Small Bubbles On Face

Small Bubbles On Face

Dealing with small bubbles on face can be frustrating and embarrassing. These tiny, often painful bumps can appear suddenly and disrupt your daily routine. Understanding the causes, types, and effective treatments for small bubbles on face is crucial for managing this common skin issue. This guide will walk you through everything you need to know about small bubbles on face, from identification to prevention.

Understanding Small Bubbles on Face

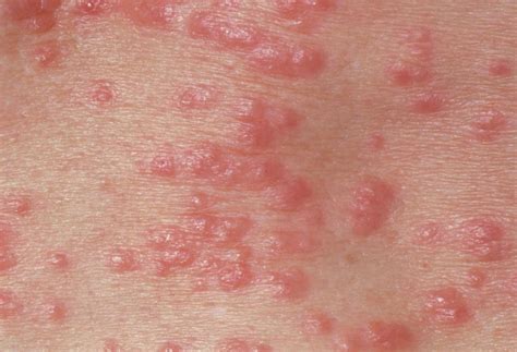
Small bubbles on face, also known as pustules or papules, are small, raised bumps that can be filled with pus or fluid. They can appear on any part of the face and are often a sign of underlying skin conditions. These bubbles can be caused by a variety of factors, including acne, allergies, and infections.

Common Causes of Small Bubbles on Face

Identifying the cause of small bubbles on face is the first step in effective treatment. Here are some of the most common causes:

  • Acne: One of the most common causes of small bubbles on face is acne. Acne occurs when hair follicles become clogged with oil and dead skin cells, leading to the formation of pimples, blackheads, and whiteheads.
  • Allergies: Allergic reactions can cause small bubbles on face. Common allergens include cosmetics, skincare products, and certain foods.
  • Infections: Bacterial, viral, or fungal infections can also lead to the formation of small bubbles on face. Conditions like folliculitis, impetigo, and herpes simplex can cause these bumps.
  • Hormonal Changes: Fluctuations in hormone levels, especially during puberty, menstruation, or pregnancy, can trigger the appearance of small bubbles on face.
  • Stress: High levels of stress can weaken the immune system and make the skin more susceptible to breakouts and infections.

Types of Small Bubbles on Face

Small bubbles on face can manifest in different forms, each requiring specific treatment approaches. Here are some of the most common types:

  • Whiteheads: These are small, white bumps that occur when a pore is completely blocked by oil and dead skin cells.
  • Blackheads: Unlike whiteheads, blackheads are open pores that are clogged with oil and dead skin cells, giving them a dark appearance.
  • Pustules: These are small, red bumps with a white or yellow center filled with pus. They are often painful and can be a sign of infection.
  • Papules: Papules are small, red, raised bumps that do not contain pus. They can be tender to the touch and are often a sign of inflammation.
  • Cysts: Cysts are large, painful lumps that are filled with pus and can be deep within the skin. They often require professional treatment.

Effective Treatments for Small Bubbles on Face

Treating small bubbles on face involves a combination of skincare routines, over-the-counter products, and sometimes professional interventions. Here are some effective treatments:

Over-the-Counter Treatments

There are several over-the-counter products that can help manage small bubbles on face:

  • Salicylic Acid: This beta hydroxy acid helps exfoliate the skin and unclog pores, making it effective for treating acne and preventing small bubbles on face.
  • Benzoyl Peroxide: This topical treatment kills bacteria and helps reduce inflammation, making it a popular choice for treating acne and small bubbles on face.
  • Tea Tree Oil: Known for its antimicrobial properties, tea tree oil can help reduce the appearance of small bubbles on face and prevent future breakouts.
  • Hydrocortisone Cream: This topical cream can help reduce inflammation and itching associated with small bubbles on face caused by allergies or infections.

Professional Treatments

For more severe cases of small bubbles on face, professional treatments may be necessary:

  • Chemical Peels: Chemical peels use acids to exfoliate the skin and unclog pores, helping to reduce the appearance of small bubbles on face.
  • Microdermabrasion: This procedure uses a special tool to exfoliate the skin, removing dead skin cells and unclogging pores.
  • Laser Therapy: Laser treatments can help reduce the appearance of small bubbles on face by targeting the bacteria and inflammation associated with acne.
  • Corticosteroid Injections: For severe cases of small bubbles on face, corticosteroid injections can help reduce inflammation and speed up healing.

Home Remedies

In addition to over-the-counter and professional treatments, there are several home remedies that can help manage small bubbles on face:

  • Warm Compress: Applying a warm compress to the affected area can help reduce inflammation and promote healing.
  • Aloe Vera: The soothing properties of aloe vera can help reduce redness and inflammation associated with small bubbles on face.
  • Honey: Honey has natural antibacterial properties that can help reduce the appearance of small bubbles on face and prevent future breakouts.
  • Turmeric: Turmeric has anti-inflammatory and antimicrobial properties that can help reduce the appearance of small bubbles on face.

💡 Note: Always perform a patch test before using any new skincare product or home remedy to ensure you do not have an allergic reaction.

Preventing Small Bubbles on Face

Preventing small bubbles on face involves maintaining a consistent skincare routine and making lifestyle changes. Here are some tips to help prevent small bubbles on face:

  • Cleanse Regularly: Wash your face twice a day with a gentle cleanser to remove dirt, oil, and dead skin cells.
  • Moisturize: Use a lightweight, oil-free moisturizer to keep your skin hydrated without clogging pores.
  • Avoid Touching Your Face: Touching your face can transfer bacteria and oil, leading to breakouts and small bubbles on face.
  • Use Non-Comedogenic Products: Choose skincare and makeup products that are labeled as non-comedogenic, meaning they won't clog pores.
  • Maintain a Healthy Diet: Eating a balanced diet rich in fruits, vegetables, and lean proteins can help improve skin health and prevent small bubbles on face.
  • Stay Hydrated: Drinking plenty of water can help keep your skin hydrated and reduce the appearance of small bubbles on face.
  • Manage Stress: High levels of stress can weaken the immune system and make the skin more susceptible to breakouts. Practice stress-reduction techniques such as meditation, yoga, or deep breathing exercises.

When to See a Dermatologist

While many cases of small bubbles on face can be managed with over-the-counter treatments and home remedies, there are times when professional help is necessary. If you experience any of the following symptoms, it's important to see a dermatologist:

  • Severe pain or discomfort
  • Rapid spread of small bubbles on face
  • Fever or chills
  • Pus-filled bumps that do not heal
  • Small bubbles on face that persist for more than a few weeks

A dermatologist can provide a thorough evaluation and recommend the most effective treatment plan for your specific condition.

Lifestyle Changes to Improve Skin Health

In addition to skincare routines and treatments, making lifestyle changes can significantly improve skin health and reduce the occurrence of small bubbles on face. Here are some lifestyle changes to consider:

  • Get Enough Sleep: Adequate sleep is essential for overall health and skin regeneration. Aim for 7-9 hours of sleep per night.
  • Exercise Regularly: Regular physical activity can improve circulation and promote healthy skin. Aim for at least 30 minutes of exercise most days of the week.
  • Avoid Smoking: Smoking can damage the skin and make it more susceptible to breakouts and infections.
  • Limit Alcohol Consumption: Excessive alcohol consumption can dehydrate the skin and exacerbate small bubbles on face.
  • Protect Your Skin from the Sun: Use a broad-spectrum sunscreen with at least SPF 30 to protect your skin from harmful UV rays.

By incorporating these lifestyle changes, you can improve your overall skin health and reduce the likelihood of developing small bubbles on face.

Common Myths About Small Bubbles on Face

There are many myths and misconceptions surrounding small bubbles on face. Understanding the facts can help you make informed decisions about your skincare routine. Here are some common myths debunked:

  • Myth: Popping Pimples Helps Them Heal Faster - Popping pimples can actually make them worse by spreading bacteria and causing further inflammation.
  • Myth: Eating Chocolate Causes Acne - While some people may be sensitive to certain foods, there is no scientific evidence linking chocolate to acne.
  • Myth: Tanning Clears Up Acne - Tanning can actually make acne worse by drying out the skin and causing further irritation.
  • Myth: Only Teenagers Get Acne - Acne can affect people of all ages, including adults.

By separating fact from fiction, you can better manage small bubbles on face and maintain healthy skin.

Small bubbles on face can be a frustrating and embarrassing issue, but with the right knowledge and treatments, you can effectively manage and prevent them. Understanding the causes, types, and effective treatments for small bubbles on face is the first step in achieving clear, healthy skin. By maintaining a consistent skincare routine, making lifestyle changes, and seeking professional help when necessary, you can reduce the occurrence of small bubbles on face and improve your overall skin health.

Related Terms:

  • forming bubbles on the skin
  • small clear bubbles on skin
  • clear bubbles on skin
  • small water blisters on skin
  • water bubbles under the skin
  • bubble on skin that itches