Umbilical Cord Cyst

Umbilical Cord Cyst

An umbilical cord cyst is a rare but significant condition that can affect both mothers and babies during pregnancy. These cysts are fluid-filled sacs that develop within the umbilical cord, which connects the developing fetus to the placenta. Understanding the causes, symptoms, diagnosis, and treatment options for umbilical cord cysts is crucial for ensuring the health and well-being of both the mother and the baby.

Understanding Umbilical Cord Cysts

An umbilical cord cyst, also known as an umbilical cord pseudocyst, is a benign growth that forms within the umbilical cord. These cysts are typically filled with fluid and can vary in size. They are usually detected during routine prenatal ultrasounds, often between 16 and 20 weeks of gestation. The exact cause of umbilical cord cysts is not fully understood, but they are believed to result from a developmental anomaly in the umbilical cord.

Causes and Risk Factors

While the precise cause of umbilical cord cysts is not known, several factors have been associated with their development:

  • Genetic predisposition: There may be a genetic component that increases the likelihood of developing an umbilical cord cyst.
  • Maternal health: Certain maternal health conditions, such as diabetes or autoimmune disorders, may contribute to the formation of these cysts.
  • Fetal anomalies: In some cases, umbilical cord cysts may be associated with other fetal anomalies or chromosomal abnormalities.

Symptoms and Diagnosis

Umbilical cord cysts are often asymptomatic and are typically discovered during routine prenatal ultrasounds. However, in some cases, they may be associated with other complications that can affect the baby's health. Symptoms that may indicate the presence of an umbilical cord cyst include:

  • Abnormal fetal movement
  • Reduced amniotic fluid
  • Fetal distress during labor

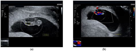
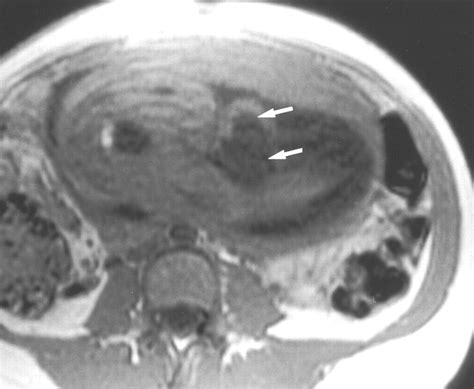
Diagnosis of an umbilical cord cyst is usually made through ultrasound imaging. During an ultrasound, the healthcare provider can visualize the cyst and assess its size, location, and any potential impact on the baby's health. In some cases, additional diagnostic tests, such as amniocentesis or fetal echocardiography, may be recommended to rule out other potential complications.

Types of Umbilical Cord Cysts

Umbilical cord cysts can be classified into two main types based on their location and characteristics:

Type Description Location
True Cyst A true cyst is a fluid-filled sac that is lined with epithelial cells. It is typically benign and does not cause significant complications. Within the umbilical cord tissue
Pseudocyst A pseudocyst is a fluid collection that does not have a distinct epithelial lining. It is often associated with other umbilical cord abnormalities and may require closer monitoring. Within the umbilical cord tissue or near the insertion site of the umbilical cord

Treatment Options

The treatment of umbilical cord cysts depends on several factors, including the size and location of the cyst, the presence of any associated complications, and the gestational age of the fetus. In many cases, umbilical cord cysts resolve spontaneously without any intervention. However, in some situations, medical or surgical treatment may be necessary.

For small, asymptomatic cysts, a conservative approach is often recommended. This involves regular monitoring through ultrasound to ensure that the cyst does not grow or cause any complications. In some cases, additional diagnostic tests may be performed to rule out other potential issues.

For larger cysts or those associated with complications, more aggressive treatment may be necessary. This can include:

  • Aspiration: In some cases, the fluid within the cyst can be aspirated (drained) using a needle under ultrasound guidance. This procedure can help reduce the size of the cyst and alleviate any associated symptoms.
  • Surgical removal: In rare cases, surgical removal of the cyst may be necessary, especially if it is causing significant complications or if there is a risk of rupture.

In some cases, the presence of an umbilical cord cyst may indicate the need for closer monitoring of the pregnancy. This can include more frequent ultrasound examinations, non-stress tests, and other diagnostic procedures to ensure the health and well-being of both the mother and the baby.

📌 Note: It is important to consult with a healthcare provider to determine the best course of treatment for an umbilical cord cyst. Regular prenatal care and monitoring are essential for ensuring a healthy pregnancy and delivery.

Potential Complications

While umbilical cord cysts are generally benign, they can be associated with several potential complications. These can include:

  • Fetal distress: In some cases, an umbilical cord cyst can cause fetal distress, which may require immediate medical intervention.
  • Premature labor: The presence of an umbilical cord cyst may increase the risk of premature labor, which can have significant implications for the baby's health.
  • Infection: Although rare, an umbilical cord cyst can become infected, leading to complications for both the mother and the baby.
  • Rupture: In some cases, an umbilical cord cyst may rupture, which can cause bleeding and other complications.

Regular prenatal care and monitoring are essential for detecting and managing these potential complications. If you experience any symptoms or concerns, it is important to consult with your healthcare provider immediately.

Preventive Measures

While there is no guaranteed way to prevent the development of an umbilical cord cyst, there are several steps that can be taken to promote a healthy pregnancy and reduce the risk of complications:

  • Regular prenatal care: Attend all scheduled prenatal appointments and follow your healthcare provider's recommendations for prenatal care.
  • Healthy lifestyle: Maintain a healthy lifestyle, including a balanced diet, regular exercise, and adequate rest.
  • Avoid harmful substances: Avoid alcohol, tobacco, and other harmful substances during pregnancy.
  • Manage chronic conditions: If you have any chronic health conditions, work with your healthcare provider to manage them effectively during pregnancy.

By taking these steps, you can help promote a healthy pregnancy and reduce the risk of complications associated with umbilical cord cysts.

📌 Note: If you have a family history of umbilical cord cysts or other umbilical cord abnormalities, it is important to discuss this with your healthcare provider. They can provide personalized recommendations for monitoring and managing your pregnancy.

Support and Resources

Dealing with an umbilical cord cyst can be stressful and overwhelming. It is important to seek support and resources to help you navigate this challenging time. Here are some resources that may be helpful:

  • Healthcare providers: Your healthcare provider is an essential resource for information and support. They can answer your questions, provide guidance, and help you make informed decisions about your care.
  • Support groups: Joining a support group for women with umbilical cord cysts or other pregnancy complications can provide emotional support and practical advice.
  • Online resources: There are many online resources available that provide information and support for women dealing with umbilical cord cysts. These can include forums, blogs, and social media groups.

By seeking support and resources, you can better manage the challenges associated with an umbilical cord cyst and promote a healthy pregnancy.

An umbilical cord cyst is a rare but significant condition that can affect both mothers and babies during pregnancy. Understanding the causes, symptoms, diagnosis, and treatment options for umbilical cord cysts is crucial for ensuring the health and well-being of both the mother and the baby. Regular prenatal care, a healthy lifestyle, and seeking support and resources can help promote a healthy pregnancy and reduce the risk of complications associated with umbilical cord cysts.

Related Terms:

  • umbilical cord pseudocyst
  • umbilical cord cyst 8 weeks
  • umbilical cord cyst prognosis
  • umbilical cord cyst pathology outlines
  • umbilical cord cyst in pregnancy
  • umbilical cord cyst symptoms