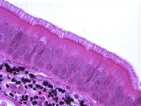
Simple Columnar Epithelium

Simple Columnar Epithelium

The human body is a marvel of complexity, composed of various tissues and organs that work in harmony to maintain life. Among the many types of tissues, simple columnar epithelium stands out due to its unique structure and diverse functions. This type of epithelium is characterized by a single layer of tall, column-shaped cells that line various surfaces within the body. Understanding the structure, functions, and locations of simple columnar epithelium provides valuable insights into the intricate workings of the human body.

Structure of Simple Columnar Epithelium

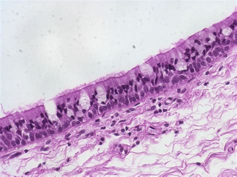
Simple columnar epithelium is named for its distinctive column-shaped cells, which are taller than they are wide. These cells are arranged in a single layer, making the epithelium "simple." The nuclei of these cells are typically located near the base, giving the cells a characteristic appearance. The apical surface of the cells often features microvilli or cilia, which enhance the cell's absorptive or secretory capabilities.

The cells of simple columnar epithelium are tightly packed, with minimal intercellular space. This arrangement allows for efficient transport of substances across the epithelium. The cells are held together by tight junctions, which prevent the passage of materials between the cells, ensuring that substances can only pass through the cells themselves.

Functions of Simple Columnar Epithelium

Simple columnar epithelium serves several critical functions in the body, primarily related to absorption, secretion, and protection. Here are some of its key roles:

  • Absorption: The presence of microvilli on the apical surface of the cells increases the surface area available for absorption. This is particularly important in the digestive system, where nutrients from food must be absorbed into the bloodstream.
  • Secretion: Simple columnar epithelium is involved in the production and release of various substances, such as mucus, enzymes, and hormones. This secretory function is crucial for maintaining the health and functionality of various organs.
  • Protection: The tight junctions between the cells provide a barrier that protects underlying tissues from harmful substances and pathogens. This protective function is essential in the respiratory and digestive tracts, where the epithelium is exposed to external environments.

Locations of Simple Columnar Epithelium

Simple columnar epithelium is found in various locations throughout the body, each with specific adaptations to perform its functions effectively. Some of the key locations include:

  • Digestive System: Simple columnar epithelium lines the stomach, intestines, and gallbladder. In the stomach, it secretes mucus and enzymes necessary for digestion. In the intestines, it absorbs nutrients from digested food. In the gallbladder, it aids in the storage and concentration of bile.
  • Respiratory System: Simple columnar epithelium with cilia is found in the bronchi and bronchioles of the lungs. The cilia help to move mucus and trapped particles out of the respiratory tract, preventing infections and maintaining clear airways.
  • Reproductive System: In females, simple columnar epithelium lines the fallopian tubes and the endometrium of the uterus. It plays a role in the transport of the ovum and the implantation of the fertilized egg.
  • Urinary System: Simple columnar epithelium is found in the ureters and parts of the urinary bladder. It helps in the transport of urine from the kidneys to the bladder and then to the urethra for excretion.

Types of Simple Columnar Epithelium

Simple columnar epithelium can be further classified based on the presence of specialized structures on the apical surface of the cells. The two main types are:

  • Non-ciliated Simple Columnar Epithelium: This type lacks cilia on the apical surface. It is commonly found in the digestive system, where it plays a role in absorption and secretion. For example, the cells lining the intestines have microvilli that increase the surface area for nutrient absorption.
  • Ciliated Simple Columnar Epithelium: This type features cilia on the apical surface. The cilia are hair-like projections that beat in a coordinated manner to move fluids or particles along the surface. This type is found in the respiratory tract, where it helps to clear mucus and trapped particles from the airways.

Importance of Simple Columnar Epithelium

Simple columnar epithelium is crucial for the proper functioning of various organs and systems in the body. Its roles in absorption, secretion, and protection are essential for maintaining homeostasis and overall health. For instance, in the digestive system, the absorption of nutrients by simple columnar epithelium ensures that the body receives the necessary fuel and building blocks for growth and repair. In the respiratory system, the ciliated simple columnar epithelium helps to keep the airways clear, preventing infections and ensuring efficient gas exchange.

Moreover, the secretory function of simple columnar epithelium is vital for the production of various substances that support physiological processes. For example, the mucus secreted by the epithelium in the respiratory and digestive tracts provides a protective barrier against pathogens and irritants. The enzymes and hormones secreted by the epithelium in the digestive system facilitate the breakdown of food and the regulation of metabolic processes.

Diseases and Disorders

Dysfunction or damage to simple columnar epithelium can lead to various diseases and disorders. Some of the conditions associated with this type of epithelium include:

  • Inflammatory Bowel Disease (IBD): IBD, which includes conditions like Crohn's disease and ulcerative colitis, involves inflammation and damage to the simple columnar epithelium of the digestive tract. This can lead to impaired absorption, chronic diarrhea, and other symptoms.
  • Cystic Fibrosis: This genetic disorder affects the ciliated simple columnar epithelium in the respiratory tract. The thick, sticky mucus produced in cystic fibrosis patients impairs the function of the cilia, leading to recurrent respiratory infections and lung damage.
  • Gastritis: Inflammation of the stomach lining, which is composed of simple columnar epithelium, can lead to gastritis. This condition can cause symptoms such as abdominal pain, nausea, and vomiting.

Understanding the structure and function of simple columnar epithelium is essential for diagnosing and treating these conditions. Advances in medical research continue to shed light on the mechanisms underlying these diseases, paving the way for more effective treatments and therapies.

📝 Note: The information provided in this blog post is for educational purposes only and should not be used as a substitute for professional medical advice. Always consult a healthcare provider for any health-related concerns.

Simple columnar epithelium is a fundamental component of the human body, playing a crucial role in various physiological processes. Its unique structure and diverse functions make it an essential topic of study in anatomy and physiology. By understanding the intricacies of simple columnar epithelium, we gain a deeper appreciation for the complexity and elegance of the human body.

Related Terms:

  • stratified columnar epithelium
  • simple squamous epithelium
  • simple columnar epithelium under microscope
  • simple columnar epithelium location
  • transitional epithelium
  • simple columnar epithelium histology labeled