Squamous Metaplastic Cells

Squamous Metaplastic Cells

Understanding the intricacies of cellular biology is crucial for diagnosing and treating various medical conditions. One of the key areas of interest in this field is the study of squamous metaplastic cells. These cells play a significant role in the body's response to injury and inflammation, and their identification is essential for accurate diagnosis and effective treatment.

What are Squamous Metaplastic Cells?

Squamous metaplastic cells are a type of epithelial cell that undergoes a transformation from one type of cell to another. This process, known as metaplasia, is a protective response to chronic irritation, inflammation, or injury. Squamous metaplasia occurs when columnar or cuboidal epithelial cells transform into squamous cells, which are flat and scale-like. This transformation is often observed in various organs, including the respiratory tract, gastrointestinal tract, and urinary system.

Identifying Squamous Metaplastic Cells

Identifying squamous metaplastic cells involves a combination of clinical examination, imaging studies, and histopathological analysis. Here are the key steps involved in the identification process:

  • Clinical Examination: A thorough clinical examination helps in identifying symptoms and signs that may indicate the presence of squamous metaplastic cells. For example, chronic cough, dyspnea, and hemoptysis in the respiratory tract, or dysphagia and abdominal pain in the gastrointestinal tract.
  • Imaging Studies: Imaging techniques such as X-rays, CT scans, and MRI can provide visual information about the affected area. These studies help in locating the site of metaplasia and assessing the extent of the lesion.
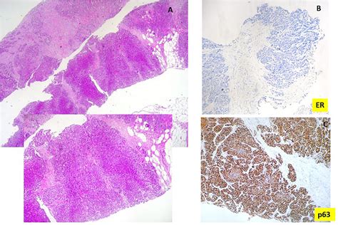
  • Histopathological Analysis: The definitive diagnosis of squamous metaplastic cells is made through histopathological examination of tissue samples. Biopsy specimens are stained with hematoxylin and eosin (H&E) and examined under a microscope. The presence of squamous cells in an area normally lined by columnar or cuboidal epithelium confirms the diagnosis of squamous metaplasia.

Causes of Squamous Metaplasia

Squamous metaplasia can be caused by various factors, including:

  • Chronic Inflammation: Persistent inflammation due to infections, autoimmune disorders, or environmental factors can lead to squamous metaplasia.
  • Injury and Trauma: Physical injury or trauma to the epithelial lining can trigger the transformation of cells into squamous metaplastic cells.
  • Environmental Factors: Exposure to irritants such as cigarette smoke, pollutants, and chemicals can cause squamous metaplasia in the respiratory tract.
  • Hormonal Imbalances: Hormonal changes, particularly in the female reproductive system, can lead to squamous metaplasia in the cervix.

Clinical Significance of Squamous Metaplastic Cells

The clinical significance of squamous metaplastic cells lies in their role as a precursor to more serious conditions. While squamous metaplasia itself is a benign process, it can progress to dysplasia and eventually to cancer if left untreated. Early identification and management of squamous metaplastic cells are crucial for preventing the development of malignant lesions.

Diagnostic Techniques for Squamous Metaplastic Cells

Several diagnostic techniques are employed to identify and characterize squamous metaplastic cells. These techniques include:

  • Cytology: Cytological examination of cells obtained through techniques such as sputum analysis, bronchial lavage, or fine-needle aspiration can reveal the presence of squamous metaplastic cells.
  • Histopathology: Histopathological examination of biopsy specimens provides detailed information about the cellular morphology and architecture. This is the gold standard for diagnosing squamous metaplasia.
  • Immunohistochemistry: Immunohistochemical staining can help in identifying specific markers associated with squamous metaplastic cells, aiding in the differential diagnosis.
  • Molecular Techniques: Molecular techniques such as polymerase chain reaction (PCR) and fluorescence in situ hybridization (FISH) can detect genetic alterations associated with squamous metaplasia.

Treatment and Management of Squamous Metaplastic Cells

The treatment and management of squamous metaplastic cells depend on the underlying cause and the extent of the lesion. The primary goals are to alleviate symptoms, prevent progression to more serious conditions, and improve the quality of life. Treatment options include:

  • Medications: Anti-inflammatory drugs, antibiotics, and hormonal therapies can be used to manage the underlying cause of squamous metaplasia.
  • Lifestyle Modifications: Avoiding environmental irritants, quitting smoking, and maintaining a healthy lifestyle can help in preventing the progression of squamous metaplasia.
  • Surgical Interventions: In cases where squamous metaplasia is extensive or associated with dysplasia, surgical removal of the affected tissue may be necessary.
  • Follow-Up and Monitoring: Regular follow-up and monitoring are essential to detect any changes in the condition and to ensure timely intervention.

📌 Note: Early detection and management of squamous metaplastic cells are crucial for preventing the development of malignant lesions. Regular follow-up and monitoring are essential to detect any changes in the condition and to ensure timely intervention.

Prevention of Squamous Metaplasia

Preventing squamous metaplasia involves addressing the underlying causes and adopting a healthy lifestyle. Some preventive measures include:

  • Avoiding Environmental Irritants: Minimizing exposure to irritants such as cigarette smoke, pollutants, and chemicals can reduce the risk of squamous metaplasia.
  • Maintaining a Healthy Lifestyle: A balanced diet, regular exercise, and avoiding harmful habits can help in maintaining overall health and reducing the risk of squamous metaplasia.
  • Regular Medical Check-Ups: Regular medical check-ups and screenings can help in early detection and management of squamous metaplasia.

Case Studies and Examples

To better understand the clinical significance of squamous metaplastic cells, let’s examine a few case studies:

Case Study 1: Squamous Metaplasia in the Respiratory Tract

A 55-year-old male presented with a chronic cough and dyspnea. Imaging studies revealed a lesion in the bronchial tree. A biopsy was performed, and histopathological examination confirmed the presence of squamous metaplastic cells. The patient was advised to quit smoking and underwent anti-inflammatory treatment. Regular follow-up showed no progression of the lesion.

Case Study 2: Squamous Metaplasia in the Gastrointestinal Tract

A 40-year-old female presented with dysphagia and abdominal pain. Endoscopic examination revealed a lesion in the esophagus. Biopsy specimens showed squamous metaplastic cells. The patient was diagnosed with Barrett’s esophagus and underwent lifestyle modifications and medical treatment. Regular monitoring ensured that the condition did not progress to dysplasia.

Case Study 3: Squamous Metaplasia in the Urinary System

A 60-year-old male presented with hematuria and urinary tract infections. Cystoscopy revealed a lesion in the bladder. Biopsy specimens confirmed the presence of squamous metaplastic cells. The patient underwent surgical removal of the affected tissue and was advised to avoid environmental irritants. Follow-up examinations showed no recurrence of the lesion.

Future Directions in Research

The study of squamous metaplastic cells is an evolving field with several areas of ongoing research. Future directions include:

  • Molecular Mechanisms: Understanding the molecular mechanisms underlying squamous metaplasia can help in developing targeted therapies.
  • Biomarkers: Identifying specific biomarkers for squamous metaplasia can aid in early detection and monitoring of the condition.
  • Preventive Strategies: Developing effective preventive strategies can reduce the incidence of squamous metaplasia and its progression to more serious conditions.

Research in these areas can lead to improved diagnostic techniques, more effective treatments, and better outcomes for patients with squamous metaplasia.

In conclusion, squamous metaplastic cells play a crucial role in the body’s response to injury and inflammation. Understanding their identification, causes, clinical significance, diagnostic techniques, treatment, and prevention is essential for effective management and prevention of more serious conditions. Early detection and regular monitoring are key to ensuring timely intervention and improving patient outcomes. The ongoing research in this field holds promise for developing targeted therapies and preventive strategies, ultimately enhancing the quality of life for individuals affected by squamous metaplasia.

Related Terms:

  • squamous metaplastic cells icd 10
  • treatment for squamous metaplasia
  • squamous metaplastic cells on pap
  • squamous metaplastic cells endocervical component
  • endocervical and metaplastic cells present