Ultrasound Of Intussusception

Ultrasound Of Intussusception

Intussusception is a serious medical condition that occurs when one segment of the intestine slides into another, causing a blockage. This condition is most common in infants and young children but can also affect adults. Early and accurate diagnosis is crucial for effective treatment. One of the primary diagnostic tools used for detecting intussusception is the ultrasound of intussusception. This non-invasive imaging technique provides valuable insights into the condition, helping healthcare professionals make informed decisions.

Understanding Intussusception

Intussusception is a medical emergency that requires immediate attention. It occurs when a segment of the intestine, known as the intussusceptum, telescopes into an adjacent segment, called the intussuscipiens. This can lead to obstruction, ischemia, and potentially necrosis of the affected bowel. The condition is more prevalent in children, particularly those between 3 months and 3 years old, but it can also occur in adults, often due to underlying conditions such as tumors or polyps.

Symptoms of Intussusception

The symptoms of intussusception can vary depending on the age of the patient. In infants and young children, common symptoms include:

  • Abdominal pain, often severe and intermittent
  • Vomiting
  • Blood in the stool (often described as "currant jelly" stool)
  • Lethargy and irritability
  • Abdominal mass or swelling

In adults, symptoms may be more subtle and can include:

  • Abdominal pain and cramping
  • Nausea and vomiting
  • Diarrhea or constipation
  • Weight loss
  • Fatigue

The Role of Ultrasound in Diagnosing Intussusception

An ultrasound of intussusception is a critical diagnostic tool that provides real-time images of the abdomen. This imaging technique uses high-frequency sound waves to create detailed images of the internal structures, making it an effective method for detecting intussusception. Ultrasound is particularly useful because it is non-invasive, does not involve radiation, and can be performed quickly and efficiently.

How Ultrasound Works

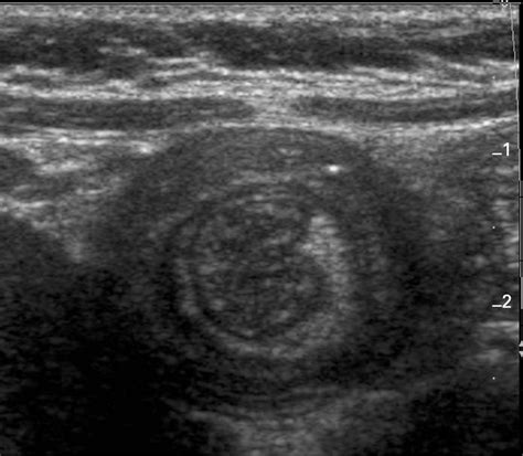
During an ultrasound examination, a transducer is placed on the abdomen. The transducer emits sound waves that penetrate the body and bounce back, creating echoes. These echoes are then converted into images that can be viewed on a monitor. The ultrasound technician or radiologist can identify the characteristic "target" or "doughnut" sign, which is indicative of intussusception. This sign appears as concentric rings of alternating hypoechoic and hyperechoic layers, representing the layers of the intussuscepted bowel.

Advantages of Ultrasound

There are several advantages to using ultrasound for the diagnosis of intussusception:

  • Non-invasive: Ultrasound does not require any incisions or injections, making it a safe and comfortable option for patients.
  • No radiation: Unlike X-rays or CT scans, ultrasound does not expose patients to ionizing radiation, making it a safer choice, especially for children.
  • Real-time imaging: Ultrasound provides real-time images, allowing healthcare professionals to observe the movement and function of the intestines.
  • Cost-effective: Ultrasound is generally less expensive than other imaging techniques, making it a more accessible option for many patients.
  • Portable: Ultrasound machines are portable, allowing for bedside examinations in emergency settings.

Interpreting Ultrasound Results

Interpreting the results of an ultrasound of intussusception requires a trained eye. The characteristic signs of intussusception include:

  • Target sign: This appears as concentric rings of alternating hypoechoic and hyperechoic layers, representing the layers of the intussuscepted bowel.
  • Pseudo-kidney sign: This sign is seen when the intussuscepted bowel appears as a mass with a hypoechoic center and a hyperechoic periphery, resembling a kidney.
  • Crescent-in-doughnut sign: This sign is seen when the intussuscepted bowel appears as a crescent-shaped mass within a doughnut-shaped mass.

These signs, along with the clinical presentation, help healthcare professionals confirm the diagnosis of intussusception.

Treatment Options

Once intussusception is diagnosed, prompt treatment is essential to prevent complications such as bowel necrosis and perforation. Treatment options include:

  • Non-surgical reduction: This involves the use of air or contrast enema to push the intussuscepted bowel back into place. This procedure is often successful in children but may not be suitable for adults with underlying conditions.
  • Surgical reduction: In cases where non-surgical reduction is not successful or contraindicated, surgery may be required to manually reduce the intussusception or to resect the affected bowel.

In some cases, the affected bowel may need to be resected if it is necrotic or perforated. The choice of treatment depends on the severity of the condition, the patient's overall health, and the presence of any underlying conditions.

Preventing Intussusception

While intussusception cannot always be prevented, there are some measures that can reduce the risk, especially in children:

  • Vaccination: Ensuring that children receive all recommended vaccinations, including the rotavirus vaccine, can help reduce the risk of intussusception.
  • Avoiding certain foods: In some cases, avoiding certain foods that can cause intestinal blockages, such as large pieces of food or hard candies, may help prevent intussusception.
  • Regular check-ups: Regular medical check-ups can help detect any underlying conditions that may increase the risk of intussusception.

In adults, managing underlying conditions such as tumors or polyps can help reduce the risk of intussusception.

Importance of Early Diagnosis

Early diagnosis of intussusception is crucial for effective treatment and to prevent complications. An ultrasound of intussusception is a valuable tool in this regard, providing quick and accurate results that can guide treatment decisions. Healthcare professionals should be aware of the characteristic signs of intussusception on ultrasound and use this information to make timely diagnoses.

In summary, intussusception is a serious medical condition that requires prompt diagnosis and treatment. An ultrasound of intussusception is a non-invasive and effective diagnostic tool that provides valuable insights into the condition. Early detection and appropriate treatment can significantly improve outcomes and prevent complications. Healthcare professionals should be familiar with the characteristic signs of intussusception on ultrasound and use this information to guide their diagnostic and treatment decisions.

📌 Note: This blog post is for informational purposes only and should not be used as a substitute for professional medical advice. Always consult a healthcare professional for medical concerns.

Intussusception is a condition that demands immediate medical attention. The use of an ultrasound of intussusception as a diagnostic tool has revolutionized the way healthcare professionals approach this condition. By providing quick, accurate, and non-invasive imaging, ultrasound helps in the early detection and treatment of intussusception, ultimately improving patient outcomes. Understanding the symptoms, diagnostic techniques, and treatment options for intussusception is essential for healthcare professionals and patients alike. Early intervention and appropriate management can prevent serious complications and ensure a better prognosis for those affected by this condition.

Related Terms:

  • intussusception ultrasound age
  • ultrasound protocol for intussusception
  • us intussusception photos
  • intussusception ultrasound target sign
  • target sign on ultrasound
  • intussusception ultrasound images protocol