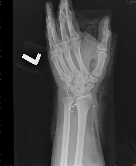
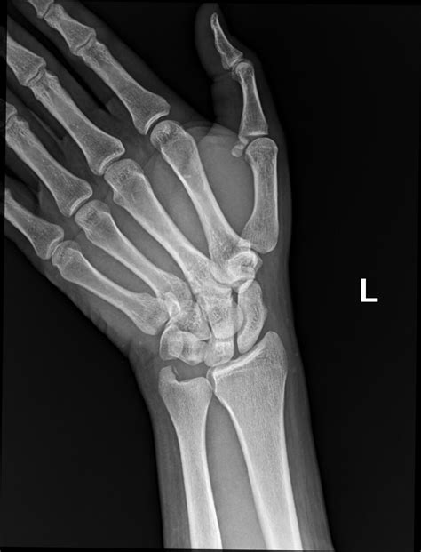
Styloid Process Ulna

Styloid Process Ulna

The human body is a marvel of complexity and intricacy, with each bone and structure serving a specific purpose. Among the many anatomical features, the Styloid Process Ulna is a lesser-known but significant component of the forearm. This small, pointed projection on the ulna bone plays a crucial role in the stability and movement of the wrist and hand. Understanding the Styloid Process Ulna and its functions can provide valuable insights into the mechanics of the human body and the potential issues that can arise from its dysfunction.

Anatomy of the Styloid Process Ulna

The Styloid Process Ulna is a bony projection located at the distal end of the ulna, one of the two bones in the forearm. It is situated on the medial side of the wrist, opposite the styloid process of the radius. This process serves as an attachment site for several ligaments and tendons, which are essential for the stability and movement of the wrist joint.

Function of the Styloid Process Ulna

The primary function of the Styloid Process Ulna is to provide a point of attachment for various ligaments and tendons. These structures include:

  • The triangular fibrocartilage complex (TFCC), which stabilizes the distal radioulnar joint and helps distribute forces across the wrist.
  • The ulnar collateral ligament, which provides medial stability to the wrist.
  • The flexor carpi ulnaris tendon, which aids in wrist flexion and ulnar deviation.

By serving as an anchor for these structures, the Styloid Process Ulna contributes to the overall stability and functionality of the wrist and hand.

Clinical Significance of the Styloid Process Ulna

The Styloid Process Ulna can be involved in various clinical conditions, including fractures, dislocations, and degenerative changes. Understanding these conditions is essential for proper diagnosis and treatment.

Fractures of the Styloid Process Ulna

Fractures of the Styloid Process Ulna are relatively rare but can occur due to trauma, such as a fall on an outstretched hand or a direct blow to the wrist. These fractures can be challenging to diagnose due to their small size and the overlap of other bony structures on radiographs. However, they can cause significant pain and instability in the wrist joint.

Degenerative Changes

Degenerative changes in the Styloid Process Ulna can occur due to chronic stress or repetitive movements, leading to conditions such as ulnar impaction syndrome. This syndrome is characterized by pain and swelling in the ulnar side of the wrist, often exacerbated by activities that involve gripping or twisting motions.

Styloid Process Ulna Impingement

Impingement of the Styloid Process Ulna can occur when the process becomes enlarged or misaligned, leading to compression of nearby structures. This can cause pain, swelling, and limited range of motion in the wrist. Impingement is often associated with conditions such as rheumatoid arthritis or gout, which can cause inflammation and bone spurs.

Diagnosis and Treatment of Styloid Process Ulna Conditions

Diagnosing conditions related to the Styloid Process Ulna typically involves a combination of clinical examination, imaging studies, and, in some cases, arthroscopy. Treatment options vary depending on the severity and underlying cause of the condition.

Clinical Examination

A thorough clinical examination is the first step in diagnosing conditions related to the Styloid Process Ulna. This may include:

  • Assessing the range of motion in the wrist and hand.
  • Evaluating the stability of the wrist joint.
  • Palpating the Styloid Process Ulna for tenderness or swelling.
  • Performing specific tests, such as the ulnar deviation test, to assess for impingement or instability.

Imaging Studies

Imaging studies, such as X-rays, CT scans, and MRI, can provide detailed information about the Styloid Process Ulna and surrounding structures. These studies can help identify fractures, degenerative changes, and other abnormalities.

Arthroscopy

Arthroscopy is a minimally invasive procedure that allows for direct visualization of the wrist joint and surrounding structures. This can be particularly useful in diagnosing and treating conditions related to the Styloid Process Ulna, such as impingement or TFCC tears.

Treatment Options

Treatment options for conditions related to the Styloid Process Ulna may include:

  • Conservative Management: This may include rest, ice, compression, and elevation (RICE), as well as nonsteroidal anti-inflammatory drugs (NSAIDs) to reduce pain and inflammation.
  • Physical Therapy: Exercises to improve strength, flexibility, and range of motion in the wrist and hand.
  • Corticosteroid Injections: Injections of corticosteroids into the affected area to reduce inflammation and pain.
  • Surgical Intervention: In severe cases, surgery may be necessary to repair or remove the Styloid Process Ulna or to address underlying conditions, such as TFCC tears or ulnar impaction syndrome.

📝 Note: It is essential to consult with a healthcare professional for an accurate diagnosis and appropriate treatment plan.

Prevention of Styloid Process Ulna Injuries

Preventing injuries to the Styloid Process Ulna involves taking steps to protect the wrist and hand from trauma and overuse. Some preventive measures include:

  • Wearing protective gear during activities that pose a risk of injury, such as sports or manual labor.
  • Using proper technique and ergonomics to minimize stress on the wrist and hand.
  • Taking regular breaks and avoiding repetitive motions that can lead to overuse injuries.
  • Maintaining overall fitness and strength to support the wrist and hand.

Conclusion

The Styloid Process Ulna is a critical component of the forearm, playing a vital role in the stability and movement of the wrist and hand. Understanding its anatomy, function, and clinical significance can help in the diagnosis and treatment of various conditions related to this structure. By taking preventive measures and seeking appropriate medical care, individuals can maintain the health and functionality of the Styloid Process Ulna and the surrounding structures.

Related Terms:

  • where is ulnar styloid located
  • styloid process of ulna function
  • styloid process of ulna palpation
  • what attaches to ulnar styloid
  • ulnar styloid location
  • ulnar styloid process surface anatomy