Stratified Squamous Keratinizing

Stratified Squamous Keratinizing

Understanding the intricacies of Stratified Squamous Keratinizing epithelium is crucial for anyone involved in the fields of dermatology, pathology, or general medicine. This type of epithelium is found in various parts of the body, including the skin, oral cavity, esophagus, and vagina. Its unique structure and function make it a fascinating subject of study. This blog post will delve into the anatomy, physiology, and clinical significance of Stratified Squamous Keratinizing epithelium, providing a comprehensive overview for both medical professionals and curious readers.

Anatomy of Stratified Squamous Keratinizing Epithelium

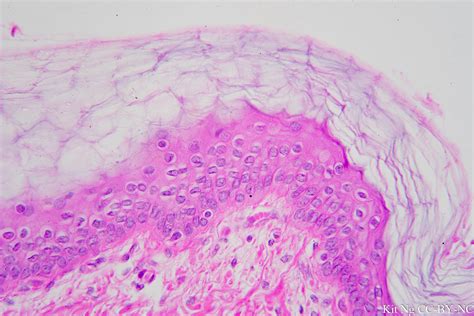
The Stratified Squamous Keratinizing epithelium is characterized by its multiple layers of cells, which provide strength and protection to the underlying tissues. The layers are typically divided into four main types:

  • Basal Layer: This is the deepest layer, composed of cuboidal or columnar cells that are actively dividing. These cells continuously produce new cells that migrate upward.
  • Spinous Layer: Also known as the prickle cell layer, this layer contains cells that are connected by desmosomes, giving them a spiny appearance under the microscope.
  • Granular Layer: This layer is characterized by the presence of keratohyalin granules, which are involved in the keratinization process.
  • Cornified Layer: The outermost layer, composed of dead, keratinized cells that form a protective barrier against environmental stressors.

This layered structure is essential for the epithelium's primary functions, which include protection, secretion, and absorption.

Physiology of Stratified Squamous Keratinizing Epithelium

The physiology of Stratified Squamous Keratinizing epithelium revolves around its ability to undergo keratinization, a process that involves the transformation of living cells into dead, keratin-filled cells. This process is crucial for maintaining the integrity of the epithelium and protecting the body from external threats.

Keratinization begins in the granular layer, where keratohyalin granules are formed. These granules contain proteins that help in the formation of keratin filaments. As the cells move upward, they lose their nuclei and other organelles, becoming flattened and filled with keratin. This results in the formation of the cornified layer, which is highly resistant to mechanical stress and chemical damage.

In addition to keratinization, the Stratified Squamous Keratinizing epithelium also plays a role in secretion and absorption. For example, the epithelium of the oral cavity secretes mucus, which helps in lubrication and protection. Similarly, the epithelium of the esophagus absorbs water and electrolytes, aiding in digestion.

Clinical Significance of Stratified Squamous Keratinizing Epithelium

The clinical significance of Stratified Squamous Keratinizing epithelium lies in its role in various pathological conditions. Understanding the structure and function of this epithelium is essential for diagnosing and managing diseases that affect it.

Some of the common conditions associated with Stratified Squamous Keratinizing epithelium include:

  • Skin Diseases: Conditions such as psoriasis, eczema, and skin cancer often involve abnormalities in the Stratified Squamous Keratinizing epithelium. For example, in psoriasis, there is an accelerated turnover of epidermal cells, leading to the formation of thick, scaly plaques.
  • Oral Diseases: Oral cancer, leukoplakia, and lichen planus are some of the diseases that affect the oral mucosa, which is composed of Stratified Squamous Keratinizing epithelium. Early detection and treatment of these conditions are crucial for preventing complications.
  • Esophageal Diseases: Conditions such as Barrett's esophagus and esophageal cancer involve changes in the Stratified Squamous Keratinizing epithelium of the esophagus. These conditions are often associated with chronic acid reflux and can lead to serious complications if left untreated.

Diagnosing these conditions typically involves a combination of clinical examination, biopsy, and histopathological analysis. Understanding the normal structure and function of Stratified Squamous Keratinizing epithelium is essential for interpreting these diagnostic tests accurately.

Histopathological Features of Stratified Squamous Keratinizing Epithelium

Histopathological analysis of Stratified Squamous Keratinizing epithelium involves examining tissue samples under a microscope to identify any abnormalities. The following table outlines the key histopathological features of normal and abnormal Stratified Squamous Keratinizing epithelium:

Feature Normal Epithelium Abnormal Epithelium
Cell Layers Four distinct layers: basal, spinous, granular, and cornified Disorganized layers, hyperkeratosis, or parakeratosis
Cell Shape Flattened, keratinized cells in the cornified layer Irregular cell shapes, dyskeratosis
Nuclei Absent in the cornified layer Presence of nuclei in the cornified layer (parakeratosis)
Keratinization Normal keratinization process Abnormal keratinization, hyperkeratosis

These histopathological features are crucial for diagnosing various diseases that affect the Stratified Squamous Keratinizing epithelium. For example, the presence of dyskeratosis and irregular cell shapes may indicate the presence of a precancerous lesion or cancer.

๐Ÿ“ Note: Histopathological analysis should always be performed by a qualified pathologist to ensure accurate diagnosis and appropriate management.

Diagnostic Techniques for Stratified Squamous Keratinizing Epithelium

Diagnosing conditions that affect the Stratified Squamous Keratinizing epithelium involves a combination of clinical examination and diagnostic tests. Some of the commonly used diagnostic techniques include:

  • Biopsy: A small sample of tissue is taken from the affected area and examined under a microscope. This is the gold standard for diagnosing conditions that affect the Stratified Squamous Keratinizing epithelium.
  • Histopathology: The examination of tissue samples under a microscope to identify any abnormalities in the structure and function of the epithelium.
  • Immunohistochemistry: The use of antibodies to detect specific proteins in the tissue sample, which can help in diagnosing certain conditions.
  • Molecular Testing: The analysis of genetic material from the tissue sample to identify mutations or other abnormalities that may be associated with disease.

These diagnostic techniques are essential for accurate diagnosis and appropriate management of conditions that affect the Stratified Squamous Keratinizing epithelium.

๐Ÿ“ Note: Early detection and treatment of conditions that affect the Stratified Squamous Keratinizing epithelium are crucial for preventing complications and improving outcomes.

Management and Treatment of Conditions Affecting Stratified Squamous Keratinizing Epithelium

The management and treatment of conditions that affect the Stratified Squamous Keratinizing epithelium depend on the underlying cause and severity of the condition. Some of the common treatment options include:

  • Topical Treatments: Creams, ointments, and gels that are applied directly to the affected area to reduce inflammation, promote healing, and prevent infection.
  • Systemic Treatments: Oral medications that are taken to manage systemic conditions that affect the Stratified Squamous Keratinizing epithelium.
  • Surgical Interventions: Procedures such as excision, cryotherapy, or laser therapy to remove abnormal tissue and promote healing.
  • Lifestyle Modifications: Changes in diet, hydration, and other lifestyle factors to improve the overall health of the epithelium.

In addition to these treatment options, regular follow-up and monitoring are essential for managing conditions that affect the Stratified Squamous Keratinizing epithelium. This helps in early detection of any recurrence or complications and ensures appropriate management.

๐Ÿ“ Note: The choice of treatment depends on the underlying cause and severity of the condition. It is important to consult a healthcare professional for personalized advice and management.

Prevention of Conditions Affecting Stratified Squamous Keratinizing Epithelium

Preventing conditions that affect the Stratified Squamous Keratinizing epithelium involves a combination of lifestyle modifications and regular medical check-ups. Some of the key preventive measures include:

  • Sun Protection: Using sunscreen, wearing protective clothing, and avoiding prolonged exposure to the sun to prevent skin damage and cancer.
  • Oral Hygiene: Maintaining good oral hygiene, including regular brushing, flossing, and dental check-ups, to prevent oral diseases.
  • Diet and Hydration: Consuming a balanced diet rich in vitamins and minerals, and staying hydrated to support the health of the epithelium.
  • Regular Check-ups: Regular medical check-ups and screenings to detect any abnormalities early and manage them appropriately.

These preventive measures are essential for maintaining the health of the Stratified Squamous Keratinizing epithelium and preventing conditions that affect it.

๐Ÿ“ Note: Regular medical check-ups and screenings are crucial for early detection and management of conditions that affect the Stratified Squamous Keratinizing epithelium.

In conclusion, understanding the anatomy, physiology, and clinical significance of Stratified Squamous Keratinizing epithelium is essential for diagnosing and managing conditions that affect it. From skin diseases to oral and esophageal conditions, this type of epithelium plays a crucial role in protecting the body and maintaining overall health. Regular medical check-ups, preventive measures, and appropriate management are key to ensuring the health of the Stratified Squamous Keratinizing epithelium and preventing complications. By staying informed and proactive, individuals can take steps to maintain the health of this vital tissue and improve their overall well-being.

Related Terms:

  • keratinized vs stratified squamous epithelium
  • stratified squamous keratinized vs non
  • stratified squamous keratinized epithelium location
  • keratinized stratified squamous location
  • where are keratinized cells found
  • keratinized stratified squamous function