Spongy Bone Under Microscope

Spongy Bone Under Microscope

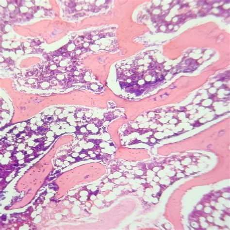
Exploring the intricate world of bone structure reveals fascinating insights into the human body's resilience and adaptability. One of the most intriguing aspects of bone anatomy is the spongy bone under microscope. This type of bone, also known as cancellous or trabecular bone, plays a crucial role in supporting the body's weight and facilitating the movement of blood cells. Understanding the structure and function of spongy bone under a microscope provides valuable information for medical professionals, researchers, and students alike.

Understanding Spongy Bone

Spongy bone is a type of osseous tissue found primarily in the interior of bones, such as the ends of long bones and the vertebrae. It is characterized by a porous structure composed of thin plates called trabeculae, which form a lattice-like network. This unique structure provides several key functions:

  • Support and Structure: The trabeculae provide structural support, helping to distribute mechanical stress and maintain the bone's integrity.
  • Blood Cell Production: The porous nature of spongy bone allows for the production of red and white blood cells within the bone marrow.
  • Mineral Storage: Spongy bone acts as a reservoir for minerals like calcium and phosphorus, which are essential for various bodily functions.

Examining Spongy Bone Under a Microscope

To fully appreciate the complexity of spongy bone, it is essential to examine it under a microscope. This process involves several steps, from sample preparation to microscopic analysis. Here is a detailed guide on how to observe spongy bone under a microscope:

Sample Preparation

Proper sample preparation is crucial for obtaining clear and accurate microscopic images. The following steps outline the process:

  • Bone Selection: Choose a bone sample that contains a significant amount of spongy bone, such as the femur or vertebrae.
  • Sectioning: Use a saw or bone cutter to section the bone into thin slices. Ensure the slices are thin enough to allow light to pass through for microscopic examination.
  • Decalcification: Treat the bone slices with a decalcifying agent, such as EDTA (ethylenediaminetetraacetic acid), to remove minerals and soften the tissue. This step is necessary to make the sample transparent and easier to section.
  • Staining: Stain the decalcified sections with appropriate dyes, such as hematoxylin and eosin (H&E), to enhance the visibility of different tissue components under the microscope.
  • Mounting: Mount the stained sections onto glass slides using a mounting medium. This step ensures the sections are securely attached and ready for microscopic examination.

Microscopic Analysis

Once the sample is prepared, it can be examined under a microscope. Here are the key steps involved in microscopic analysis:

  • Low Magnification: Start with a low magnification (e.g., 4x or 10x) to get an overview of the spongy bone structure. Observe the overall arrangement of trabeculae and the distribution of bone marrow.
  • High Magnification: Increase the magnification (e.g., 40x or 100x) to examine the detailed structure of the trabeculae. Look for the presence of osteocytes, osteoblasts, and osteoclasts, which are cells involved in bone formation and resorption.
  • Polarized Light: Use polarized light microscopy to enhance the visibility of collagen fibers within the trabeculae. This technique helps in understanding the orientation and organization of collagen, which is crucial for bone strength and flexibility.

🔍 Note: Always handle bone samples with care to avoid contamination and ensure accurate results. Use appropriate personal protective equipment (PPE) during sample preparation and microscopic analysis.

Key Features of Spongy Bone Under Microscope

When examining spongy bone under a microscope, several key features become apparent. These features provide insights into the bone's structure and function:

  • Trabeculae: The thin plates of bone that form a lattice-like network. Trabeculae vary in thickness and orientation, depending on the mechanical stresses they experience.
  • Bone Marrow: The soft, spongy tissue found within the spaces of the trabeculae. Bone marrow is responsible for the production of blood cells and immune cells.
  • Osteocytes: Mature bone cells embedded within the trabeculae. Osteocytes play a role in maintaining bone health by sensing mechanical stress and regulating bone remodeling.
  • Osteoblasts: Bone-forming cells that synthesize and secrete the organic matrix of bone. Osteoblasts are essential for bone growth and repair.
  • Osteoclasts: Bone-resorbing cells that break down bone tissue. Osteoclasts are involved in bone remodeling and the release of minerals from the bone.

Clinical Significance of Spongy Bone

The study of spongy bone under a microscope has significant clinical implications. Understanding the structure and function of spongy bone can aid in the diagnosis and treatment of various bone-related disorders. Some key clinical applications include:

  • Osteoporosis: A condition characterized by low bone density and increased risk of fractures. Microscopic examination of spongy bone can help assess the severity of osteoporosis and monitor treatment effectiveness.
  • Bone Cancer: Microscopic analysis of spongy bone can aid in the diagnosis of bone tumors and metastases. The presence of abnormal cells and tissue structures can indicate the presence of cancer.
  • Bone Healing: Understanding the remodeling process of spongy bone is crucial for developing effective treatments for bone fractures and injuries. Microscopic examination can provide insights into the healing process and the role of different cell types.

Research and Future Directions

Ongoing research in the field of bone biology continues to uncover new insights into the structure and function of spongy bone. Advances in microscopy techniques, such as confocal microscopy and electron microscopy, have enabled researchers to study spongy bone at an even higher resolution. These techniques allow for the detailed examination of cellular and molecular processes within the bone tissue.

Future research directions in the study of spongy bone under a microscope include:

  • 3D Imaging: Developing advanced imaging techniques to create three-dimensional models of spongy bone structure. This can provide a more comprehensive understanding of the bone's architecture and mechanical properties.
  • Cellular Interactions: Investigating the interactions between different cell types within spongy bone, such as osteocytes, osteoblasts, and osteoclasts. Understanding these interactions can lead to the development of targeted therapies for bone disorders.
  • Biomechanics: Studying the biomechanical properties of spongy bone and how they are influenced by factors such as age, disease, and mechanical loading. This knowledge can inform the design of better orthopedic implants and treatments.

Research in these areas holds promise for improving the diagnosis and treatment of bone-related disorders, as well as enhancing our understanding of bone biology.

In conclusion, the examination of spongy bone under a microscope reveals a complex and dynamic structure essential for bone health and function. From its role in supporting the body’s weight to its involvement in blood cell production and mineral storage, spongy bone plays a crucial part in maintaining overall health. Advances in microscopy techniques and ongoing research continue to shed light on the intricate details of spongy bone, paving the way for improved diagnostic and therapeutic approaches. Understanding the structure and function of spongy bone under a microscope is not only fascinating but also vital for medical professionals and researchers striving to enhance bone health and treat related disorders.

Related Terms:

  • spongy bone diagram
  • spongy bone labeled
  • microscopic structure of spongy bone
  • spongy bone under microscope labeled
  • spongy bone under microscope 400x
  • compact bone under microscope labeled