Transitional Epithelium Is Found

Transitional Epithelium Is Found

The human body is a marvel of complexity, composed of various tissues that serve distinct functions. Among these, epithelial tissue plays a crucial role in protecting and lining the surfaces of the body. One specific type, transitional epithelium, is found in areas that experience significant stretching and contraction. This tissue is uniquely adapted to accommodate changes in volume and pressure, making it essential for the proper functioning of organs like the urinary bladder and ureters.

Understanding Epithelial Tissue

Epithelial tissue is one of the four basic types of animal tissue, along with connective, muscle, and nervous tissue. It covers the body’s surfaces, lines hollow organs and cavities, and forms glands. Epithelial tissue is characterized by its cells being closely packed together with little intercellular substance, forming a continuous sheet. This tissue serves several vital functions, including protection, absorption, secretion, and sensation.

Types of Epithelial Tissue

Epithelial tissue is classified based on the shape of the cells and the number of layers. The main types include:

  • Simple Epithelium: Consists of a single layer of cells.
  • Stratified Epithelium: Consists of multiple layers of cells.
  • Pseudostratified Epithelium: Appears to have multiple layers but is actually a single layer of cells.

Each type of epithelial tissue has specialized functions and is found in different parts of the body.

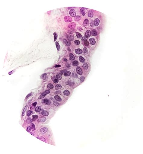
Transitional Epithelium: Structure and Function

Transitional epithelium, also known as urothelium, is a specialized type of stratified epithelium. It is uniquely adapted to stretch and contract, allowing it to accommodate changes in volume and pressure. This tissue is transitional epithelium is found primarily in the urinary system, including the renal pelvis, ureters, urinary bladder, and part of the urethra.

The structure of transitional epithelium is characterized by several key features:

  • Multiple Layers: It consists of multiple layers of cells, which allow it to stretch and contract.
  • Superficial Cells: The outermost layer of cells, known as umbrella cells, are large and dome-shaped, providing a protective barrier.
  • Intermediate Cells: These cells are smaller and more rounded, located beneath the superficial cells.
  • Basal Cells: The deepest layer of cells, which are cuboidal or columnar in shape and rest on a basement membrane.

Transitional epithelium is designed to withstand the mechanical stress of stretching and contracting, making it ideal for organs that need to expand and contract frequently. For example, the urinary bladder can hold varying amounts of urine, and transitional epithelium allows it to stretch to accommodate this volume without rupturing.

Role of Transitional Epithelium in the Urinary System

The urinary system is responsible for filtering waste products from the blood, producing urine, and excreting it from the body. Transitional epithelium plays a critical role in this process by lining the organs involved in urine storage and transport.

The key organs where transitional epithelium is found include:

  • Renal Pelvis: The funnel-shaped structure that collects urine from the kidneys and directs it to the ureters.
  • Ureters: The tubes that transport urine from the kidneys to the urinary bladder.
  • Urinary Bladder: The organ that stores urine until it is excreted from the body.
  • Urethra: The tube that carries urine from the bladder to the outside of the body.

In the urinary bladder, transitional epithelium allows the organ to expand as it fills with urine and contract as it empties. This elasticity is essential for the bladder's function and helps prevent damage from the pressure changes that occur during filling and emptying.

Adaptations of Transitional Epithelium

Transitional epithelium has several adaptations that make it well-suited for its role in the urinary system. These adaptations include:

  • Elasticity: The ability to stretch and contract, allowing the tissue to accommodate changes in volume and pressure.
  • Protection: The presence of umbrella cells provides a protective barrier against mechanical stress and chemical irritation.
  • Impermeability: The tight junctions between cells prevent the passage of water and solutes, ensuring that urine does not leak into the surrounding tissues.

These adaptations enable transitional epithelium to function effectively in the dynamic environment of the urinary system, where it must withstand frequent changes in volume and pressure.

Clinical Significance of Transitional Epithelium

Transitional epithelium is not only crucial for the normal functioning of the urinary system but also has clinical significance. Disorders affecting this tissue can lead to various health issues, including:

  • Urinary Tract Infections (UTIs): Infections that can affect the bladder, ureters, and kidneys, often caused by bacteria.
  • Bladder Cancer: Malignant tumors that can develop in the transitional epithelium of the bladder.
  • Interstitial Cystitis: A chronic condition characterized by bladder pain and discomfort, often associated with inflammation of the bladder wall.

Understanding the structure and function of transitional epithelium is essential for diagnosing and treating these conditions. For example, bladder cancer often originates in the transitional epithelium, and early detection can significantly improve outcomes.

Diagnostic Techniques for Transitional Epithelium

Several diagnostic techniques are used to evaluate the health of transitional epithelium and detect any abnormalities. These techniques include:

  • Cystoscopy: A procedure that involves inserting a thin, flexible tube with a camera into the bladder to visualize the transitional epithelium and detect any abnormalities.
  • Urinalysis: A laboratory test that examines urine for the presence of blood, bacteria, or other indicators of infection or disease.
  • Biopsy: A procedure that involves removing a small sample of tissue from the transitional epithelium for microscopic examination.

These diagnostic techniques help healthcare providers identify and treat conditions affecting transitional epithelium, ensuring optimal urinary system function.

Treatment Options for Conditions Affecting Transitional Epithelium

Treatment options for conditions affecting transitional epithelium vary depending on the specific disorder and its severity. Common treatment approaches include:

  • Antibiotics: Used to treat urinary tract infections by eliminating the bacteria causing the infection.
  • Chemotherapy and Radiation Therapy: Used to treat bladder cancer by destroying cancer cells and preventing their spread.
  • Medications: Used to manage symptoms of interstitial cystitis, such as pain and discomfort.

In some cases, surgical intervention may be necessary to remove damaged or diseased tissue and restore normal function. For example, transurethral resection of bladder tumor (TURBT) is a procedure used to remove bladder tumors and obtain tissue samples for further analysis.

Preventive Measures for Maintaining Healthy Transitional Epithelium

Maintaining the health of transitional epithelium is essential for preventing urinary system disorders. Several preventive measures can help ensure the proper functioning of this tissue:

  • Hydration: Drinking plenty of water helps flush out bacteria and toxins from the urinary system, reducing the risk of infections.
  • Good Hygiene: Practicing good hygiene, such as wiping from front to back after using the toilet, can help prevent the spread of bacteria to the urinary tract.
  • Regular Check-ups: Regular medical check-ups and screenings can help detect any abnormalities in the transitional epithelium early, allowing for prompt treatment.

By following these preventive measures, individuals can maintain the health of their transitional epithelium and reduce the risk of urinary system disorders.

📝 Note: Always consult with a healthcare provider for personalized advice on maintaining urinary system health.

Transitional epithelium is a vital component of the urinary system, playing a crucial role in protecting and lining the organs involved in urine storage and transport. Its unique structure and adaptations enable it to withstand the mechanical stress of stretching and contracting, making it essential for the proper functioning of the urinary bladder and other organs. Understanding the structure, function, and clinical significance of transitional epithelium is essential for diagnosing and treating conditions affecting the urinary system. By maintaining the health of transitional epithelium through preventive measures, individuals can reduce the risk of urinary system disorders and ensure optimal urinary system function.

Related Terms:

  • transitional epithelium is specialized to
  • transitional epithelium function and location
  • transitional epithelium relaxed or stretched
  • transitional epithelial line diagram
  • does transitional epithelium have cilia
  • transitional epithelial tissue characteristics