Squamous Epithelial Cells 610

Squamous Epithelial Cells 610

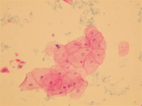
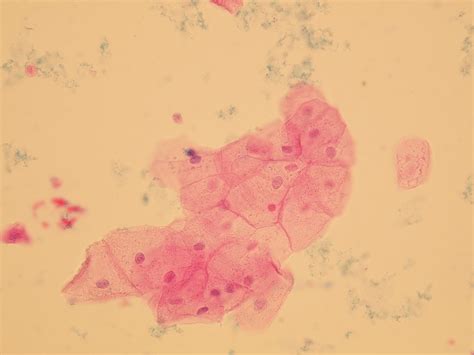
Squamous epithelial cells are a type of epithelial cell characterized by their flat, scale-like shape. These cells play a crucial role in various tissues and organs throughout the body, providing a protective barrier and facilitating essential functions. One specific type of squamous epithelial cell, known as Squamous Epithelial Cells 610, has garnered significant attention in the fields of histology and pathology. This article delves into the characteristics, functions, and clinical significance of Squamous Epithelial Cells 610, offering a comprehensive understanding of their role in human physiology and disease.

Understanding Squamous Epithelial Cells

Squamous epithelial cells are found in various parts of the body, including the skin, respiratory tract, and digestive system. Their primary function is to provide a protective barrier against external threats such as pathogens, chemicals, and physical damage. These cells are tightly packed together, forming a continuous layer that prevents the entry of harmful substances while allowing the passage of essential nutrients and gases.

Characteristics of Squamous Epithelial Cells 610

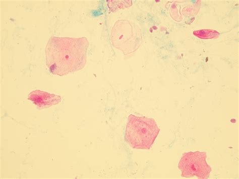
Squamous Epithelial Cells 610 are a specific subtype of squamous epithelial cells that exhibit unique characteristics. These cells are typically found in the stratified squamous epithelium, which is composed of multiple layers of cells. The number “610” in their designation refers to their specific morphological and functional properties, which distinguish them from other types of squamous epithelial cells.

Some key characteristics of Squamous Epithelial Cells 610 include:

  • Flat and Scale-Like Shape: These cells have a flat, scale-like appearance, which allows them to form a tight, protective barrier.
  • Stratified Structure: Squamous Epithelial Cells 610 are arranged in multiple layers, providing enhanced protection and durability.
  • Keratinization: These cells often undergo keratinization, a process in which they produce keratin, a tough protein that further strengthens the epithelial barrier.
  • High Regenerative Capacity: Squamous Epithelial Cells 610 have a high regenerative capacity, allowing them to quickly replace damaged or lost cells.

Functions of Squamous Epithelial Cells 610

Squamous Epithelial Cells 610 perform several critical functions in the body. Their primary role is to provide a protective barrier, but they also play a part in other essential processes. Some of the key functions of these cells include:

  • Protection: These cells form a barrier that protects underlying tissues from mechanical stress, chemical damage, and pathogen invasion.
  • Absorption and Secretion: In some tissues, Squamous Epithelial Cells 610 facilitate the absorption of nutrients and the secretion of various substances, such as mucus and enzymes.
  • Regeneration: Due to their high regenerative capacity, these cells can quickly repair damaged tissue, maintaining the integrity of the epithelial barrier.
  • Immune Response: Squamous Epithelial Cells 610 can also participate in the immune response by producing antimicrobial peptides and cytokines that help combat infections.

Clinical Significance of Squamous Epithelial Cells 610

Squamous Epithelial Cells 610 are of significant clinical importance, particularly in the fields of histology and pathology. These cells are often studied in the context of various diseases and conditions, providing valuable insights into their pathogenesis and treatment. Some of the clinical significance of Squamous Epithelial Cells 610 includes:

  • Diagnostic Markers: The presence and characteristics of Squamous Epithelial Cells 610 can serve as diagnostic markers for various diseases, including squamous cell carcinoma and other epithelial disorders.
  • Tissue Repair: Understanding the regenerative capacity of these cells can aid in the development of therapies for tissue repair and regeneration.
  • Drug Delivery: The ability of Squamous Epithelial Cells 610 to absorb and secrete substances makes them potential targets for drug delivery systems.
  • Immune Modulation: These cells' role in the immune response can be exploited to develop immunomodulatory therapies for various conditions.

Squamous Epithelial Cells 610 in Disease

Squamous Epithelial Cells 610 are implicated in several diseases and conditions, making them a focal point of research in pathology and oncology. Some of the key diseases associated with these cells include:

  • Squamous Cell Carcinoma: This is a type of cancer that arises from squamous epithelial cells. Squamous Cell Carcinoma can occur in various parts of the body, including the skin, respiratory tract, and digestive system. The malignant transformation of Squamous Epithelial Cells 610 is a critical step in the development of this cancer.
  • Epithelial Dysplasia: This condition involves abnormal changes in the squamous epithelium, which can progress to cancer if left untreated. Squamous Epithelial Cells 610 play a role in the development and progression of epithelial dysplasia.
  • Inflammatory Disorders: These cells are also involved in various inflammatory disorders, where their immune response and regenerative capacity are compromised. Understanding the role of Squamous Epithelial Cells 610 in these conditions can aid in the development of targeted therapies.

Squamous Epithelial Cells 610 are also involved in other conditions, such as:

Condition Description
Psoriasis An inflammatory skin condition characterized by the rapid proliferation of squamous epithelial cells, leading to the formation of scaly plaques.
Lichen Planus A chronic inflammatory condition that affects the skin and mucous membranes, involving the infiltration of immune cells into the squamous epithelium.
Oral Leukoplakia A condition characterized by white patches in the oral mucosa, which can be a precursor to oral cancer. Squamous Epithelial Cells 610 are involved in the development of these lesions.

📝 Note: The table above provides a brief overview of some conditions associated with Squamous Epithelial Cells 610. This is not an exhaustive list, and further research is needed to fully understand the role of these cells in various diseases.

Research and Future Directions

Research on Squamous Epithelial Cells 610 is ongoing, with scientists and clinicians working to uncover new insights into their biology and clinical significance. Some of the key areas of research include:

  • Molecular Mechanisms: Understanding the molecular mechanisms underlying the functions and dysregulation of Squamous Epithelial Cells 610 can provide new targets for therapeutic intervention.
  • Regenerative Medicine: The high regenerative capacity of these cells makes them a promising target for regenerative medicine, where they can be used to repair damaged tissues and organs.
  • Cancer Therapy: Developing targeted therapies for squamous cell carcinoma and other epithelial cancers involves a deep understanding of the biology of Squamous Epithelial Cells 610.
  • Immune Modulation: Exploring the immune response of these cells can lead to the development of immunomodulatory therapies for various inflammatory and autoimmune conditions.

Future research in this field is expected to yield significant advancements in our understanding of Squamous Epithelial Cells 610 and their role in health and disease. These advancements will pave the way for the development of novel therapies and diagnostic tools, improving patient outcomes and quality of life.

In conclusion, Squamous Epithelial Cells 610 are a critical component of the body’s protective barrier, playing essential roles in various tissues and organs. Their unique characteristics and functions make them a focal point of research in histology, pathology, and oncology. Understanding the biology and clinical significance of these cells can lead to significant advancements in the diagnosis and treatment of various diseases, ultimately improving patient outcomes and quality of life. The ongoing research in this field holds great promise for the future, with the potential to revolutionize our approach to epithelial disorders and cancer therapy.

Related Terms:

  • squamous epithelial cells high meaning
  • squamous epithelial cells 10 20
  • squamous epithelial urine high meaning
  • squamous ethelase cells 6 10
  • squamous epithelial urine abnormal meaning
  • squamous epithelial cells normal range