Tibial And Fibular Fractures

Tibial And Fibular Fractures

Tibial and fibular fractures are among the most common types of lower leg injuries, often resulting from high-impact trauma such as car accidents, sports injuries, or falls. These fractures can range from simple, non-displaced breaks to complex, comminuted fractures that require extensive medical intervention. Understanding the causes, symptoms, diagnosis, and treatment options for tibial and fibular fractures is crucial for both medical professionals and patients.

Understanding Tibial and Fibular Fractures

Tibial and fibular fractures involve breaks in the tibia (shinbone) and fibula (the smaller bone in the lower leg). The tibia is the larger and stronger of the two bones, bearing most of the body's weight, while the fibula provides stability and support. Fractures can occur in various parts of these bones, including the upper third, middle third, and lower third.

Causes of Tibial and Fibular Fractures

Tibial and fibular fractures can result from a variety of causes, including:

  • High-Impact Trauma: Car accidents, motorcycle accidents, and falls from significant heights are common causes of these fractures.
  • Sports Injuries: Contact sports like football, soccer, and basketball, as well as high-impact activities like skiing and snowboarding, can lead to tibial and fibular fractures.
  • Stress Fractures: Repetitive stress on the bones, often seen in athletes and military personnel, can cause small cracks that may develop into full fractures.
  • Osteoporosis: Weakened bones due to conditions like osteoporosis can increase the risk of fractures from minor injuries.

Symptoms of Tibial and Fibular Fractures

The symptoms of tibial and fibular fractures can vary depending on the severity of the injury. Common symptoms include:

  • Pain: Severe pain in the lower leg, often worsening with movement.
  • Swelling: Rapid swelling and bruising around the injured area.
  • Deformity: Visible deformity or misalignment of the leg.
  • Inability to Bear Weight: Difficulty or inability to put weight on the affected leg.
  • Numbness or Tingling: In some cases, numbness or tingling in the foot or toes may occur.

Diagnosis of Tibial and Fibular Fractures

Diagnosing tibial and fibular fractures typically involves a combination of physical examination and imaging tests. The diagnostic process may include:

  • Physical Examination: A thorough examination of the injured leg to assess pain, swelling, and deformity.
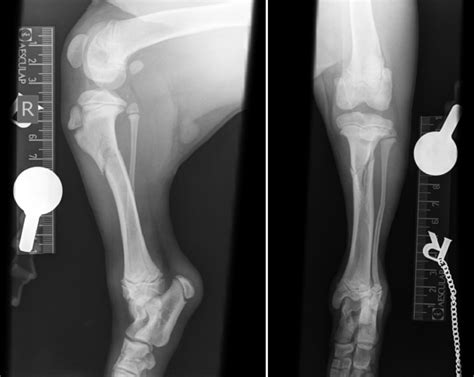
  • X-Rays: Standard X-rays to visualize the bones and determine the location and severity of the fracture.
  • CT Scans: For more detailed images, especially in complex fractures.
  • MRI Scans: To assess soft tissue damage and evaluate the extent of the injury.

Treatment Options for Tibial and Fibular Fractures

The treatment of tibial and fibular fractures depends on the type and severity of the fracture. Common treatment options include:

  • Non-Surgical Treatment:
    • Immobilization: Using a cast, splint, or brace to keep the bone in place while it heals.
    • Pain Management: Medications to manage pain and inflammation.
    • Physical Therapy: Exercises to restore range of motion, strength, and flexibility.
  • Surgical Treatment:
    • Open Reduction and Internal Fixation (ORIF): Surgical procedure to realign the bone fragments and secure them with plates, screws, or rods.
    • Intramedullary Nailing: Inserting a rod into the marrow cavity of the bone to stabilize the fracture.
    • External Fixation: Using an external frame to hold the bone in place while it heals.

Recovery and Rehabilitation

Recovery from tibial and fibular fractures can be a lengthy process, depending on the severity of the injury and the type of treatment. Key aspects of recovery and rehabilitation include:

  • Immobilization Period: The initial phase where the leg is kept immobile to allow the bone to heal.
  • Gradual Weight-Bearing: Slowly increasing the amount of weight placed on the affected leg as healing progresses.
  • Physical Therapy: Exercises to improve strength, flexibility, and range of motion.
  • Follow-Up Care: Regular check-ups with the healthcare provider to monitor healing and adjust the treatment plan as needed.

πŸ“ Note: The recovery process can vary significantly from person to person. It is essential to follow the healthcare provider's instructions and attend all follow-up appointments.

Complications of Tibial and Fibular Fractures

While most tibial and fibular fractures heal without complications, some patients may experience issues such as:

  • Non-Union: The bone fails to heal properly, resulting in a persistent fracture.
  • Malunion: The bone heals in a misaligned position, which can affect mobility and function.
  • Infection: Risk of infection, especially in cases requiring surgery.
  • Compartment Syndrome: A serious condition where pressure builds up within the muscles, potentially leading to tissue damage.
  • Nerve or Blood Vessel Damage: Injury to nearby nerves or blood vessels can occur, affecting sensation and circulation.

Prevention of Tibial and Fibular Fractures

While not all tibial and fibular fractures can be prevented, certain measures can reduce the risk:

  • Wear Protective Gear: Use appropriate protective equipment during sports and high-impact activities.
  • Maintain Bone Health: Ensure adequate calcium and vitamin D intake to maintain bone strength.
  • Strengthen Muscles: Engage in regular exercise to strengthen the muscles supporting the lower leg.
  • Avoid High-Risk Activities: Be cautious when engaging in activities that pose a high risk of falls or injuries.

πŸ“ Note: Regular check-ups and screenings for conditions like osteoporosis can help identify and manage risk factors for fractures.

Special Considerations for Tibial and Fibular Fractures

Certain populations may require special considerations when dealing with tibial and fibular fractures. These include:

  • Elderly Patients: Older adults may have weaker bones and slower healing times, requiring more cautious treatment and rehabilitation.
  • Athletes: Professional athletes may need specialized rehabilitation programs to return to their sport safely and effectively.
  • Children: Growing bones may heal differently, and special considerations are needed to ensure proper growth and development.

Case Studies and Real-Life Examples

To better understand the impact and treatment of tibial and fibular fractures, let's examine a few real-life examples:

  • Case Study 1: A 30-year-old soccer player sustains a tibial fracture during a match. The player undergoes surgical treatment with intramedullary nailing and completes a comprehensive rehabilitation program, returning to competitive play within six months.
  • Case Study 2: An 80-year-old woman falls at home and suffers a fibular fracture. She is treated non-surgically with a cast and physical therapy, making a full recovery within three months.
  • Case Study 3: A 25-year-old motorcyclist is involved in a high-speed accident, resulting in a complex tibial and fibular fracture. The patient undergoes multiple surgeries, including open reduction and internal fixation, and requires extensive rehabilitation to regain mobility.

πŸ“ Note: Each case is unique, and treatment plans should be tailored to the individual's specific needs and circumstances.

Future Directions in Tibial and Fibular Fracture Treatment

The field of orthopedics is continually evolving, with new technologies and techniques emerging to improve the treatment of tibial and fibular fractures. Some promising advancements include:

  • Biological Enhancements: Use of growth factors and stem cells to promote bone healing.
  • Advanced Implants: Development of more durable and biocompatible materials for surgical implants.
  • Minimally Invasive Techniques: Less invasive surgical methods to reduce recovery time and complications.
  • Personalized Medicine: Tailoring treatment plans based on individual genetic and biological factors.

Comparative Analysis of Tibial and Fibular Fracture Treatments

When comparing different treatment options for tibial and fibular fractures, it is essential to consider factors such as fracture type, patient age, overall health, and activity level. The following table provides a comparative analysis of common treatment methods:

Treatment Method Advantages Disadvantages Typical Recovery Time
Non-Surgical (Cast/Brace) Non-invasive, lower cost, suitable for simple fractures Longer immobilization period, potential for malunion 6-12 weeks
Open Reduction and Internal Fixation (ORIF) Stable fixation, allows for early mobilization Invasive surgery, risk of infection, longer recovery 3-6 months
Intramedullary Nailing Minimally invasive, strong fixation, suitable for complex fractures Requires surgery, potential for malalignment 3-6 months
External Fixation Allows for soft tissue healing, adjustable Bulky and visible, potential for pin site infections 3-6 months

πŸ“ Note: The choice of treatment should be made in consultation with a healthcare provider, considering the individual's specific needs and circumstances.

Tibial and fibular fractures are complex injuries that require careful diagnosis, treatment, and rehabilitation. Understanding the causes, symptoms, and treatment options for these fractures is essential for both medical professionals and patients. By following appropriate treatment plans and engaging in comprehensive rehabilitation, individuals can achieve successful recovery and return to their daily activities.

Related Terms:

  • compound tibial fibular fracture
  • tibial fibula fracture treatment
  • tibia fibula fracture surgery
  • tibial fibula fracture symptoms
  • distal tibial and fibular fractures
  • tibia and fibula left leg