Ultrasound Of Abdomen

Ultrasound Of Abdomen

An ultrasound of abdomen is a non-invasive diagnostic procedure that uses high-frequency sound waves to create images of the internal structures of the abdomen. This imaging technique is widely used in medical settings to evaluate various organs and tissues, providing valuable information for diagnosing and monitoring a range of conditions. The procedure is safe, painless, and does not involve radiation, making it a preferred choice for many diagnostic purposes.

Understanding the Ultrasound of Abdomen Procedure

An ultrasound of abdomen involves the use of a transducer, a device that emits sound waves and receives the echoes that bounce back from the body's internal structures. These echoes are then converted into images displayed on a monitor. The procedure is typically performed by a trained technician or radiologist and can take anywhere from 15 to 30 minutes to complete.

The patient is usually asked to lie on their back on an examination table. A water-based gel is applied to the abdomen to improve the transmission of sound waves. The transducer is then moved over the abdomen, capturing images from different angles. The images are reviewed in real-time, and the technician may take still images or video clips for further analysis.

Preparation for an Ultrasound of Abdomen

Preparation for an ultrasound of abdomen can vary depending on the specific organs being examined. Generally, the following steps are involved:

  • Fasting: Patients may be required to fast for several hours before the procedure to ensure that the stomach and intestines are empty. This is particularly important for examining the liver, gallbladder, and pancreas.
  • Hydration: For some examinations, such as those focusing on the kidneys or bladder, the patient may be asked to drink plenty of water before the procedure to fill the bladder.
  • Medications: Patients should inform their healthcare provider about any medications they are taking, as some may need to be adjusted or temporarily stopped before the procedure.
  • Clothing: Comfortable clothing that allows easy access to the abdomen is recommended. Patients may be asked to change into a hospital gown.

📝 Note: Always follow the specific instructions provided by your healthcare provider, as preparation requirements can vary based on the type of ultrasound being performed.

Common Uses of an Ultrasound of Abdomen

An ultrasound of abdomen is used to evaluate a wide range of conditions affecting the abdominal organs. Some of the most common uses include:

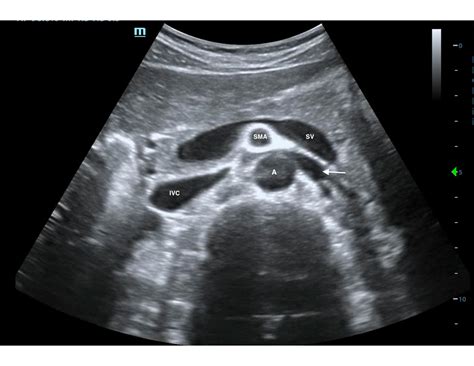
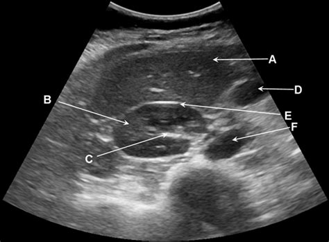
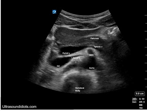
  • Liver and Gallbladder: Assessing the size, shape, and structure of the liver and gallbladder. Detecting conditions such as gallstones, liver tumors, and inflammation.
  • Pancreas: Evaluating the pancreas for inflammation, tumors, or cysts.
  • Spleen: Checking the spleen for enlargement, cysts, or tumors.
  • Kidneys: Examining the kidneys for stones, tumors, cysts, or other abnormalities.
  • Bladder: Assessing the bladder for stones, tumors, or other issues.
  • Abdominal Aorta: Checking for aneurysms or other abnormalities in the abdominal aorta.
  • Pelvic Organs: In some cases, an ultrasound of abdomen may also be used to evaluate pelvic organs, such as the uterus and ovaries, in women.

Interpreting the Results of an Ultrasound of Abdomen

The images obtained from an ultrasound of abdomen are reviewed by a radiologist, who provides a detailed report to the referring physician. The results can help diagnose various conditions, including:

  • Gallstones: The presence of gallstones can be clearly visualized on ultrasound images.
  • Liver Disease: Conditions such as cirrhosis, hepatitis, and liver tumors can be detected.
  • Pancreatic Disorders: Inflammation, tumors, and cysts in the pancreas can be identified.
  • Kidney Stones: The location and size of kidney stones can be determined.
  • Abdominal Aortic Aneurysm: The presence and size of an aneurysm in the abdominal aorta can be assessed.

In some cases, additional tests or procedures may be recommended based on the ultrasound findings. These may include blood tests, CT scans, or biopsies to confirm the diagnosis and determine the best course of treatment.

Benefits of an Ultrasound of Abdomen

An ultrasound of abdomen offers several benefits, making it a valuable diagnostic tool:

  • Non-Invasive: The procedure does not require any incisions or injections, making it a safe and comfortable option for patients.
  • No Radiation: Unlike X-rays or CT scans, ultrasound does not use ionizing radiation, making it a safer choice, especially for pregnant women and children.
  • Real-Time Imaging: Ultrasound provides real-time images, allowing for immediate assessment and diagnosis.
  • Cost-Effective: Compared to other imaging techniques, ultrasound is generally more affordable.
  • Versatile: Ultrasound can be used to evaluate a wide range of abdominal conditions and organs.

Limitations of an Ultrasound of Abdomen

While an ultrasound of abdomen is a valuable diagnostic tool, it does have some limitations:

  • Obesity: Excess body fat can interfere with the transmission of sound waves, making it difficult to obtain clear images.
  • Gas and Bowel Movements: Air and gas in the intestines can block the sound waves, obscuring the view of underlying structures.
  • Deep Structures: Some deep abdominal structures may be difficult to visualize clearly with ultrasound.
  • Operator Dependency: The quality of the images depends on the skill and experience of the technician performing the procedure.

In cases where ultrasound images are not clear or sufficient, other imaging techniques such as CT scans or MRI may be recommended.

Special Considerations for an Ultrasound of Abdomen

There are several special considerations to keep in mind when undergoing an ultrasound of abdomen:

  • Pregnancy: Ultrasound is generally considered safe during pregnancy, but it is important to inform the healthcare provider if you are pregnant.
  • Children: Ultrasound is often the preferred imaging method for children due to its safety and lack of radiation.
  • Allergies: Inform the healthcare provider if you have any allergies, especially to the gel used during the procedure.
  • Medical Conditions: Inform the healthcare provider about any medical conditions or recent surgeries that may affect the procedure.

Following these considerations can help ensure a smooth and effective ultrasound examination.

Conclusion

An ultrasound of abdomen is a crucial diagnostic tool that provides valuable insights into the health of various abdominal organs. Its non-invasive nature, lack of radiation, and real-time imaging capabilities make it a preferred choice for many diagnostic purposes. While it has some limitations, ultrasound remains a versatile and cost-effective option for evaluating a wide range of conditions. Understanding the procedure, preparation, and interpretation of results can help patients and healthcare providers make informed decisions about their health.

Related Terms:

  • whole abdomen ultrasound
  • abdomen ultrasound cpt
  • abdominal ultrasound results
  • abdomen ultrasound price
  • abdominal ultrasound what to expect
  • abdomen ultrasound protocol