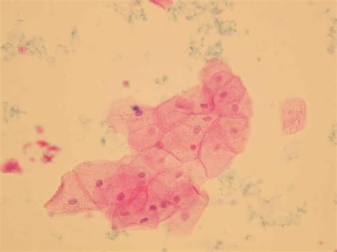
Urine Epithelial Squamous Cells

Urine Epithelial Squamous Cells

Urine analysis is a common diagnostic tool used in medical settings to assess various aspects of a patient's health. Among the many components examined in a urine sample, urine epithelial squamous cells play a crucial role in diagnosing certain conditions. These cells, which originate from the squamous epithelium lining the urinary tract, can provide valuable insights into the health of the urinary system. Understanding the significance of urine epithelial squamous cells and their implications in diagnostic processes is essential for healthcare professionals and patients alike.

Understanding Urine Epithelial Squamous Cells

Urine epithelial squamous cells are flat, scale-like cells that line the distal urethra and the external genitalia. These cells are typically found in small numbers in a normal urine sample. However, an increased presence of these cells can indicate various conditions, including infections, inflammation, or even more serious issues like cancer. The presence of urine epithelial squamous cells in urine samples is often noted during a routine urinalysis, which is a standard test performed to evaluate the overall health of the urinary system.

The Role of Urine Epithelial Squamous Cells in Diagnosis

Urine epithelial squamous cells serve as important markers in the diagnostic process. Their presence can help healthcare providers identify and differentiate between various urinary tract conditions. For instance, an increased number of these cells might suggest:

  • Infections: Urinary tract infections (UTIs) can cause inflammation and irritation, leading to an increased shedding of squamous cells.
  • Inflammation: Conditions such as interstitial cystitis or urethritis can result in inflammation of the urinary tract, causing an elevated number of squamous cells.
  • Cancer: In some cases, the presence of abnormal squamous cells can indicate the presence of squamous cell carcinoma, a type of cancer that affects the urinary tract.

Healthcare providers use the findings from urinalysis, along with other diagnostic tests, to determine the underlying cause of symptoms and develop an appropriate treatment plan.

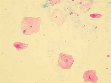
Interpreting Urine Epithelial Squamous Cells in Urinalysis

During a urinalysis, a healthcare provider will examine the urine sample under a microscope to identify and count the number of urine epithelial squamous cells present. The results are typically reported as the number of cells per high-power field (HPF). A normal urine sample may contain a few squamous cells, but an elevated count can indicate a potential issue. The interpretation of these results is crucial for accurate diagnosis and treatment.

Here is a general guide to interpreting the presence of urine epithelial squamous cells:

Number of Squamous Cells per HPF Interpretation
0-5 Normal
6-10 Mildly elevated
11-20 Moderately elevated
21+ Significantly elevated

It is important to note that the interpretation of these results should be done by a healthcare professional, as other factors may influence the findings.

📝 Note: The presence of urine epithelial squamous cells alone is not sufficient for a definitive diagnosis. Additional tests, such as urine culture, imaging studies, or biopsy, may be required to confirm the underlying condition.

Conditions Associated with Elevated Urine Epithelial Squamous Cells

Several conditions can lead to an increased number of urine epithelial squamous cells. Understanding these conditions can help in the diagnostic process and guide appropriate treatment. Some of the most common conditions associated with elevated squamous cells include:

Urinary Tract Infections (UTIs)

UTIs are one of the most common reasons for an increased presence of urine epithelial squamous cells. These infections can affect any part of the urinary system, including the kidneys, ureters, bladder, and urethra. Symptoms of a UTI may include:

  • Burning sensation during urination
  • Frequent urination
  • Cloudy or strong-smelling urine
  • Pelvic pain

UTIs are typically treated with antibiotics, and prompt diagnosis and treatment are essential to prevent complications.

Interstitial Cystitis

Interstitial cystitis is a chronic condition characterized by inflammation of the bladder wall. This condition can cause significant discomfort and pain, and it is often associated with an increased number of urine epithelial squamous cells. Symptoms may include:

  • Chronic pelvic pain
  • Frequent urination
  • Urgent need to urinate
  • Pain during sexual intercourse

Treatment for interstitial cystitis may involve a combination of medications, dietary changes, and lifestyle modifications.

Squamous Cell Carcinoma

Squamous cell carcinoma is a type of cancer that can affect the urinary tract, particularly the bladder and urethra. This condition is often associated with an increased presence of abnormal squamous cells in the urine. Symptoms may include:

  • Blood in the urine
  • Painful urination
  • Frequent urination
  • Pelvic pain

Treatment for squamous cell carcinoma typically involves a combination of surgery, chemotherapy, and radiation therapy.

Diagnostic Procedures for Urine Epithelial Squamous Cells

When urine epithelial squamous cells are detected in a urinalysis, further diagnostic procedures may be necessary to determine the underlying cause. These procedures can help healthcare providers develop an accurate diagnosis and appropriate treatment plan. Some of the common diagnostic procedures include:

Urine Culture

A urine culture is a test that identifies the presence of bacteria or other microorganisms in the urine. This test is particularly useful in diagnosing urinary tract infections. The procedure involves collecting a urine sample and culturing it in a laboratory to identify any pathogens present.

Imaging Studies

Imaging studies, such as ultrasound, CT scan, or MRI, can provide detailed images of the urinary tract. These studies can help identify structural abnormalities, infections, or tumors that may be causing the increased presence of urine epithelial squamous cells.

Biopsy

A biopsy involves the removal of a small tissue sample from the urinary tract for examination under a microscope. This procedure is often used to diagnose conditions such as squamous cell carcinoma. The biopsy sample can provide valuable information about the presence of abnormal cells and help guide treatment decisions.

📝 Note: Diagnostic procedures should be performed by a qualified healthcare professional to ensure accurate results and minimize the risk of complications.

Treatment Options for Conditions Associated with Urine Epithelial Squamous Cells

The treatment options for conditions associated with elevated urine epithelial squamous cells vary depending on the underlying cause. Effective treatment often involves a combination of medications, lifestyle changes, and, in some cases, surgical intervention. Some of the common treatment options include:

Antibiotics

Antibiotics are commonly prescribed to treat urinary tract infections. These medications help eliminate the bacteria causing the infection and reduce symptoms. It is essential to complete the full course of antibiotics as prescribed by the healthcare provider to ensure the infection is fully treated.

Pain Management

For conditions such as interstitial cystitis, pain management is a crucial aspect of treatment. This may involve the use of medications, such as nonsteroidal anti-inflammatory drugs (NSAIDs) or opioids, to alleviate discomfort. Lifestyle modifications, such as avoiding certain foods and beverages, can also help manage symptoms.

Surgery

In cases of squamous cell carcinoma, surgery may be necessary to remove the tumor and surrounding tissue. This procedure can help prevent the spread of cancer and improve the patient's prognosis. Additional treatments, such as chemotherapy and radiation therapy, may be recommended to further treat the cancer.

Effective treatment requires a comprehensive approach that addresses the underlying cause of the condition and manages symptoms to improve the patient's quality of life.

In summary, urine epithelial squamous cells play a crucial role in the diagnosis and management of various urinary tract conditions. Understanding the significance of these cells and their implications in diagnostic processes is essential for healthcare providers and patients alike. By recognizing the presence of elevated squamous cells and conducting appropriate diagnostic procedures, healthcare providers can develop accurate diagnoses and effective treatment plans. This comprehensive approach ensures that patients receive the care they need to manage their conditions and improve their overall health.

Related Terms:

  • urine leukocytes
  • urine leukocyte esterase abnormal
  • urine squamous epithelial cells rare
  • urine squamous epithelial cells moderate
  • urine squamous epithelial cells meaning
  • urine squamous epithelial cells range