Type Ii Acromion

Type Ii Acromion

Understanding the anatomy of the shoulder, particularly the Type II Acromion, is crucial for both medical professionals and individuals interested in shoulder health and function. The acromion is a bony projection of the scapula (shoulder blade) that plays a significant role in the structure and movement of the shoulder joint. This blog post delves into the details of the Type II Acromion, its significance, and its implications for shoulder health.

Anatomy of the Shoulder

The shoulder is a complex joint that allows for a wide range of motion. It consists of several bones, muscles, and ligaments that work together to facilitate movement. The primary bones involved in the shoulder joint are the humerus (upper arm bone), the scapula (shoulder blade), and the clavicle (collarbone). The acromion is a key part of the scapula, forming the highest point of the shoulder and providing attachment points for various muscles and ligaments.

Types of Acromion

The acromion can be classified into three main types based on its shape and structure. These types are crucial for understanding the biomechanics of the shoulder and the potential for shoulder impingement syndrome. The three types are:

  • Type I: Flat acromion
  • Type II: Curved acromion
  • Type III: Hooked acromion

Each type has distinct characteristics that can influence the risk of shoulder injuries and the effectiveness of treatments.

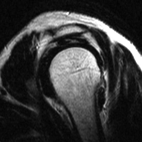
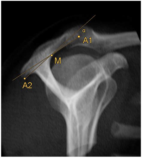
Understanding the Type II Acromion

The Type II Acromion, also known as the curved acromion, is characterized by its smooth, curved shape. This type of acromion is considered the most common and is often associated with a lower risk of shoulder impingement syndrome compared to the hooked acromion. The curved shape allows for better clearance of the rotator cuff tendons during shoulder movements, reducing the likelihood of impingement.

Significance of the Type II Acromion

The significance of the Type II Acromion lies in its role in shoulder biomechanics and its implications for shoulder health. Individuals with a Type II Acromion generally have a lower risk of developing shoulder impingement syndrome, a condition where the rotator cuff tendons become irritated and inflamed due to compression between the acromion and the humeral head. This condition can lead to pain, weakness, and limited range of motion in the shoulder.

Diagnosing Acromion Types

Diagnosing the type of acromion typically involves a combination of physical examination and imaging studies. Radiographs (X-rays) are commonly used to visualize the shape of the acromion. Magnetic Resonance Imaging (MRI) and Computed Tomography (CT) scans can provide more detailed images of the shoulder joint and surrounding structures, aiding in the diagnosis of acromion types and associated conditions.

Treatment Options for Shoulder Impingement Syndrome

For individuals with shoulder impingement syndrome, treatment options vary depending on the severity of the condition and the type of acromion. Conservative treatments often include:

  • Rest and activity modification
  • Physical therapy to strengthen the rotator cuff muscles and improve shoulder mechanics
  • Non-steroidal anti-inflammatory drugs (NSAIDs) to reduce pain and inflammation
  • Corticosteroid injections to alleviate symptoms

In cases where conservative treatments are ineffective, surgical intervention may be necessary. Surgical options include:

  • Subacromial decompression: A procedure to remove bone spurs and inflamed tissue from the underside of the acromion
  • Acromioplasty: Reshaping the acromion to create more space for the rotator cuff tendons

Preventing Shoulder Injuries

Preventing shoulder injuries, particularly in individuals with a Type II Acromion, involves maintaining good shoulder health and biomechanics. Key strategies include:

  • Regular exercise to strengthen the rotator cuff muscles and improve shoulder stability
  • Proper warm-up and cool-down routines before and after physical activities
  • Maintaining good posture to reduce stress on the shoulder joint
  • Avoiding repetitive overhead movements that can lead to impingement

📝 Note: It is essential to consult with a healthcare professional for personalized advice on preventing shoulder injuries and managing shoulder conditions.

Conclusion

The Type II Acromion plays a crucial role in the structure and function of the shoulder joint. Its curved shape provides better clearance for the rotator cuff tendons, reducing the risk of shoulder impingement syndrome. Understanding the anatomy and significance of the Type II Acromion is essential for medical professionals and individuals seeking to maintain shoulder health. By implementing preventive measures and seeking appropriate treatment when necessary, individuals can minimize the risk of shoulder injuries and maintain optimal shoulder function.

Related Terms:

  • type 1 vs 2 acromion
  • type ii acromion cause
  • type ii acromion morphology
  • type ii acromion shoulder
  • impingement
  • type ii acromion meaning