What Is Molar Teeth

What Is Molar Teeth

Dental health is a crucial aspect of overall well-being, and understanding the different types of teeth is essential for maintaining good oral hygiene. Among the various types, molar teeth play a significant role in the chewing and grinding of food. This post delves into the anatomy, function, and care of molar teeth, providing a comprehensive guide to what is molar teeth and their importance in dental health.

What Are Molar Teeth?

Molar teeth are the large, flat teeth located at the back of the mouth. They are designed for grinding and chewing food, making them indispensable for the digestive process. Molars typically have a broad, flat surface with multiple cusps, which help in breaking down food into smaller particles. There are three sets of molars in the human mouth: primary molars, permanent molars, and wisdom teeth.

Anatomy of Molar Teeth

Understanding the anatomy of molar teeth is key to appreciating their function. Molars are characterized by their large size and multiple roots, which provide stability and support. The crown of a molar is the visible part above the gum line, while the root extends into the jawbone. The enamel, the hardest substance in the body, covers the crown, protecting it from decay and wear.

Types of Molar Teeth

There are different types of molar teeth, each with its own unique characteristics and functions. The primary molars, also known as baby molars, are the first set of molars to erupt in children. They typically appear between the ages of 12 and 24 months and are crucial for chewing and speaking. Permanent molars, on the other hand, replace the primary molars and continue to develop throughout childhood and adolescence. Wisdom teeth, the third set of molars, usually erupt in late adolescence or early adulthood.

Function of Molar Teeth

The primary function of molar teeth is to grind and chew food. Their flat surfaces and multiple cusps allow for efficient breakdown of food into smaller particles, which aids in digestion. Molars work in conjunction with other teeth to ensure that food is properly chewed before it is swallowed. This process is essential for extracting nutrients from food and maintaining overall health.

Caring for Molar Teeth

Proper care of molar teeth is crucial for maintaining good oral health. Regular brushing and flossing are essential for removing plaque and food particles that can lead to decay. It is also important to visit a dentist regularly for check-ups and cleanings. Dental sealants can be applied to the chewing surfaces of molars to provide an extra layer of protection against decay.

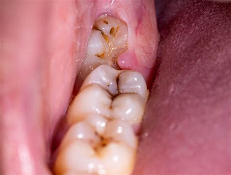
Common Issues with Molar Teeth

Molar teeth are prone to various issues due to their location and function. Some common problems include:

  • Cavities: Molars are particularly susceptible to cavities due to their deep grooves and pits, which can trap food particles and bacteria.
  • Gum Disease: Poor oral hygiene can lead to gum disease, which can affect the health of molar teeth and their supporting structures.
  • Wisdom Teeth Issues: Wisdom teeth often do not have enough room to erupt properly, leading to impaction, infection, and other complications.

Preventive Measures for Molar Teeth

Preventing issues with molar teeth involves a combination of good oral hygiene practices and regular dental care. Here are some preventive measures to consider:

  • Regular Brushing and Flossing: Brush your teeth at least twice a day and floss daily to remove plaque and food particles.
  • Dental Sealants: Apply dental sealants to the chewing surfaces of molars to protect them from decay.
  • Regular Dental Check-ups: Visit your dentist regularly for check-ups and cleanings to detect and treat any issues early.
  • Healthy Diet: Maintain a balanced diet rich in fruits, vegetables, and whole grains to support overall oral health.

Treatment Options for Molar Teeth Issues

If issues with molar teeth arise, there are several treatment options available. The choice of treatment depends on the severity and type of problem. Some common treatment options include:

  • Fillings: For cavities, dental fillings can be used to restore the tooth’s structure and function.
  • Root Canal Treatment: If the pulp of the tooth becomes infected, a root canal treatment may be necessary to save the tooth.
  • Extraction: In cases of severe decay or infection, extraction of the molar tooth may be required.
  • Wisdom Teeth Removal: If wisdom teeth are causing problems, they may need to be removed to prevent further complications.

💡 Note: Always consult with a dental professional to determine the best course of treatment for your specific needs.

The Role of Molar Teeth in Digestion

Molar teeth play a critical role in the digestive process. By grinding and chewing food into smaller particles, molars help to break down food into a form that is easier to digest. This process also aids in the extraction of nutrients from food, ensuring that the body receives the necessary vitamins and minerals for optimal health. Proper chewing and grinding of food by molar teeth can also help to prevent digestive issues such as bloating, gas, and indigestion.

Molar Teeth in Children

In children, molar teeth are particularly important for the development of proper chewing and speaking habits. Primary molars, which erupt between the ages of 12 and 24 months, are crucial for chewing and speaking. Permanent molars, which replace the primary molars, continue to develop throughout childhood and adolescence. It is important to care for children’s molar teeth to ensure proper development and to prevent issues such as cavities and gum disease.

Molar Teeth and Orthodontic Treatment

Molar teeth can also be affected by orthodontic treatment. Braces and other orthodontic appliances can help to correct misaligned molars, improving both the appearance and function of the teeth. Proper alignment of molar teeth is essential for efficient chewing and grinding of food, as well as for maintaining overall oral health. Orthodontic treatment can also help to prevent issues such as jaw pain and headaches, which can be caused by misaligned teeth.

Molar Teeth and Dental Implants

In cases where molar teeth are lost due to decay, injury, or extraction, dental implants can be used to replace them. Dental implants are artificial tooth roots that are surgically placed into the jawbone to support a replacement tooth. Implants can provide a stable and long-lasting solution for missing molar teeth, restoring both the function and appearance of the smile. Proper care and maintenance of dental implants are essential for their longevity and success.

Molar teeth are a vital component of the dental structure, playing a crucial role in chewing, grinding, and digestion. Understanding what is molar teeth, their anatomy, function, and care is essential for maintaining good oral health. Regular brushing, flossing, and dental check-ups, along with preventive measures such as dental sealants, can help to protect molar teeth from decay and other issues. If problems do arise, prompt treatment by a dental professional can help to restore the health and function of molar teeth. By taking care of molar teeth, individuals can ensure optimal oral health and overall well-being.

Related Terms:

  • where is molar teeth located
  • picture of molar teeth
  • premolar teeth vs molar
  • what are considered molar teeth
  • where are your molars located
  • why is the molar called