Thyroid Gland Colloid Cyst

Thyroid Gland Colloid Cyst

The thyroid gland is a small, butterfly-shaped organ located at the base of the neck, just below the Adam's apple. It plays a crucial role in regulating various metabolic processes in the body, including heart rate, body temperature, and weight management. One of the conditions that can affect the thyroid gland is the formation of a Thyroid Gland Colloid Cyst. This condition, while generally benign, can cause discomfort and other symptoms if left untreated. Understanding the causes, symptoms, diagnosis, and treatment options for a Thyroid Gland Colloid Cyst is essential for anyone experiencing related issues.

Understanding Thyroid Gland Colloid Cysts

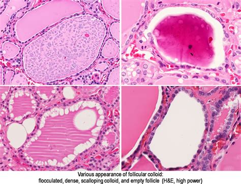
A Thyroid Gland Colloid Cyst is a fluid-filled sac that develops within the thyroid gland. These cysts are typically benign and are often filled with a colloid substance, which is a thick, gelatinous material produced by the thyroid gland. Colloid cysts can vary in size and may not always cause symptoms, but when they do, they can lead to discomfort and other health issues.

Causes of Thyroid Gland Colloid Cysts

The exact cause of Thyroid Gland Colloid Cysts is not fully understood, but several factors are believed to contribute to their formation:

  • Thyroid Nodules: These are lumps that can develop within the thyroid gland. Some thyroid nodules can become cystic and fill with colloid material.
  • Inflammation: Chronic inflammation of the thyroid gland, such as in conditions like Hashimoto's thyroiditis, can lead to the formation of cysts.
  • Iodine Deficiency: Inadequate iodine intake can affect thyroid function and potentially lead to the development of cysts.
  • Genetic Factors: There may be a genetic predisposition to developing thyroid cysts, although this is less common.

Symptoms of Thyroid Gland Colloid Cysts

Many people with Thyroid Gland Colloid Cysts do not experience any symptoms. However, when symptoms do occur, they can include:

  • Neck Swelling: A noticeable lump or swelling in the neck.
  • Difficulty Swallowing: Feeling like there is a lump in the throat that makes swallowing difficult.
  • Hoarseness: Changes in the voice, including hoarseness or a raspy voice.
  • Pain: Discomfort or pain in the neck, which may radiate to the ears or jaw.
  • Thyroid Dysfunction: In some cases, the cyst can affect thyroid function, leading to symptoms of hyperthyroidism or hypothyroidism.

Diagnosing Thyroid Gland Colloid Cysts

Diagnosing a Thyroid Gland Colloid Cyst typically involves a combination of physical examination and diagnostic tests. The process may include:

  • Physical Examination: A healthcare provider will examine the neck for any lumps or swelling.
  • Ultrasound: This imaging test uses sound waves to create detailed images of the thyroid gland, helping to identify the presence and characteristics of the cyst.
  • Blood Tests: These tests measure thyroid hormone levels to determine if the cyst is affecting thyroid function.
  • Fine-Needle Aspiration (FNA): This procedure involves inserting a thin needle into the cyst to withdraw a sample of the fluid for analysis. This can help confirm the diagnosis and rule out any malignant conditions.

Treatment Options for Thyroid Gland Colloid Cysts

The treatment for a Thyroid Gland Colloid Cyst depends on the size of the cyst, the presence of symptoms, and the impact on thyroid function. Treatment options may include:

  • Observation: Small, asymptomatic cysts may not require treatment and can be monitored with regular ultrasounds.
  • Medication: In some cases, medications may be prescribed to manage symptoms or address any underlying thyroid dysfunction.
  • Aspiration: This procedure involves draining the fluid from the cyst using a needle. It can provide immediate relief from symptoms but may need to be repeated if the cyst refills.
  • Surgery: For larger cysts or those causing significant symptoms, surgical removal of the cyst may be recommended. This can be done through a procedure called a thyroidectomy, which involves removing part or all of the thyroid gland.

Risks and Complications

While Thyroid Gland Colloid Cysts are generally benign, there are some risks and complications to be aware of:

  • Infection: Cysts can become infected, leading to pain, swelling, and the need for antibiotic treatment.
  • Bleeding: Aspiration or surgery can result in bleeding, which may require additional medical intervention.
  • Recurrence: Cysts can recur after aspiration or surgery, although this is less common with surgical removal.
  • Thyroid Dysfunction: Treatment, especially surgery, can affect thyroid function and may require hormone replacement therapy.

📌 Note: It is important to consult with a healthcare provider to determine the best course of treatment for a Thyroid Gland Colloid Cyst. Regular follow-ups and monitoring are essential to manage any potential complications.

Living with a Thyroid Gland Colloid Cyst

Living with a Thyroid Gland Colloid Cyst can be manageable with the right care and treatment. Here are some tips for coping with this condition:

  • Regular Check-ups: Schedule regular appointments with your healthcare provider to monitor the cyst and thyroid function.
  • Healthy Lifestyle: Maintain a balanced diet and engage in regular physical activity to support overall health.
  • Medication Management: If prescribed, take any medications as directed to manage symptoms and thyroid function.
  • Support Network: Connect with support groups or online communities for people with thyroid conditions to share experiences and advice.

Preventing Thyroid Gland Colloid Cysts

While there is no guaranteed way to prevent Thyroid Gland Colloid Cysts, certain lifestyle choices can help reduce the risk:

  • Balanced Diet: Ensure adequate iodine intake through a balanced diet, including foods like seafood, dairy products, and iodized salt.
  • Regular Exercise: Engage in regular physical activity to maintain overall health and support thyroid function.
  • Avoid Smoking: Smoking can increase the risk of thyroid disorders, so avoiding tobacco is beneficial.
  • Manage Stress: Chronic stress can affect thyroid function, so practicing stress-reduction techniques like meditation or yoga can be helpful.

Thyroid Gland Colloid Cysts are a common condition that can affect thyroid function and cause discomfort. Understanding the causes, symptoms, diagnosis, and treatment options is crucial for managing this condition effectively. Regular monitoring and a healthy lifestyle can help prevent complications and improve overall well-being. If you suspect you have a Thyroid Gland Colloid Cyst, consult with a healthcare provider for a proper evaluation and treatment plan.

Related Terms:

  • thyroid colloid cyst treatment
  • are colloid cysts dangerous
  • colloid cyst thyroid symptoms
  • thyroid colloid cyst cancer treatment
  • thyroid colloid cyst cancer
  • thyroid colloid cyst management