Spondylolisthesis Grade 1

Spondylolisthesis Grade 1

Spondylolisthesis is a condition where one vertebra slips forward over the vertebra below it. This condition can cause significant discomfort and mobility issues, particularly when it progresses to more severe grades. One of the milder forms of this condition is Spondylolisthesis Grade 1, which involves a slip of less than 25% of the vertebral body. Understanding this condition, its causes, symptoms, diagnosis, and treatment options is crucial for managing it effectively.

Understanding Spondylolisthesis Grade 1

Spondylolisthesis Grade 1 is characterized by a slight forward slip of one vertebra over the one below it, typically less than 25% of the vertebral body. This condition can occur in various parts of the spine but is most commonly found in the lumbar region, particularly at the L5-S1 level. The slip can be caused by several factors, including degenerative changes, trauma, or congenital abnormalities.

Causes of Spondylolisthesis Grade 1

Several factors can contribute to the development of Spondylolisthesis Grade 1. These include:

  • Degenerative Changes: Over time, the discs and joints in the spine can wear down, leading to instability and slippage.
  • Trauma: Injuries to the spine, such as fractures or dislocations, can cause vertebrae to slip out of place.
  • Congenital Abnormalities: Some individuals are born with spinal abnormalities that predispose them to spondylolisthesis.
  • Spondylolysis: A defect or fracture in the pars interarticularis, a small bone in the spine, can lead to spondylolisthesis.

Symptoms of Spondylolisthesis Grade 1

Symptoms of Spondylolisthesis Grade 1 can vary widely and may include:

  • Lower Back Pain: This is the most common symptom and can range from mild to severe.
  • Leg Pain: Pain that radiates down the legs, often due to nerve compression.
  • Numbness or Tingling: Sensations of numbness or tingling in the legs or feet.
  • Weakness: Muscle weakness in the legs or feet.
  • Stiffness: Reduced range of motion in the spine.

In some cases, individuals with Spondylolisthesis Grade 1 may not experience any symptoms at all. The severity of symptoms often depends on the degree of slippage and the presence of nerve compression.

Diagnosing Spondylolisthesis Grade 1

Diagnosing Spondylolisthesis Grade 1 involves a combination of medical history, physical examination, and imaging tests. The diagnostic process typically includes:

  • Medical History: The healthcare provider will ask about symptoms, their onset, and any relevant medical history.
  • Physical Examination: This includes assessing the range of motion, muscle strength, and reflexes.
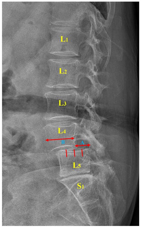
  • Imaging Tests: X-rays, CT scans, and MRI scans are commonly used to visualize the spine and determine the degree of slippage.

Imaging tests are particularly important for confirming the diagnosis and assessing the severity of the condition. X-rays can show the alignment of the vertebrae, while CT scans and MRI scans provide detailed images of the soft tissues and nerves.

Treatment Options for Spondylolisthesis Grade 1

The treatment for Spondylolisthesis Grade 1 depends on the severity of symptoms and the individual's overall health. Treatment options can be categorized into non-surgical and surgical approaches.

Non-Surgical Treatment

Non-surgical treatments are often the first line of defense and may include:

  • Pain Medication: Over-the-counter pain relievers or prescription medications to manage pain and inflammation.
  • Physical Therapy: Exercises to strengthen the back muscles, improve flexibility, and reduce pain.
  • Bracing: A back brace to stabilize the spine and reduce movement.
  • Lifestyle Modifications: Changes in daily activities to avoid aggravating the condition, such as avoiding heavy lifting or high-impact exercises.

Physical therapy is particularly important as it helps to strengthen the core muscles, which can provide better support for the spine and reduce the risk of further slippage.

Surgical Treatment

In cases where non-surgical treatments are ineffective, surgery may be recommended. Surgical options for Spondylolisthesis Grade 1 include:

  • Spinal Fusion: A procedure to fuse the affected vertebrae together, providing stability and preventing further slippage.
  • Laminectomy: Removal of the lamina, a part of the vertebra, to relieve pressure on the spinal nerves.
  • Foraminotomy: Widening of the foramen, the opening where nerve roots exit the spine, to relieve nerve compression.

Surgery is typically considered a last resort and is only recommended when conservative treatments have failed to provide relief.

Preventing Spondylolisthesis Grade 1

While it may not be possible to prevent all cases of Spondylolisthesis Grade 1, there are steps individuals can take to reduce their risk:

  • Maintain a Healthy Weight: Excess weight can put additional strain on the spine.
  • Exercise Regularly: Strengthening the core muscles can provide better support for the spine.
  • Avoid High-Impact Activities: Activities that involve sudden, jerky movements can increase the risk of spinal injuries.
  • Use Proper Lifting Techniques: Always lift with the legs, not the back, to avoid straining the spine.

Regular check-ups with a healthcare provider can also help detect any early signs of spinal issues, allowing for timely intervention.

📝 Note: It is important to consult with a healthcare provider before starting any new exercise or treatment program, especially if you have a pre-existing condition like Spondylolisthesis Grade 1.

Living with Spondylolisthesis Grade 1

Living with Spondylolisthesis Grade 1 can be challenging, but with the right management strategies, many individuals can lead active and fulfilling lives. Key strategies include:

  • Pain Management: Using a combination of medication, physical therapy, and lifestyle modifications to manage pain effectively.
  • Regular Exercise: Engaging in low-impact exercises that strengthen the back and core muscles.
  • Posture Awareness: Maintaining good posture to reduce strain on the spine.
  • Supportive Devices: Using braces or other supportive devices as recommended by a healthcare provider.

It is also important to stay informed about the condition and to communicate openly with healthcare providers about any changes in symptoms or concerns.

Spondylolisthesis Grade 1 is a manageable condition with the right approach. By understanding the causes, symptoms, and treatment options, individuals can take proactive steps to manage their condition effectively. Regular check-ups, a healthy lifestyle, and appropriate medical interventions can significantly improve the quality of life for those living with this condition.

Related Terms:

  • spondylolisthesis grade 5
  • spondylolisthesis grade 1 icd 10
  • anterior spondylolisthesis grade 1
  • spondylolisthesis grade 3
  • is grade 1 spondylolisthesis serious
  • spondylolisthesis grade 1 symptoms