Xray Si Joint

Xray Si Joint

Understanding the intricacies of the Xray Si Joint is crucial for anyone dealing with lower back pain or pelvic issues. The sacroiliac (SI) joint is a critical component of the pelvic girdle, connecting the sacrum (the triangular bone at the base of the spine) to the ilium (the largest bone of the pelvis). This joint plays a significant role in weight distribution and stability, making it essential for everyday movements such as walking, running, and standing. When issues arise with the SI joint, they can lead to a range of symptoms that affect mobility and quality of life.

Anatomy of the Sacroiliac Joint

The sacroiliac joint is a strong, weight-bearing joint that is designed to withstand significant forces. It is stabilized by a complex network of ligaments, including the anterior sacroiliac ligament, posterior sacroiliac ligament, and interosseous sacroiliac ligament. These ligaments provide stability and limit excessive movement, which is crucial for maintaining proper alignment and function.

The SI joint is classified as a diarthrodial joint, meaning it allows for a small amount of movement. This movement is essential for absorbing shock and distributing weight evenly across the pelvis. However, excessive movement or instability in the SI joint can lead to pain and dysfunction.

Common Causes of Sacroiliac Joint Dysfunction

Sacroiliac joint dysfunction can be caused by a variety of factors, including:

  • Trauma or injury to the pelvis or lower back
  • Pregnancy and childbirth, which can loosen ligaments and joints
  • Arthritis or degenerative changes in the joint
  • Leg length discrepancy, which can cause uneven weight distribution
  • Overuse or repetitive stress on the joint
  • Previous spinal surgery or fusion

These factors can lead to inflammation, instability, or excessive movement in the SI joint, resulting in pain and discomfort.

Symptoms of Sacroiliac Joint Dysfunction

Symptoms of SI joint dysfunction can vary widely but often include:

  • Lower back pain, often on one side
  • Pain in the buttocks, groin, or upper thigh
  • Pain that radiates down the leg, similar to sciatica
  • Stiffness or difficulty moving the hip or lower back
  • Pain that worsens with prolonged sitting, standing, or walking
  • Pain that improves with rest or lying down

These symptoms can be debilitating and significantly impact daily activities. If you experience any of these symptoms, it is essential to consult a healthcare professional for a proper diagnosis and treatment plan.

Diagnosing Sacroiliac Joint Dysfunction

Diagnosing SI joint dysfunction involves a thorough medical history, physical examination, and sometimes imaging tests. A healthcare professional may use various diagnostic techniques to assess the SI joint, including:

  • Palpation of the SI joint to identify tenderness or pain
  • Range of motion tests to assess joint mobility
  • Special tests, such as the Gaenslen's test or the FABER test, to provoke SI joint pain
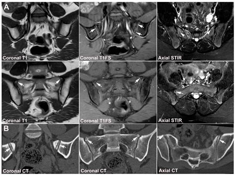
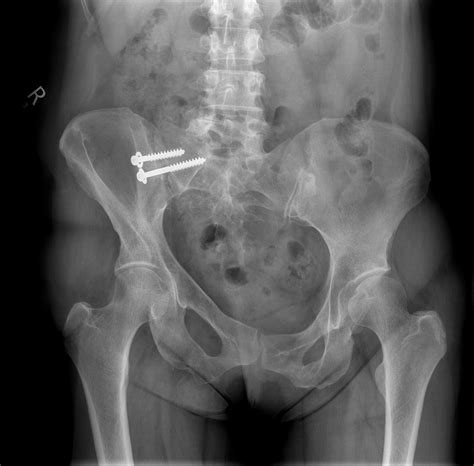
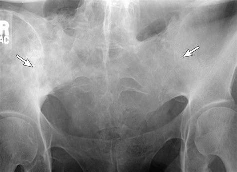
  • Imaging studies, such as X-rays, MRI, or CT scans, to visualize the joint and surrounding structures

In some cases, an Xray Si Joint may be recommended to confirm the diagnosis and rule out other potential causes of pain. This imaging technique provides detailed images of the joint and can help identify any abnormalities or degenerative changes.

📌 Note: It is important to note that SI joint dysfunction can sometimes be misdiagnosed as other conditions, such as herniated discs or hip problems. A thorough evaluation by a healthcare professional is essential for an accurate diagnosis.

Treatment Options for Sacroiliac Joint Dysfunction

Treatment for SI joint dysfunction depends on the underlying cause and severity of symptoms. Common treatment options include:

  • Rest and activity modification to reduce stress on the joint
  • Physical therapy to improve strength, flexibility, and stability
  • Pain management techniques, such as over-the-counter pain relievers or prescription medications
  • Injections, such as corticosteroid injections or prolotherapy, to reduce inflammation and promote healing
  • Bracing or support devices to stabilize the joint
  • Surgical intervention, in severe cases, to fuse the joint or repair damaged ligaments

Physical therapy is often a cornerstone of treatment for SI joint dysfunction. A physical therapist can design a customized exercise program to address specific needs and goals. This may include:

  • Stretching exercises to improve flexibility and range of motion
  • Strengthening exercises to target the core, hips, and lower back
  • Stabilization exercises to improve joint stability and control
  • Manual therapy techniques, such as joint mobilization or soft tissue mobilization

In some cases, a healthcare professional may recommend injections to manage pain and inflammation. Corticosteroid injections can provide temporary relief by reducing inflammation in the joint. Prolotherapy involves injecting a solution into the joint to stimulate healing and strengthen the ligaments.

For severe cases of SI joint dysfunction that do not respond to conservative treatments, surgical intervention may be necessary. Surgical options include:

  • SI joint fusion, which involves fusing the joint to eliminate movement and reduce pain
  • Ligament repair or reconstruction to stabilize the joint

It is essential to discuss the potential benefits and risks of surgical intervention with a healthcare professional to determine the best course of treatment.

Preventing Sacroiliac Joint Dysfunction

While not all cases of SI joint dysfunction can be prevented, there are several strategies to reduce the risk of developing this condition:

  • Maintain a healthy weight to reduce stress on the joints
  • Engage in regular exercise to improve strength, flexibility, and stability
  • Practice good posture and body mechanics to avoid excessive strain on the joint
  • Wear supportive footwear to promote proper alignment and weight distribution
  • Avoid prolonged sitting or standing, and take regular breaks to move and stretch

Incorporating these preventive measures into daily routines can help maintain joint health and reduce the risk of developing SI joint dysfunction.

In addition to these general preventive measures, individuals with a history of SI joint dysfunction or other risk factors may benefit from targeted exercises and therapies. Working with a physical therapist or healthcare professional can help develop a personalized plan to address specific needs and goals.

Living with Sacroiliac Joint Dysfunction

Living with SI joint dysfunction can be challenging, but with the right treatment and management strategies, it is possible to improve quality of life and maintain mobility. Here are some tips for managing SI joint dysfunction:

  • Stay active and engage in low-impact exercises, such as swimming or cycling
  • Use heat or cold therapy to manage pain and inflammation
  • Practice stress-reduction techniques, such as yoga or meditation, to promote overall well-being
  • Maintain a healthy diet to support joint health and reduce inflammation
  • Seek support from healthcare professionals, family, and friends to cope with the challenges of living with chronic pain

It is essential to work closely with a healthcare professional to develop a comprehensive treatment plan tailored to individual needs and goals. Regular follow-ups and adjustments to the treatment plan may be necessary to manage symptoms effectively.

In some cases, individuals with SI joint dysfunction may benefit from joining support groups or online communities to connect with others who share similar experiences. Sharing stories, tips, and encouragement can provide valuable emotional support and practical advice for managing the condition.

Living with SI joint dysfunction requires patience, persistence, and a proactive approach to managing symptoms. By staying informed, seeking appropriate treatment, and making lifestyle adjustments, it is possible to improve quality of life and maintain mobility.

In addition to these general tips, individuals with SI joint dysfunction may benefit from specific exercises and therapies to address their unique needs. Working with a physical therapist or healthcare professional can help develop a personalized plan to manage symptoms and improve overall function.

It is important to remember that everyone's experience with SI joint dysfunction is unique, and what works for one person may not work for another. Staying open to different treatment options and being willing to adjust the management plan as needed can help achieve the best possible outcomes.

In some cases, individuals with SI joint dysfunction may experience flare-ups or periods of increased pain. During these times, it is essential to prioritize rest, pain management, and self-care strategies to support recovery and prevent further aggravation of the condition.

By staying proactive and committed to managing SI joint dysfunction, it is possible to improve quality of life and maintain mobility. With the right treatment and support, individuals can continue to engage in activities they enjoy and live fulfilling lives despite the challenges of this condition.

In conclusion, understanding the intricacies of the Xray Si Joint is essential for anyone dealing with lower back pain or pelvic issues. By recognizing the anatomy, causes, symptoms, and treatment options for SI joint dysfunction, individuals can take proactive steps to manage their condition and improve their quality of life. Whether through conservative treatments, surgical intervention, or preventive measures, there are numerous strategies available to address SI joint dysfunction and promote overall well-being. With the right approach and support, it is possible to overcome the challenges of this condition and maintain mobility and independence.

Related Terms:

  • si joint positioning x ray
  • si joints are unremarkable
  • x ray sacroiliac joint positioning
  • diagnostic injections for si joints
  • normal sacroiliac joints x rays
  • sacroiliac joints are unremarkable