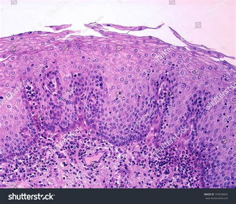
Stratified Squamous Non Keratinized

Stratified Squamous Non Keratinized

Understanding the intricacies of oral health involves delving into the various types of tissues that make up the oral cavity. One of the most critical types of tissue is the stratified squamous non-keratinized epithelium, which plays a pivotal role in maintaining the health and functionality of the mouth. This type of epithelium is found in areas of the oral cavity that require flexibility and moisture, such as the inner cheeks, the underside of the tongue, and the soft palate.

What is Stratified Squamous Non-Keratinized Epithelium?

The stratified squamous non-keratinized epithelium is a type of epithelial tissue characterized by its multiple layers of cells. The term "stratified" refers to the layered structure, "squamous" denotes the flat, scale-like shape of the cells, and "non-keratinized" indicates the absence of keratin, a protein that provides rigidity and waterproofing in other types of epithelial tissue.

This type of epithelium is essential for the oral cavity because it allows for the movement and flexibility needed for speaking, eating, and other oral functions. The non-keratinized nature of these cells means they are more permeable to water and nutrients, which is crucial for maintaining the health of the oral mucosa.

Structure and Function

The stratified squamous non-keratinized epithelium is composed of several layers:

  • Basal Layer: This is the deepest layer, where new cells are continuously produced through mitosis.
  • Spinous Layer: Above the basal layer, cells begin to differentiate and take on a more flattened shape.
  • Granular Layer: In some areas, a granular layer may be present, where cells contain granules that help in the differentiation process.
  • Superficial Layer: The outermost layer consists of flattened, non-keratinized cells that are eventually shed and replaced by new cells from the basal layer.

These layers work together to provide a barrier that protects the underlying tissues from mechanical stress, chemical irritation, and microbial invasion. The non-keratinized nature of the cells allows for the absorption of water and nutrients, which is essential for maintaining the health and hydration of the oral mucosa.

Location in the Oral Cavity

The stratified squamous non-keratinized epithelium is found in specific areas of the oral cavity where flexibility and moisture are crucial. These areas include:

  • Inner cheeks (buccal mucosa)
  • Underside of the tongue (ventral surface)
  • Soft palate
  • Floor of the mouth
  • Lips (inner surface)

These locations require a tissue type that can withstand the constant movement and friction associated with eating, speaking, and other oral activities. The non-keratinized nature of the epithelium in these areas ensures that the tissue remains flexible and hydrated, which is essential for proper function.

Clinical Significance

The stratified squamous non-keratinized epithelium is clinically significant for several reasons. Understanding its structure and function is crucial for diagnosing and treating various oral conditions. For example, changes in the epithelium can indicate the presence of oral diseases such as:

  • Oral lichen planus
  • Oral candidiasis
  • Oral leukoplakia
  • Oral cancer

In these conditions, the epithelium may exhibit abnormalities such as inflammation, ulceration, or dysplasia, which can be detected through clinical examination and biopsy. Early detection and treatment of these conditions are essential for preventing complications and improving patient outcomes.

Diagnostic Techniques

Diagnosing conditions affecting the stratified squamous non-keratinized epithelium involves several techniques:

  • Clinical Examination: A thorough visual and tactile examination of the oral cavity can reveal abnormalities in the epithelium.
  • Biopsy: A small sample of the affected tissue is taken for histopathological examination to determine the presence of disease.
  • Imaging Studies: In some cases, imaging techniques such as X-rays, CT scans, or MRI may be used to assess the extent of the disease and its impact on surrounding structures.

These diagnostic techniques help healthcare providers identify the underlying cause of the abnormality and develop an appropriate treatment plan.

Treatment Options

Treatment for conditions affecting the stratified squamous non-keratinized epithelium depends on the underlying cause and the severity of the disease. Common treatment options include:

  • Medications: Topical or systemic medications may be prescribed to treat infections, inflammation, or other symptoms.
  • Surgery: In some cases, surgical intervention may be necessary to remove affected tissue or repair damage.
  • Lifestyle Modifications: Changes in diet, oral hygiene practices, and other lifestyle factors can help prevent recurrence and improve overall oral health.

Early intervention and appropriate treatment are essential for managing conditions affecting the stratified squamous non-keratinized epithelium and preventing complications.

Prevention Strategies

Preventing conditions that affect the stratified squamous non-keratinized epithelium involves maintaining good oral hygiene and adopting healthy lifestyle habits. Some key prevention strategies include:

  • Regular Dental Check-ups: Regular visits to the dentist can help detect early signs of disease and prevent complications.
  • Oral Hygiene: Brushing and flossing regularly, along with using mouthwash, can help maintain the health of the oral mucosa.
  • Healthy Diet: A balanced diet rich in vitamins and minerals can support the health of the oral epithelium.
  • Avoiding Tobacco and Alcohol: Limiting or avoiding tobacco and alcohol can reduce the risk of oral diseases.

By following these prevention strategies, individuals can maintain the health of their stratified squamous non-keratinized epithelium and reduce the risk of oral diseases.

📝 Note: Always consult with a healthcare provider for personalized advice on maintaining oral health and preventing diseases.

Common Conditions Affecting Stratified Squamous Non-Keratinized Epithelium

Several conditions can affect the stratified squamous non-keratinized epithelium, leading to various symptoms and complications. Some of the most common conditions include:

Condition Symptoms Treatment
Oral Lichen Planus White streaks or ulcers in the mouth, burning sensation Topical corticosteroids, immunosuppressants
Oral Candidiasis White patches or ulcers, redness, pain Antifungal medications, oral hygiene
Oral Leukoplakia White patches that cannot be scraped off, may be precancerous Monitoring, biopsy, surgical removal if necessary
Oral Cancer Persistent ulcers, lumps, pain, difficulty swallowing Surgery, radiation therapy, chemotherapy

Early detection and treatment of these conditions are crucial for preventing complications and improving patient outcomes.

Understanding the structure, function, and clinical significance of the stratified squamous non-keratinized epithelium is essential for maintaining oral health and preventing diseases. By adopting healthy lifestyle habits, regular dental check-ups, and appropriate treatment, individuals can ensure the health of their oral mucosa and overall well-being.

Related Terms:

  • where is stratified squamous found
  • stratified squamous non keratinized function
  • stratified squamous epithelium without keratin
  • stratified squamous location
  • stratified squamous non keratinized vs
  • pictures of stratified squamous epithelium