Xray Broken Hand

Xray Broken Hand

Injuries can happen unexpectedly, and one of the most common and painful injuries is an Xray Broken Hand. Whether it's from a fall, a sports accident, or a workplace mishap, a broken hand can significantly impact daily activities and quality of life. Understanding the causes, symptoms, diagnosis, and treatment options for an Xray Broken Hand is crucial for effective management and recovery.

Understanding Xray Broken Hand

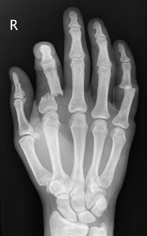
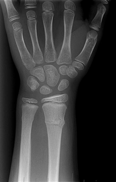
A broken hand, often diagnosed through an X-ray, involves a fracture in one or more of the bones in the hand. The hand is composed of 27 bones, including the metacarpals, phalanges, and carpals. Each of these bones can be susceptible to fractures, which can range from minor cracks to severe breaks.

Causes of Xray Broken Hand

An Xray Broken Hand can result from various types of trauma. Some of the most common causes include:

  • Falls: Falling onto an outstretched hand is a frequent cause of hand fractures, especially among older adults.
  • Sports Injuries: Contact sports like football, basketball, and hockey, as well as high-impact activities like skiing and snowboarding, can lead to hand fractures.
  • Workplace Accidents: Occupations that involve heavy machinery, tools, or repetitive motions can increase the risk of hand injuries.
  • Motor Vehicle Accidents: The impact from a car crash can cause severe hand fractures.
  • Direct Blows: A direct hit to the hand, such as from a punch or a heavy object falling on it, can result in a fracture.

Symptoms of Xray Broken Hand

Recognizing the symptoms of an Xray Broken Hand is essential for prompt medical attention. Common symptoms include:

  • Pain: Severe pain in the hand, especially when moving the fingers or applying pressure.
  • Swelling: Rapid swelling and bruising around the injured area.
  • Deformity: Visible deformity or misalignment of the hand or fingers.
  • Limited Mobility: Difficulty moving the fingers or hand.
  • Numbness or Tingling: Sensations of numbness or tingling in the hand or fingers.

Diagnosing an Xray Broken Hand

Diagnosing an Xray Broken Hand typically involves a combination of physical examination and imaging tests. The diagnostic process usually includes the following steps:

  • Medical History: The healthcare provider will ask about the circumstances of the injury and any pre-existing conditions.
  • Physical Examination: A thorough examination of the hand to assess pain, swelling, deformity, and range of motion.
  • X-rays: X-rays are the primary imaging tool used to confirm the presence and type of fracture. They provide detailed images of the bones and can help determine the severity of the injury.
  • Additional Imaging: In some cases, additional imaging tests such as CT scans or MRIs may be ordered to get a more detailed view of the fracture and surrounding tissues.

📌 Note: It is important to seek medical attention immediately if you suspect a broken hand, as prompt diagnosis and treatment can prevent complications and promote faster healing.

Treatment Options for Xray Broken Hand

The treatment for an Xray Broken Hand depends on the type and severity of the fracture. Common treatment options include:

  • Immobilization: Using a cast, splint, or brace to keep the hand and fingers in a fixed position, allowing the bones to heal properly.
  • Pain Management: Over-the-counter pain relievers or prescription medications to manage pain and inflammation.
  • Ice Therapy: Applying ice packs to the injured area to reduce swelling and numb the pain.
  • Elevation: Keeping the hand elevated above heart level to minimize swelling.
  • Surgery: In severe cases, surgery may be required to realign the bones and stabilize the fracture with plates, screws, or pins.

Recovery and Rehabilitation

Recovery from an Xray Broken Hand can take several weeks to months, depending on the severity of the fracture. Rehabilitation is a crucial part of the recovery process and may include:

  • Physical Therapy: Exercises to improve range of motion, strength, and flexibility in the hand and fingers.
  • Occupational Therapy: Techniques to help regain functional use of the hand for daily activities.
  • Follow-Up Appointments: Regular check-ups with the healthcare provider to monitor progress and adjust the treatment plan as needed.

During the recovery period, it is important to follow the healthcare provider's instructions carefully and avoid activities that could re-injure the hand. Gradually increasing activity levels under the guidance of a therapist can help ensure a successful recovery.

📌 Note: Patience and adherence to the rehabilitation plan are key to a full recovery from an Xray Broken Hand. Rushing the healing process can lead to complications and prolonged recovery time.

Preventing Xray Broken Hand

While not all hand injuries can be prevented, taking certain precautions can reduce the risk of an Xray Broken Hand. Some preventive measures include:

  • Wearing Protective Gear: Using gloves, wrist guards, and other protective equipment during sports and high-risk activities.
  • Falling Safely: Learning techniques to fall safely, such as tucking the chin and rolling to the side, can help protect the hands.
  • Maintaining a Safe Work Environment: Ensuring that the workplace is free of hazards and that proper safety protocols are followed.
  • Strengthening Exercises: Regular hand and wrist exercises can improve strength and flexibility, reducing the risk of injury.

Common Types of Hand Fractures

Hand fractures can occur in various bones and have different characteristics. Some of the most common types of hand fractures include:

Type of Fracture Description Common Causes
Metacarpal Fractures Fractures in the metacarpal bones, which connect the fingers to the wrist. Punching a hard surface, falls, or direct blows.
Phalangeal Fractures Fractures in the phalanges, which are the bones of the fingers and thumb. Crushing injuries, jamming a finger, or direct trauma.
Carpal Fractures Fractures in the carpals, which are the small bones of the wrist. Falls onto an outstretched hand, sports injuries, or direct impact.
Boxer's Fracture A specific type of metacarpal fracture, often involving the fourth or fifth metacarpal. Punching a hard object with a closed fist.
Bennett's Fracture A fracture of the base of the first metacarpal bone, often involving the thumb. Falls or direct trauma to the thumb.

Each type of fracture may require different treatment approaches, and it is essential to consult with a healthcare provider for an accurate diagnosis and appropriate care.

📌 Note: Understanding the different types of hand fractures can help in recognizing the symptoms and seeking appropriate medical attention.

Complications of Xray Broken Hand

While most hand fractures heal without complications, there are potential risks and issues that can arise. Some common complications of an Xray Broken Hand include:

  • Non-Union: The bones fail to heal properly, leading to a persistent fracture.
  • Malunion: The bones heal in an improper position, resulting in deformity and limited function.
  • Infection: Bacteria entering the fracture site can cause an infection, which may require additional treatment.
  • Nerve or Blood Vessel Damage: Injuries to nerves or blood vessels can lead to numbness, tingling, or reduced blood flow.
  • Arthritis: Long-term complications can include the development of arthritis in the affected joint.

Regular follow-up appointments and adherence to the treatment plan can help minimize the risk of these complications. If any concerning symptoms arise during the recovery process, it is important to consult with a healthcare provider promptly.

📌 Note: Early detection and treatment of complications can prevent long-term issues and promote a successful recovery from an Xray Broken Hand.

An Xray Broken Hand is a common but serious injury that requires prompt medical attention and proper care. Understanding the causes, symptoms, diagnosis, and treatment options can help individuals manage the injury effectively and promote a full recovery. By taking preventive measures and following a comprehensive rehabilitation plan, individuals can minimize the risk of complications and regain functional use of their hand.

Related Terms:

  • normal hand x ray
  • indications for hand x ray
  • hand x ray radiology
  • fractured finger x ray
  • regular hand x ray
  • x ray of human hand