Under Microscope Cells

Under Microscope Cells

Exploring the microscopic world of cells is a fascinating journey that unveils the intricate details of life's building blocks. Understanding under microscope cells provides insights into biological processes, disease mechanisms, and potential therapeutic targets. This exploration is not just for scientists; it offers a glimpse into the wonders of biology for anyone curious about the natural world.

What Are Cells?

Cells are the fundamental units of life, the smallest structures that can perform all the necessary functions to sustain life. They come in various shapes and sizes, ranging from simple prokaryotic cells like bacteria to complex eukaryotic cells found in plants, animals, and fungi. Each type of cell has a unique structure and function tailored to its role within an organism.

Types of Cells

Cells can be broadly categorized into two main types: prokaryotic and eukaryotic.

Prokaryotic Cells

Prokaryotic cells are simpler and smaller, lacking a true nucleus and other membrane-bound organelles. Examples include bacteria and archaea. These cells have a circular DNA molecule located in the nucleoid region and perform essential functions such as metabolism and reproduction.

Eukaryotic Cells

Eukaryotic cells are more complex and larger, containing a true nucleus and various membrane-bound organelles. These cells are found in plants, animals, fungi, and protists. The nucleus houses the genetic material, while organelles like mitochondria, endoplasmic reticulum, and Golgi apparatus perform specialized functions.

Viewing Cells Under a Microscope

To observe under microscope cells, a microscope is essential. There are different types of microscopes, each with its own advantages and limitations.

Light Microscopes

Light microscopes use visible light and a system of lenses to magnify images. They are commonly used in educational settings and for basic cellular observations. Light microscopes can magnify up to 1000 times, allowing for the visualization of cell structures like the nucleus, cytoplasm, and cell membrane.

Electron Microscopes

Electron microscopes use a beam of electrons instead of light to produce high-resolution images. They can magnify up to 2 million times, revealing detailed structures within cells, such as organelles and molecular components. There are two main types of electron microscopes:

  • Transmission Electron Microscope (TEM): Provides detailed internal structures by passing electrons through thin sections of the sample.
  • Scanning Electron Microscope (SEM): Produces three-dimensional images of the cell surface by scanning the sample with electrons.

Preparing Cells for Microscopic Observation

Proper preparation is crucial for obtaining clear and accurate images of under microscope cells. The process involves several steps:

Fixation

Fixation preserves the cell structure by killing the cells and preventing decomposition. Common fixatives include formaldehyde and glutaraldehyde, which cross-link proteins and stabilize the cell’s components.

Staining

Staining enhances the visibility of cell structures by adding color to specific components. Different stains target different parts of the cell:

  • Hematoxylin and Eosin (H&E): Commonly used in histology to stain nuclei blue and cytoplasm pink.
  • Gram Stain: Differentiates between Gram-positive and Gram-negative bacteria.
  • Giemsa Stain: Used for staining blood smears and identifying parasites.

Mounting

Mounting involves placing the prepared sample on a microscope slide and covering it with a coverslip. This step ensures the sample is secure and ready for observation.

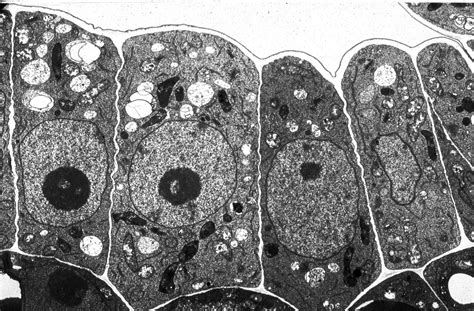
Key Cell Structures Under the Microscope

When observing under microscope cells, several key structures can be identified:

Nucleus

The nucleus is the control center of the cell, containing the genetic material (DNA) and regulating cell activities. It is surrounded by a nuclear membrane and contains nucleoli, which are involved in ribosome production.

Cytoplasm

The cytoplasm is the gel-like substance that fills the cell, containing various organelles and providing a medium for biochemical reactions. It is enclosed by the cell membrane, which regulates the movement of substances in and out of the cell.

Organelles

Organelles are specialized structures within the cell that perform specific functions. Some key organelles include:

  • Mitochondria: Known as the powerhouses of the cell, they generate energy through cellular respiration.
  • Endoplasmic Reticulum (ER): Involved in protein synthesis and lipid metabolism. It comes in two forms: rough ER (with ribosomes) and smooth ER (without ribosomes).
  • Golgi Apparatus: Modifies, sorts, and packages proteins and lipids for transport within the cell or secretion.
  • Lysosomes: Contain digestive enzymes that break down waste materials and cellular debris.
  • Ribosomes: Sites of protein synthesis, found either freely in the cytoplasm or attached to the rough ER.

Applications of Cell Microscopy

Observing under microscope cells has numerous applications in various fields, including medicine, biology, and research.

Medical Diagnostics

Microscopic examination of cells is crucial in diagnosing diseases. For example, blood smears can reveal the presence of infections or abnormalities in blood cells. Tissue biopsies are examined to detect cancerous cells and determine the stage of the disease.

Research and Development

Cell microscopy is essential in biological research, helping scientists understand cellular processes, gene expression, and protein interactions. It aids in developing new therapies and treatments for diseases by providing insights into cellular mechanisms.

Education

Microscopy is a fundamental tool in educational settings, allowing students to explore the microscopic world and understand the structure and function of cells. It fosters curiosity and interest in biology and related sciences.

Challenges and Limitations

While observing under microscope cells provides valuable insights, there are challenges and limitations to consider:

Sample Preparation

Proper sample preparation is critical for obtaining clear images. Improper fixation, staining, or mounting can lead to artifacts and misinterpretation of results.

Resolution Limits

Even with advanced microscopes, there are resolution limits. Light microscopes have a maximum resolution of about 200 nanometers, while electron microscopes can reach higher resolutions but require more complex preparation and handling.

Cost and Accessibility

High-resolution microscopes, such as electron microscopes, are expensive and require specialized training to operate. This limits their accessibility, particularly in educational and research settings with limited resources.

🔍 Note: Always ensure that the microscope is properly calibrated and maintained to obtain accurate and reliable images.

🔍 Note: When preparing samples, follow safety protocols to handle fixatives and stains, as some can be hazardous.

Observing under microscope cells is a captivating journey into the microscopic world, revealing the intricate details of life’s building blocks. From understanding basic cell structures to diagnosing diseases and conducting groundbreaking research, microscopy plays a pivotal role in various fields. By appreciating the complexity and beauty of cells, we gain a deeper understanding of the natural world and the processes that sustain life.

Related Terms:

  • cells moving under a microscope
  • human cells under microscope
  • microscopic images of human cells
  • types of cells under microscope
  • different cells under a microscope
  • microscopic pictures of cells