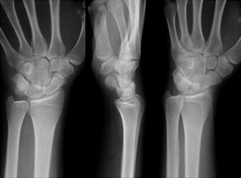
Wrist Bones Xray

Wrist Bones Xray

Understanding the intricacies of the human wrist is crucial for diagnosing and treating various conditions that affect this complex joint. One of the most effective diagnostic tools for evaluating wrist injuries and conditions is the Wrist Bones Xray. This imaging technique provides detailed views of the bones and joints in the wrist, helping healthcare professionals make accurate diagnoses and develop effective treatment plans.

Anatomy of the Wrist

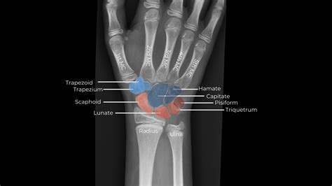
The wrist is a complex structure composed of multiple bones, ligaments, and tendons. It connects the hand to the forearm and allows for a wide range of movements. The primary bones in the wrist include:

  • Carpal Bones: There are eight carpal bones in the wrist, arranged in two rows. These bones are small and irregularly shaped, providing stability and flexibility to the wrist.
  • Metacarpal Bones: These five bones connect the carpal bones to the phalanges (finger bones).
  • Radius and Ulna: These are the two bones of the forearm that articulate with the carpal bones to form the wrist joint.

Importance of Wrist Bones Xray

A Wrist Bones Xray is a valuable diagnostic tool for evaluating various conditions and injuries affecting the wrist. This imaging technique uses X-rays to produce detailed images of the bones and joints, allowing healthcare professionals to identify fractures, dislocations, and other abnormalities. Some of the key benefits of a Wrist Bones Xray include:

  • Diagnosing Fractures: X-rays can detect fractures in the wrist bones, including hairline fractures that may not be visible on physical examination.
  • Evaluating Joint Alignment: X-rays can help assess the alignment of the wrist joints, identifying dislocations or subluxations.
  • Detecting Bone Abnormalities: X-rays can reveal bone abnormalities such as tumors, cysts, or degenerative changes.
  • Assessing Healing Progress: X-rays can monitor the healing process of fractures or other injuries, ensuring that the treatment plan is effective.

Indications for Wrist Bones Xray

A Wrist Bones Xray may be recommended for various reasons, including:

  • Trauma: Following a wrist injury, such as a fall or a direct blow, an X-ray can help determine the extent of the damage.
  • Pain and Swelling: Persistent wrist pain or swelling without a clear cause may warrant an X-ray to rule out underlying conditions.
  • Limited Range of Motion: Difficulty moving the wrist or a reduced range of motion may indicate a bone or joint issue that requires further investigation.
  • Preoperative Evaluation: Before certain surgical procedures, an X-ray may be performed to assess the wrist anatomy and plan the surgery.

Preparing for a Wrist Bones Xray

Preparing for a Wrist Bones Xray is generally straightforward. Here are some steps to ensure a smooth and effective procedure:

  • Remove Jewelry and Metal Objects: Any jewelry or metal objects on the wrist or hand should be removed, as they can interfere with the X-ray images.
  • Inform the Technician: Let the X-ray technician know if you are pregnant or if you have any metal implants in the wrist area.
  • Follow Instructions: The technician will position your wrist and hand for the X-ray. Follow their instructions to ensure clear and accurate images.

📝 Note: If you have had a recent X-ray or other imaging test, bring the results with you to the appointment. This can help the healthcare professional compare the images and make a more accurate diagnosis.

The Wrist Bones Xray Procedure

The Wrist Bones Xray procedure is typically quick and painless. Here is what you can expect during the process:

  • Positioning: You will be asked to sit or stand with your wrist and hand positioned on a special table. The technician will adjust the position to ensure the best possible view of the wrist bones.
  • Exposure: The technician will step behind a protective barrier and activate the X-ray machine. You will feel a brief flash of light as the X-ray is taken.
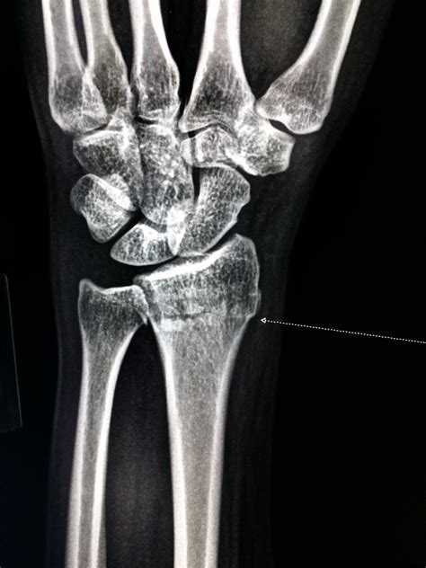
  • Multiple Views: Several X-ray images may be taken from different angles to provide a comprehensive view of the wrist bones and joints.

Interpreting Wrist Bones Xray Results

Interpreting the results of a Wrist Bones Xray requires the expertise of a radiologist or orthopedic specialist. The images will be reviewed to identify any abnormalities or injuries. Some common findings on a wrist X-ray include:

  • Fractures: Visible breaks or cracks in the bones.
  • Dislocations: Misalignment of the bones in the wrist joint.
  • Arthritis: Degenerative changes in the joints, such as narrowing of the joint space or bone spurs.
  • Bone Tumors: Abnormal growths or lesions in the bones.

Common Conditions Diagnosed with Wrist Bones Xray

A Wrist Bones Xray can help diagnose a variety of conditions, including:

  • Fractures: Common wrist fractures include Colles’ fracture, Smith’s fracture, and scaphoid fracture.
  • Carpal Tunnel Syndrome: Although primarily diagnosed through clinical examination and nerve conduction studies, X-rays can rule out bone abnormalities that may contribute to the condition.
  • Arthritis: Osteoarthritis and rheumatoid arthritis can affect the wrist joints, causing pain and stiffness.
  • Ganglion Cysts: These are fluid-filled cysts that can form on the wrist, often visible on an X-ray.

Advanced Imaging Techniques

In some cases, a Wrist Bones Xray may not provide enough detail to make a definitive diagnosis. Advanced imaging techniques may be recommended to obtain more detailed information. These techniques include:

  • CT Scan: Computed tomography (CT) scans provide cross-sectional images of the wrist, offering a more detailed view of the bones and joints.
  • MRI: Magnetic resonance imaging (MRI) uses magnetic fields and radio waves to produce detailed images of the soft tissues, including ligaments, tendons, and cartilage.
  • Ultrasound: Ultrasound imaging uses sound waves to create real-time images of the wrist, helpful for evaluating soft tissue injuries and dynamic movements.

Treatment Options Based on Wrist Bones Xray Results

Based on the findings of a Wrist Bones Xray, various treatment options may be recommended. These can range from conservative measures to surgical interventions:

  • Conservative Treatment: This may include rest, immobilization with a cast or splint, pain medication, and physical therapy.
  • Surgical Intervention: In cases of severe fractures, dislocations, or other complex injuries, surgery may be necessary to realign the bones and stabilize the joint.
  • Rehabilitation: Post-treatment rehabilitation is crucial for regaining strength, flexibility, and range of motion in the wrist.

Preventing Wrist Injuries

While not all wrist injuries can be prevented, taking certain precautions can reduce the risk of injury. Some preventive measures include:

  • Proper Wrist Positioning: Maintain proper wrist positioning during activities that involve repetitive motions, such as typing or using tools.
  • Wrist Supports: Use wrist supports or braces during activities that put stress on the wrist, such as weightlifting or sports.
  • Strengthening Exercises: Regularly perform exercises to strengthen the muscles and tendons in the wrist and forearm.
  • Avoiding High-Impact Activities: Be cautious during high-impact activities that increase the risk of falls or direct blows to the wrist.

📝 Note: If you experience persistent wrist pain or swelling, even after taking preventive measures, consult a healthcare professional for a thorough evaluation.

Conclusion

In summary, a Wrist Bones Xray is an essential diagnostic tool for evaluating wrist injuries and conditions. It provides detailed images of the bones and joints, helping healthcare professionals make accurate diagnoses and develop effective treatment plans. Understanding the anatomy of the wrist, the importance of X-rays, and the various conditions that can be diagnosed with this imaging technique is crucial for maintaining wrist health and preventing injuries. Regular check-ups and preventive measures can also play a significant role in keeping the wrist healthy and functional.

Related Terms:

  • wrist bones x ray anatomy
  • wrist x ray lateral view
  • wrist bones x ray labeled
  • wrist joint anatomy x ray
  • carpal bones x ray labeled
  • wrist joint x ray normal