Simple Epithelium Cuboidal

Simple Epithelium Cuboidal

Delving into the intricate world of histology, one encounters a variety of tissue types, each with unique structures and functions. Among these, the simple epithelium cuboidal stands out due to its distinctive cuboidal shape and single-layered structure. This type of epithelium is found in various organs and plays crucial roles in secretion, absorption, and protection. Understanding the characteristics, functions, and locations of simple cuboidal epithelium provides valuable insights into the body's physiological processes.

Characteristics of Simple Cuboidal Epithelium

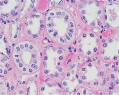
The simple epithelium cuboidal is characterized by its single layer of cuboidal cells, which are roughly as tall as they are wide. These cells have a central nucleus and are tightly packed together, forming a continuous sheet. The cuboidal shape allows for efficient secretion and absorption, making this type of epithelium well-suited for specific functions in the body.

Key characteristics include:

  • Single layer of cells
  • Cuboidal shape with a height-to-width ratio of approximately 1:1
  • Central nucleus
  • Tightly packed cells

Functions of Simple Cuboidal Epithelium

The primary functions of simple epithelium cuboidal are secretion, absorption, and protection. These functions are essential for maintaining homeostasis and ensuring the proper functioning of various organs. Here are some detailed functions:

  • Secretion: Simple cuboidal epithelium is involved in the production and release of various substances, such as enzymes, hormones, and mucus. For example, the cells lining the thyroid follicles secrete thyroid hormones, which regulate metabolism.
  • Absorption: This type of epithelium also plays a role in absorbing nutrients and other substances. In the kidney tubules, simple cuboidal epithelium helps reabsorb water, electrolytes, and other essential molecules from the filtrate.
  • Protection: Although not its primary function, simple cuboidal epithelium provides a protective barrier in some organs. For instance, it lines the ducts of various glands, protecting them from mechanical damage and infection.

Locations of Simple Cuboidal Epithelium

Simple cuboidal epithelium is found in various locations throughout the body, each with specific roles tailored to the organ's function. Some of the key locations include:

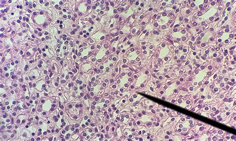
  • Kidney Tubules: In the nephrons of the kidney, simple cuboidal epithelium lines the proximal and distal convoluted tubules, as well as the collecting ducts. Here, it plays a crucial role in reabsorbing water, electrolytes, and other substances from the filtrate.
  • Thyroid Gland: The thyroid follicles, which produce thyroid hormones, are lined with simple cuboidal epithelium. These cells secrete hormones that regulate metabolism and other physiological processes.
  • Ovary and Testes: In the reproductive system, simple cuboidal epithelium lines the ovarian follicles and the seminiferous tubules of the testes. It supports the development and maturation of gametes.
  • Gallbladder: The gallbladder, which stores and concentrates bile, is lined with simple cuboidal epithelium. This epithelium helps in the absorption of water and electrolytes from the bile.
  • Pancreatic Ducts: The ducts of the pancreas, which transport pancreatic juices to the small intestine, are lined with simple cuboidal epithelium. This epithelium aids in the secretion and transport of digestive enzymes.

Microscopic Structure

The microscopic structure of simple epithelium cuboidal reveals its unique characteristics and functions. Under a microscope, the cells appear cuboidal with a central nucleus. The cells are tightly packed, forming a continuous sheet with minimal intercellular space. This structure allows for efficient secretion and absorption.

Key microscopic features include:

  • Cuboidal cells with a height-to-width ratio of approximately 1:1
  • Central nucleus
  • Tightly packed cells with minimal intercellular space
  • Presence of microvilli on the apical surface in some locations, enhancing absorption

In some locations, such as the kidney tubules, the apical surface of the cells may have microvilli, which are tiny, finger-like projections that increase the surface area for absorption. These microvilli are particularly prominent in the proximal convoluted tubules, where they facilitate the reabsorption of water, electrolytes, and other substances.

Comparisons with Other Epithelial Types

To better understand simple epithelium cuboidal, it is helpful to compare it with other types of epithelial tissue. Epithelial tissue is classified based on the number of cell layers and the shape of the cells. The main types include simple, stratified, and pseudostratified epithelia, each with different subtypes based on cell shape.

Epithelial Type Cell Layers Cell Shape Functions
Simple Squamous Epithelium Single layer Flat, scale-like cells Diffusion, filtration, and protection
Simple Cuboidal Epithelium Single layer Cuboidal cells Secretion, absorption, and protection
Simple Columnar Epithelium Single layer Columnar cells Absorption, secretion, and protection
Stratified Squamous Epithelium Multiple layers Flat, scale-like cells Protection and resistance to wear and tear
Stratified Cuboidal Epithelium Multiple layers Cuboidal cells Protection and secretion
Pseudostratified Columnar Epithelium Single layer (appears stratified) Columnar cells Secretion and movement of mucus

Each type of epithelium has unique characteristics and functions tailored to the specific needs of the organs they line. For example, simple squamous epithelium is well-suited for diffusion and filtration due to its thin, flat cells, while stratified squamous epithelium provides robust protection due to its multiple layers of cells.

📝 Note: The comparison table provides a quick reference for understanding the different types of epithelial tissue and their functions. This can be useful for students and professionals in the field of histology and anatomy.

Clinical Significance

The clinical significance of simple epithelium cuboidal lies in its role in various physiological processes and its involvement in certain pathological conditions. Understanding the functions and locations of this type of epithelium can aid in diagnosing and treating diseases affecting the organs it lines.

For instance, dysfunctions in the kidney tubules, which are lined with simple cuboidal epithelium, can lead to impaired reabsorption of water and electrolytes, resulting in conditions such as renal tubular acidosis or Fanconi syndrome. Similarly, abnormalities in the thyroid gland, where simple cuboidal epithelium secretes thyroid hormones, can cause thyroid disorders such as hypothyroidism or hyperthyroidism.

In the context of cancer, simple cuboidal epithelium can give rise to various types of tumors. For example, adenocarcinomas, which are malignant tumors of glandular origin, can arise from simple cuboidal epithelium in organs such as the thyroid, pancreas, and gallbladder. These tumors can disrupt the normal functions of the affected organs and may require surgical intervention, chemotherapy, or radiation therapy.

Additionally, simple cuboidal epithelium plays a role in the development and progression of certain infectious diseases. For instance, infections in the kidney tubules or thyroid gland can affect the function of the simple cuboidal epithelium, leading to inflammation, tissue damage, and impaired organ function.

Understanding the clinical significance of simple cuboidal epithelium is crucial for healthcare professionals, as it enables them to diagnose and treat diseases more effectively. By recognizing the unique characteristics and functions of this type of epithelium, clinicians can develop targeted therapies and interventions to improve patient outcomes.

📝 Note: The clinical significance of simple cuboidal epithelium highlights its importance in maintaining organ function and health. Healthcare professionals should be aware of the potential implications of dysfunctions or abnormalities in this type of epithelium.

Conclusion

In summary, simple epithelium cuboidal is a vital component of the body’s histological landscape, playing crucial roles in secretion, absorption, and protection. Its unique cuboidal shape and single-layered structure make it well-suited for specific functions in various organs, including the kidney, thyroid, ovary, testes, gallbladder, and pancreas. Understanding the characteristics, functions, and locations of simple cuboidal epithelium provides valuable insights into the body’s physiological processes and the clinical significance of this type of tissue. By appreciating the intricate details of simple cuboidal epithelium, we can gain a deeper understanding of the complex mechanisms that govern human health and disease.

Related Terms:

  • simple cuboidal epithelium meaning
  • simple cuboidal epithelium function
  • simple cuboidal epithelium location function
  • simple cuboidal epithelium location
  • simple cuboidal epithelium diagram
  • kidney simple cuboidal epithelium