast Budding in Urine

Diagnosing yeast budding in urine involves a combination of medical history, physical examination, and laboratory tests. The diagnostic process typically includes:

  • Urinalysis: A urine sample is analyzed to detect the presence of yeast cells.
  • Urine Culture: A culture of the urine sample can identify the specific type of yeast causing the infection.
  • Physical Examination: A healthcare provider may perform a physical exam to assess symptoms and rule out other potential causes.

Treatment Options for Yeast Budding in Urine

Treatment for yeast budding in urine aims to eliminate the overgrowth of Candida and restore the natural balance of the urinary tract. Common treatment options include:

  • Antifungal Medications: Oral or topical antifungal drugs, such as fluconazole or clotrimazole, are often prescribed to treat yeast infections.
  • Probiotics: Probiotics can help restore the natural balance of bacteria in the body, reducing the risk of yeast overgrowth.
  • Hydration: Drinking plenty of water can help flush out yeast from the urinary tract.
  • Dietary Changes: Avoiding sugary foods and refined carbohydrates can help control yeast overgrowth.

Preventing Yeast Budding in Urine

Preventing yeast budding in urine involves maintaining good hygiene and overall health. Here are some preventive measures:

  • Maintain Good Hygiene: Keep the genital area clean and dry to prevent the accumulation of bacteria and yeast.
  • Wear Breathable Clothing: Opt for cotton underwear and loose-fitting clothes to reduce moisture and promote airflow.
  • Avoid Douches and Scented Products: These can disrupt the natural balance of bacteria in the urinary tract.
  • Manage Underlying Conditions: Properly manage conditions like diabetes to reduce the risk of yeast infections.
  • Limit Antibiotics: Use antibiotics only when necessary and as prescribed by a healthcare provider.

📝 Note: Always consult a healthcare provider before starting any treatment or preventive measures.

When to Seek Medical Attention

While yeast infections are generally treatable, it is essential to seek medical attention if symptoms persist or worsen. Additionally, if you experience any of the following, consult a healthcare provider immediately:

  • Severe pain or discomfort.
  • Fever or chills.
  • Blood in the urine.
  • Recurrent infections.

Yeast Budding in Urine in Specific Populations

Certain populations are at a higher risk of developing yeast budding in urine. Understanding these risks can help in early detection and prevention.

Pregnant Women

Pregnancy can increase the risk of yeast infections due to hormonal changes and a weakened immune system. Pregnant women should be vigilant about symptoms and consult their healthcare provider for appropriate treatment.

Diabetic Patients

Diabetes can create an ideal environment for yeast to grow, making diabetic patients more susceptible to yeast budding in urine. Proper management of blood sugar levels is crucial for preventing infections.

Immune-Compromised Individuals

Individuals with weakened immune systems, such as those with HIV/AIDS or undergoing chemotherapy, are at a higher risk of yeast infections. Regular monitoring and prompt treatment are essential for managing these infections.

Children

Children can also develop yeast budding in urine, often due to poor hygiene or underlying medical conditions. Parents should be aware of the symptoms and seek medical attention if necessary.

Natural Remedies for Yeast Budding in Urine

In addition to medical treatments, some natural remedies can help alleviate symptoms and prevent yeast overgrowth. These include:

  • Cranberry Juice: Cranberry juice can help prevent yeast infections by making the urinary tract less hospitable to yeast.
  • Garlic: Garlic has natural antifungal properties and can be consumed or applied topically to treat yeast infections.
  • Yogurt: Probiotic yogurt can help restore the natural balance of bacteria in the body, reducing the risk of yeast overgrowth.
  • Tea Tree Oil: Diluted tea tree oil can be applied topically to treat yeast infections, but it should be used with caution as it can cause skin irritation.

📝 Note: Always consult a healthcare provider before trying any natural remedies, especially if you have underlying health conditions or are pregnant.

Yeast Budding in Urine and Diet

Diet plays a crucial role in preventing and managing yeast budding in urine. Certain foods can promote yeast overgrowth, while others can help control it. Here is a table outlining foods to avoid and foods to include in your diet:

Foods to Avoid Foods to Include
Sugary foods and beverages Probiotic-rich foods (yogurt, kefir)
Refined carbohydrates (white bread, pasta) Fruits and vegetables
Alcohol Lean proteins (chicken, fish)
Processed foods Whole grains

Incorporating these dietary changes can help control yeast overgrowth and promote overall health.

Yeast Budding in Urine and Hygiene

Maintaining good hygiene is essential for preventing yeast budding in urine. Here are some hygiene tips to keep in mind:

  • Wash Regularly: Clean the genital area regularly with mild soap and warm water.
  • Avoid Scented Products: Scented soaps, douches, and sprays can disrupt the natural balance of bacteria in the urinary tract.
  • Change Clothes Frequently: Change underwear and other clothing frequently to reduce moisture and prevent yeast growth.
  • Wear Breathable Fabrics: Opt for cotton underwear and loose-fitting clothes to promote airflow and reduce moisture.

By following these hygiene practices, you can significantly reduce the risk of yeast budding in urine.

Yeast budding in urine is a common but manageable health issue. Understanding the causes, symptoms, and treatment options can help you effectively address this condition. Maintaining good hygiene, a balanced diet, and overall health can prevent yeast overgrowth and promote well-being. If you experience symptoms of yeast budding in urine, consult a healthcare provider for appropriate diagnosis and treatment.

Related Terms:

  • is yeast normal in urine
  • hyphenated yeast in urine
  • does yeast urine mean infection
  • yeast in urine female
  • yeast in urine microscopic
  • reasons for yeast in urine