X Ray Of Pneumothorax

X Ray Of Pneumothorax

Pneumothorax is a medical condition characterized by the presence of air or gas in the pleural cavity, the space between the lungs and the chest wall. This condition can be life-threatening if not promptly diagnosed and treated. One of the most effective diagnostic tools for identifying pneumothorax is the X Ray Of Pneumothorax. This imaging technique provides a clear view of the lungs and the pleural space, allowing healthcare professionals to detect the presence of air and assess the severity of the condition.

Understanding Pneumothorax

Pneumothorax can occur spontaneously or as a result of trauma, medical procedures, or underlying lung diseases. There are two main types of pneumothorax:

  • Spontaneous Pneumothorax: This type occurs without any apparent cause and is often seen in tall, thin individuals or those with underlying lung conditions such as emphysema or cystic fibrosis.
  • Traumatic Pneumothorax: This type results from chest injuries, such as those sustained in car accidents, falls, or penetrating wounds.

Symptoms of pneumothorax can vary widely, ranging from mild chest pain and shortness of breath to severe respiratory distress. In some cases, the condition may be asymptomatic, making it difficult to detect without imaging studies.

The Role of X Ray Of Pneumothorax

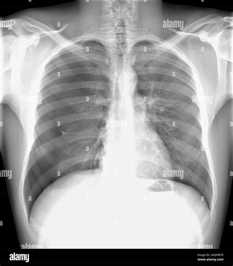
An X Ray Of Pneumothorax is a crucial diagnostic tool for identifying and evaluating pneumothorax. The X-ray image provides a detailed view of the lungs and the pleural space, allowing radiologists to detect the presence of air and assess the extent of the condition. This information is essential for determining the appropriate course of treatment.

How X Ray Of Pneumothorax Works

An X Ray Of Pneumothorax involves passing a beam of X-rays through the chest and capturing the resulting image on a film or digital detector. The X-rays are absorbed differently by various tissues in the body, creating a contrast that allows radiologists to distinguish between different structures. In the case of pneumothorax, the presence of air in the pleural space appears as a dark area on the X-ray image, contrasting with the lighter areas representing the lung tissue.

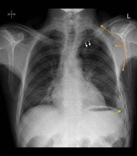
Interpreting X Ray Of Pneumothorax Results

Interpreting an X Ray Of Pneumothorax requires a trained eye and a thorough understanding of chest anatomy. Radiologists look for specific signs that indicate the presence of pneumothorax, including:

  • Absence of Lung Markings: In a normal X-ray, the lung tissue appears as a network of fine lines and markings. In pneumothorax, these markings are absent in the affected area, indicating the presence of air.
  • Visceral Pleural Line: This is a thin, white line that represents the edge of the collapsed lung. It is often visible on the X-ray and helps to confirm the diagnosis of pneumothorax.
  • Deep Sulcus Sign: This sign is seen on an upright chest X-ray and indicates a large pneumothorax. It appears as a deep, concave depression in the costophrenic angle, the area where the ribs meet the diaphragm.

In some cases, additional imaging studies such as a CT scan may be required to provide a more detailed view of the lungs and the pleural space. However, an X Ray Of Pneumothorax is often sufficient for diagnosing and managing the condition.

Treatment Options for Pneumothorax

The treatment of pneumothorax depends on the severity of the condition and the underlying cause. In mild cases, observation and supportive care may be sufficient. However, more severe cases may require intervention to remove the air from the pleural space and allow the lung to re-expand. Treatment options include:

  • Needle Aspiration: This procedure involves inserting a needle into the pleural space to remove the air. It is often used for small to moderate-sized pneumothoraces.
  • Chest Tube Insertion: For larger pneumothoraces or those that do not resolve with needle aspiration, a chest tube may be inserted to continuously drain the air from the pleural space.
  • Surgery: In some cases, surgery may be required to repair the underlying lung injury or to prevent recurrent pneumothorax. This may involve procedures such as pleurodesis, where the pleural surfaces are sealed together to prevent air from re-entering the pleural space.

Regardless of the treatment approach, prompt diagnosis and intervention are crucial for managing pneumothorax and preventing complications.

Preventing Pneumothorax

While not all cases of pneumothorax can be prevented, there are steps that can be taken to reduce the risk, especially for individuals with underlying lung conditions. These include:

  • Avoiding Smoking: Smoking is a major risk factor for lung diseases that can increase the likelihood of pneumothorax. Quitting smoking can significantly reduce this risk.
  • Managing Underlying Conditions: Individuals with conditions such as emphysema or cystic fibrosis should work closely with their healthcare providers to manage their symptoms and reduce the risk of complications.
  • Wearing Seatbelts and Protective Gear: In activities that pose a risk of chest injury, such as driving or participating in contact sports, wearing seatbelts and protective gear can help prevent traumatic pneumothorax.

Regular check-ups and prompt medical attention for any respiratory symptoms can also help in the early detection and management of pneumothorax.

Importance of Early Detection

Early detection of pneumothorax is crucial for effective management and prevention of complications. An X Ray Of Pneumothorax is a valuable tool in this regard, providing a quick and non-invasive way to diagnose the condition. Prompt diagnosis allows healthcare professionals to initiate appropriate treatment and monitor the patient’s progress, ensuring the best possible outcomes.

Case Studies and Examples

To illustrate the importance of an X Ray Of Pneumothorax, consider the following case studies:

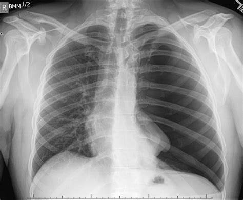
  • Case 1: Spontaneous Pneumothorax: A 25-year-old male presented with sudden onset of chest pain and shortness of breath. An X Ray Of Pneumothorax revealed a small pneumothorax on the right side. The patient was observed in the hospital for 24 hours and discharged with instructions to avoid strenuous activity. Follow-up X-rays showed resolution of the pneumothorax.
  • Case 2: Traumatic Pneumothorax: A 40-year-old female was involved in a car accident and sustained multiple injuries, including a pneumothorax on the left side. An X Ray Of Pneumothorax confirmed the diagnosis, and a chest tube was inserted to drain the air from the pleural space. The patient recovered fully after a week in the hospital.

These cases highlight the effectiveness of an X Ray Of Pneumothorax in diagnosing and managing pneumothorax, regardless of the underlying cause.

Challenges and Limitations

While an X Ray Of Pneumothorax is a valuable diagnostic tool, it does have some limitations. For example, small pneumothoraces may not be visible on a standard chest X-ray, especially in patients with underlying lung diseases. In such cases, additional imaging studies such as a CT scan may be required to provide a more detailed view of the lungs and the pleural space.

Another challenge is the interpretation of X-ray images, which requires a trained eye and a thorough understanding of chest anatomy. Misinterpretation can lead to delayed diagnosis and treatment, potentially compromising patient outcomes.

Future Directions in Pneumothorax Diagnosis

Advances in medical imaging technology are continually improving the diagnosis and management of pneumothorax. Newer imaging modalities such as ultrasound and portable X-ray devices are becoming more widely available, offering faster and more convenient diagnostic options. These technologies can provide real-time imaging, allowing for quicker decision-making and intervention.

Additionally, artificial intelligence and machine learning algorithms are being developed to assist in the interpretation of X-ray images. These tools can help radiologists detect subtle signs of pneumothorax that may be missed by the human eye, improving diagnostic accuracy and patient outcomes.

📌 Note: While advancements in technology are promising, they should complement rather than replace the expertise of healthcare professionals. The interpretation of imaging studies requires a comprehensive understanding of medical knowledge and clinical context.

Conclusion

Pneumothorax is a serious medical condition that requires prompt diagnosis and treatment. An X Ray Of Pneumothorax is a crucial diagnostic tool that provides a clear view of the lungs and the pleural space, allowing healthcare professionals to detect the presence of air and assess the severity of the condition. Early detection and appropriate management are essential for preventing complications and ensuring the best possible outcomes. By understanding the role of an X Ray Of Pneumothorax and the various treatment options available, healthcare providers can effectively manage pneumothorax and improve patient care.

Related Terms:

  • small pneumothorax chest x ray
  • pneumothorax x ray vs normal
  • right sided pneumothorax x ray
  • pneumothorax x ray interpretation
  • chest x ray pneumothorax findings
  • chest x ray showing pneumothorax