Smooth Muscle Microscope

Smooth Muscle Microscope

Exploring the microscopic world of smooth muscle cells reveals a fascinating realm of biological complexity and functional importance. Smooth muscle cells, found in various organs and tissues throughout the body, play a crucial role in maintaining physiological functions. Understanding these cells through a smooth muscle microscope provides insights into their structure, function, and clinical significance.

Understanding Smooth Muscle Cells

Smooth muscle cells are characterized by their spindle-shaped appearance and lack of striations, unlike skeletal and cardiac muscle cells. These cells are found in the walls of hollow organs such as the intestines, uterus, and blood vessels. Their primary function is to facilitate involuntary movements, such as peristalsis in the digestive tract and vasoconstriction in blood vessels.

The Role of a Smooth Muscle Microscope

A smooth muscle microscope is an essential tool for researchers and clinicians studying these cells. It allows for detailed observation of the cellular structure, including the arrangement of actin and myosin filaments, which are responsible for muscle contraction. By examining smooth muscle cells under a microscope, scientists can gain insights into various physiological and pathological processes.

Types of Microscopes Used for Smooth Muscle Observation

Several types of microscopes can be used to study smooth muscle cells, each offering unique advantages:

  • Light Microscope: Provides basic observations of cell morphology and structure.
  • Electron Microscope: Offers high-resolution images of cellular components, including organelles and filamentous structures.
  • Confocal Microscope: Allows for three-dimensional imaging and the visualization of specific cellular components using fluorescent dyes.

Preparing Smooth Muscle Samples for Microscopic Examination

Proper sample preparation is crucial for obtaining clear and accurate images of smooth muscle cells. The following steps outline the process:

  1. Tissue Collection: Obtain smooth muscle tissue from the desired organ, ensuring minimal damage to the cells.
  2. Fixation: Fix the tissue in a solution such as formalin to preserve its structure.
  3. Sectioning: Cut thin sections of the tissue using a microtome for light microscopy or an ultramicrotome for electron microscopy.
  4. Staining: Apply appropriate stains to enhance the visibility of cellular components. Common stains include hematoxylin and eosin for light microscopy and uranyl acetate and lead citrate for electron microscopy.
  5. Mounting: Mount the stained sections on glass slides for light microscopy or grids for electron microscopy.

🔍 Note: Proper fixation and staining are critical for obtaining high-quality images. Inadequate preparation can lead to artifacts and misinterpretation of cellular structures.

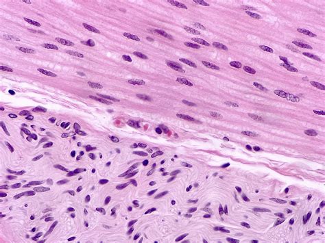
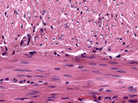
Observing Smooth Muscle Cells Under a Microscope

Once the samples are prepared, they can be observed under the appropriate microscope. Here are some key observations to look for:

  • Cell Shape: Smooth muscle cells appear spindle-shaped with tapered ends.
  • Nucleus: The nucleus is centrally located and appears oval or elongated.
  • Cytoplasm: The cytoplasm contains actin and myosin filaments, which are responsible for contraction.
  • Organelles: Various organelles, such as mitochondria and endoplasmic reticulum, are visible and play roles in cellular metabolism and protein synthesis.

Clinical Applications of Smooth Muscle Microscopy

Studying smooth muscle cells under a microscope has numerous clinical applications. It aids in the diagnosis and understanding of various diseases and conditions, including:

  • Hypertension: Abnormalities in smooth muscle cells in blood vessels can contribute to high blood pressure.
  • Gastrointestinal Disorders: Dysfunction in smooth muscle cells can lead to conditions like irritable bowel syndrome and chronic constipation.
  • Uterine Disorders: Smooth muscle cells in the uterus play a role in conditions such as endometriosis and uterine fibroids.

Advanced Techniques in Smooth Muscle Microscopy

In addition to traditional microscopy, advanced techniques offer deeper insights into smooth muscle cell biology. These include:

  • Immunofluorescence: Uses fluorescently labeled antibodies to visualize specific proteins within the cells.
  • Electron Tomography: Provides three-dimensional reconstructions of cellular structures at high resolution.
  • Super-Resolution Microscopy: Offers sub-diffraction limit resolution, allowing for detailed observation of molecular interactions within the cells.

Future Directions in Smooth Muscle Research

The field of smooth muscle research is continually evolving, driven by advancements in microscopy and molecular biology. Future directions include:

  • Single-Cell Analysis: Studying individual smooth muscle cells to understand heterogeneity and functional diversity.
  • Live-Cell Imaging: Observing dynamic processes in real-time to gain insights into cellular behavior and interactions.
  • Integrative Approaches: Combining microscopy with other techniques, such as genomics and proteomics, to obtain a comprehensive understanding of smooth muscle biology.

In conclusion, the study of smooth muscle cells through a smooth muscle microscope provides valuable insights into their structure, function, and clinical significance. By utilizing various microscopy techniques and advanced imaging methods, researchers can uncover the complexities of these cells and their roles in health and disease. This knowledge paves the way for developing targeted therapies and improving patient outcomes.

Related Terms:

  • microscopic anatomy of smooth muscle
  • smooth muscle locations
  • smooth muscle under microscope 400x
  • skeletal muscle in microscope
  • human smooth muscle under microscope
  • skeletal muscle under microscope