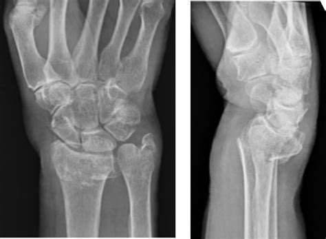
X Ray Broken Wrist

X Ray Broken Wrist

Wrist injuries are a common occurrence, especially among athletes, children, and individuals involved in high-impact activities. One of the most frequent types of wrist injuries is an X-ray broken wrist. This type of injury can range from minor fractures to more severe breaks that require immediate medical attention. Understanding the causes, symptoms, diagnosis, and treatment options for an X-ray broken wrist is crucial for effective management and recovery.

Understanding X-Ray Broken Wrist

An X-ray broken wrist refers to a fracture in one or more of the bones in the wrist. The wrist is a complex joint composed of eight small bones called carpal bones, along with the radius and ulna bones of the forearm. A fracture can occur in any of these bones due to various reasons, including falls, sports injuries, or direct trauma.

Causes of X-Ray Broken Wrist

Several factors can contribute to an X-ray broken wrist. Some of the most common causes include:

  • Falls: Falling onto an outstretched hand is a frequent cause of wrist fractures, especially in older adults and children.
  • Sports Injuries: High-impact sports like basketball, football, and skiing can lead to wrist fractures due to sudden impacts or falls.
  • Direct Trauma: A direct blow to the wrist, such as from a car accident or a heavy object falling on the wrist, can result in a fracture.
  • Osteoporosis: Individuals with osteoporosis have weaker bones, making them more susceptible to fractures, including wrist fractures.

Symptoms of X-Ray Broken Wrist

Recognizing the symptoms of an X-ray broken wrist is essential for prompt treatment. Common symptoms include:

  • Pain: Severe pain in the wrist, especially when moving the hand or applying pressure.
  • Swelling: Noticeable swelling around the wrist area.
  • Bruising: Discoloration or bruising around the wrist.
  • Deformity: Visible deformity or misalignment of the wrist.
  • Limited Mobility: Difficulty moving the wrist or hand.
  • Tenderness: Tenderness to touch in the wrist area.

Diagnosing an X-Ray Broken Wrist

Diagnosing an X-ray broken wrist involves a combination of physical examination and imaging tests. The diagnostic process typically includes the following steps:

  • Medical History: The healthcare provider will ask about the circumstances of the injury, any previous injuries, and medical history.
  • Physical Examination: A thorough examination of the wrist, including checking for swelling, tenderness, and deformity.
  • Imaging Tests: X-rays are the primary imaging test used to diagnose wrist fractures. They provide detailed images of the bones and can help identify the location and severity of the fracture.

In some cases, additional imaging tests such as CT scans or MRIs may be required to get a more detailed view of the fracture, especially if the X-ray results are inconclusive or if there is suspicion of soft tissue damage.

Treatment Options for X-Ray Broken Wrist

The treatment for an X-ray broken wrist depends on the type and severity of the fracture. Common treatment options include:

  • Immobilization: Using a cast, splint, or brace to keep the wrist immobile and promote healing.
  • Pain Management: Over-the-counter pain relievers such as ibuprofen or acetaminophen to manage pain and reduce inflammation.
  • Physical Therapy: Exercises and stretches to improve range of motion, strength, and flexibility once the fracture has healed.
  • Surgery: In severe cases, surgery may be required to realign the bones and stabilize the fracture with plates, screws, or pins.

It is important to follow the healthcare provider's instructions for treatment and rehabilitation to ensure proper healing and prevent complications.

📝 Note: Always consult a healthcare professional for personalized advice and treatment options.

Recovery and Rehabilitation

Recovery from an X-ray broken wrist can take several weeks to months, depending on the severity of the fracture and the individual's overall health. The rehabilitation process typically involves the following stages:

  • Immobilization Phase: The initial phase where the wrist is kept immobile to allow the bones to heal. This phase can last from 4 to 6 weeks.
  • Early Rehabilitation Phase: Gentle exercises and stretches to improve range of motion and reduce stiffness. This phase usually begins after the cast or splint is removed.
  • Advanced Rehabilitation Phase: Strengthening exercises and functional activities to restore full range of motion, strength, and dexterity. This phase can take several weeks to months.

Regular follow-up appointments with the healthcare provider are essential to monitor progress and adjust the rehabilitation plan as needed.

Preventing X-Ray Broken Wrist

While not all wrist fractures can be prevented, there are several measures that can reduce the risk of an X-ray broken wrist:

  • Wear Protective Gear: Use wrist guards or braces during high-impact activities or sports.
  • Strengthen Bones: Engage in weight-bearing exercises and maintain a balanced diet rich in calcium and vitamin D to strengthen bones.
  • Fall Prevention: Take precautions to prevent falls, especially in older adults, by removing tripping hazards and using assistive devices if necessary.
  • Maintain Good Posture: Practice good posture and ergonomics to reduce the risk of wrist injuries during daily activities.

By taking these preventive measures, individuals can significantly reduce their risk of sustaining an X-ray broken wrist.

An X-ray broken wrist is a common injury that can have a significant impact on daily activities and quality of life. Understanding the causes, symptoms, diagnosis, and treatment options is essential for effective management and recovery. By following the recommended treatment plan and engaging in a structured rehabilitation program, individuals can regain full function and strength in their wrist. Preventive measures can also help reduce the risk of future injuries, ensuring long-term wrist health.

Related Terms:

  • dorsal wrist fracture x ray
  • when to get wrist xray
  • fractured wrist surgery
  • healing time broken wrist
  • wrist x ray procedure
  • how to treat fractured wrist