Sonography Can Detect Cancer

Sonography Can Detect Cancer

In the realm of medical diagnostics, advancements in technology have revolutionized the way we detect and treat various diseases. One such breakthrough is the use of sonography, a non-invasive imaging technique that utilizes high-frequency sound waves to produce images of internal body structures. Among its many applications, sonography can detect cancer, making it an invaluable tool in early diagnosis and treatment planning.

Understanding Sonography

Sonography, also known as ultrasound, is a safe and painless procedure that uses sound waves to create images of the body's internal structures. Unlike X-rays or CT scans, sonography does not involve radiation, making it a preferred choice for many diagnostic purposes. The procedure is typically performed by a trained technician who uses a transducer to emit sound waves into the body. These waves bounce off the internal structures and return to the transducer, which converts the echoes into images displayed on a monitor.

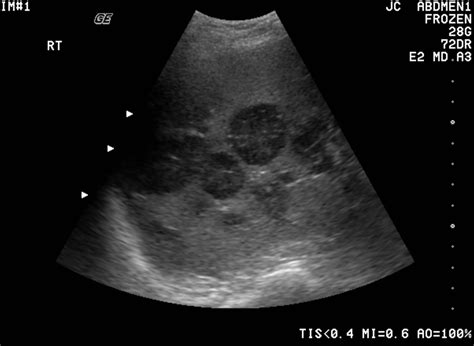
How Sonography Can Detect Cancer

Sonography can detect cancer by identifying abnormalities in the size, shape, and texture of organs and tissues. Here are some key ways in which sonography aids in cancer detection:

  • Tumor Detection: Sonography can identify tumors and other masses that may indicate the presence of cancer. By examining the size, shape, and borders of these masses, healthcare providers can determine whether further investigation is necessary.
  • Lymph Node Assessment: Cancer often spreads to the lymph nodes, and sonography can help assess their condition. Enlarged or abnormal lymph nodes may suggest the presence of metastatic cancer.
  • Guided Biopsies: Sonography can guide needle biopsies, allowing doctors to extract tissue samples from suspicious areas for further analysis. This minimally invasive procedure helps confirm the presence of cancer and determine its type.
  • Monitoring Treatment: Sonography is also used to monitor the effectiveness of cancer treatments. By tracking changes in tumor size and other indicators, healthcare providers can adjust treatment plans as needed.

Types of Cancer Detected by Sonography

Sonography is particularly effective in detecting certain types of cancer. Some of the most common include:

  • Breast Cancer: Mammography is the primary screening tool for breast cancer, but sonography is often used as a supplementary method, especially for women with dense breast tissue.
  • Thyroid Cancer: Thyroid sonography can detect nodules and other abnormalities that may indicate thyroid cancer.
  • Prostate Cancer: Transrectal ultrasound (TRUS) is used to guide biopsies and assess the prostate gland for signs of cancer.
  • Liver Cancer: Liver sonography can detect tumors and other abnormalities that may suggest liver cancer.
  • Ovarian Cancer: Pelvic sonography can identify ovarian cysts and other masses that may be cancerous.

Advantages of Sonography in Cancer Detection

Sonography offers several advantages over other imaging techniques, making it a valuable tool in cancer detection:

  • Non-Invasive: Sonography does not require incisions or injections, making it a safe and comfortable procedure for patients.
  • No Radiation: Unlike X-rays and CT scans, sonography does not expose patients to harmful radiation, making it suitable for repeated examinations.
  • Real-Time Imaging: Sonography provides real-time images, allowing healthcare providers to observe the movement of internal structures and guide procedures accurately.
  • Cost-Effective: Compared to other imaging techniques, sonography is generally more affordable, making it accessible to a broader range of patients.

Limitations of Sonography in Cancer Detection

While sonography is a powerful tool, it does have some limitations:

  • Operator Dependency: The quality of sonography images depends on the skill and experience of the technician performing the procedure.
  • Limited Penetration: Sound waves have limited penetration through bone and air, which can make it difficult to visualize certain areas of the body.
  • Interpretation Challenges: Some abnormalities may be difficult to distinguish from normal structures, requiring additional imaging or biopsies for accurate diagnosis.

📌 Note: While sonography is a valuable tool, it is often used in conjunction with other diagnostic methods to ensure accurate cancer detection and diagnosis.

Preparing for a Sonography Procedure

Preparing for a sonography procedure is generally straightforward. Here are some steps to help you get ready:

  • Follow Instructions: Your healthcare provider will give you specific instructions, which may include fasting for a certain period or drinking water before the procedure.
  • Wear Comfortable Clothing: Wear loose, comfortable clothing that allows easy access to the area being examined.
  • Arrive Early: Arrive at the appointment a few minutes early to complete any necessary paperwork and to allow time for the procedure.
  • Stay Relaxed: During the procedure, it's important to stay relaxed and follow the technician's instructions to ensure accurate imaging.

What to Expect During a Sonography Procedure

During a sonography procedure, you can expect the following steps:

  • Positioning: You will be positioned comfortably on an examination table. The technician will apply a special gel to the area being examined to enhance the transmission of sound waves.
  • Transducer Application: The technician will move a transducer over the gel-covered area, emitting sound waves and capturing the echoes to create images.
  • Image Review: The images will be displayed on a monitor in real-time, allowing the technician to assess the internal structures and identify any abnormalities.
  • Procedure Duration: The duration of the procedure varies depending on the area being examined, but it typically takes between 15 to 30 minutes.

📌 Note: If a biopsy is required, the procedure may take longer, and you may experience some discomfort during the needle insertion.

Interpreting Sonography Results

Interpreting sonography results involves a detailed analysis of the images by a radiologist or other trained healthcare provider. Key factors considered during the interpretation include:

  • Size and Shape: The size and shape of any detected masses or abnormalities are carefully examined.
  • Texture and Echo Pattern: The texture and echo pattern of the tissues are analyzed to determine if they are benign or malignant.
  • Blood Flow: Doppler sonography may be used to assess blood flow within the tissues, which can provide additional information about the nature of the abnormality.
  • Comparison with Previous Images: If available, previous sonography images are compared to track changes over time.

Based on the interpretation, the healthcare provider will recommend further steps, which may include additional imaging, biopsies, or other diagnostic procedures.

Advanced Sonography Techniques

In addition to traditional sonography, several advanced techniques enhance cancer detection and diagnosis:

  • Doppler Sonography: This technique uses Doppler effect to assess blood flow within tissues, helping to differentiate between benign and malignant masses.
  • Elastography: Elastography measures the stiffness of tissues, which can indicate the presence of cancer. Malignant tumors are often stiffer than benign ones.
  • Contrast-Enhanced Sonography: This method involves injecting contrast agents into the bloodstream to enhance the visibility of blood vessels and improve the detection of tumors.
  • 3D and 4D Sonography: These techniques provide three-dimensional and real-time images, offering a more comprehensive view of internal structures and abnormalities.

Case Studies: Sonography in Cancer Detection

To illustrate the effectiveness of sonography in cancer detection, consider the following case studies:

Patient Type of Cancer Sonography Findings Outcome
Jane D. Breast Cancer Detected a 2 cm mass with irregular borders and increased vascularity. Biopsy confirmed invasive ductal carcinoma. Patient underwent lumpectomy and radiation therapy.
John L. Prostate Cancer Identified an enlarged prostate with hypoechoic areas suggestive of cancer. Biopsy confirmed prostate cancer. Patient opted for robotic prostatectomy.
Maria R. Ovarian Cancer Found a complex ovarian cyst with solid components and increased vascularity. Surgery revealed stage II ovarian cancer. Patient underwent chemotherapy and follow-up sonography.

Future Directions in Sonography

As technology continues to advance, the future of sonography in cancer detection looks promising. Some emerging trends and innovations include:

  • Artificial Intelligence: AI algorithms are being developed to enhance the interpretation of sonography images, improving accuracy and efficiency.
  • Portable Devices: Advances in portable sonography devices make it possible to perform examinations in various settings, including remote and underserved areas.
  • Enhanced Contrast Agents: New contrast agents are being developed to improve the visibility of tumors and other abnormalities, enhancing diagnostic capabilities.
  • Integration with Other Imaging Modalities: Combining sonography with other imaging techniques, such as MRI and CT scans, can provide a more comprehensive view of internal structures and improve diagnostic accuracy.

These advancements hold the potential to further revolutionize cancer detection and treatment, making sonography an even more valuable tool in the fight against cancer.

In conclusion, sonography plays a crucial role in the early detection and diagnosis of cancer. Its non-invasive nature, lack of radiation, and real-time imaging capabilities make it a preferred choice for many diagnostic purposes. By identifying tumors, assessing lymph nodes, guiding biopsies, and monitoring treatment, sonography contributes significantly to improving patient outcomes. As technology continues to evolve, the future of sonography in cancer detection looks brighter than ever, offering new possibilities for early intervention and effective treatment.