Shoulder Xray Normal

Shoulder Xray Normal

Understanding the significance of a Shoulder Xray Normal is crucial for both medical professionals and patients. A normal shoulder X-ray provides valuable insights into the structure and health of the shoulder joint, helping to rule out various conditions and guide appropriate treatment. This post delves into the details of a normal shoulder X-ray, its importance, and what it reveals about the shoulder's anatomy and function.

Understanding Shoulder Anatomy

The shoulder is a complex joint composed of several bones, muscles, and ligaments. The primary bones involved are the humerus (upper arm bone), scapula (shoulder blade), and clavicle (collarbone). The shoulder joint is a ball-and-socket joint, allowing for a wide range of motion. Understanding the anatomy is essential for interpreting a Shoulder Xray Normal.

What is a Shoulder X-ray?

A shoulder X-ray is a diagnostic imaging test that uses electromagnetic radiation to produce images of the shoulder joint. These images help healthcare providers assess the bones, joints, and surrounding tissues for any abnormalities. A Shoulder Xray Normal indicates that the shoulder joint appears healthy and free from fractures, dislocations, or other issues.

Indications for a Shoulder X-ray

Shoulder X-rays are commonly ordered for various reasons, including:

  • Trauma or injury to the shoulder
  • Persistent shoulder pain
  • Limited range of motion
  • Suspected fractures or dislocations
  • Evaluation of arthritis or other degenerative conditions

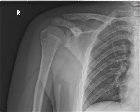
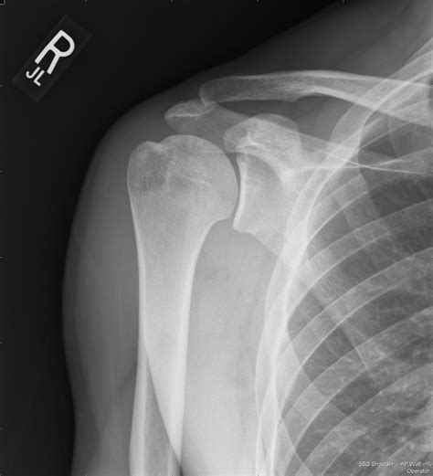
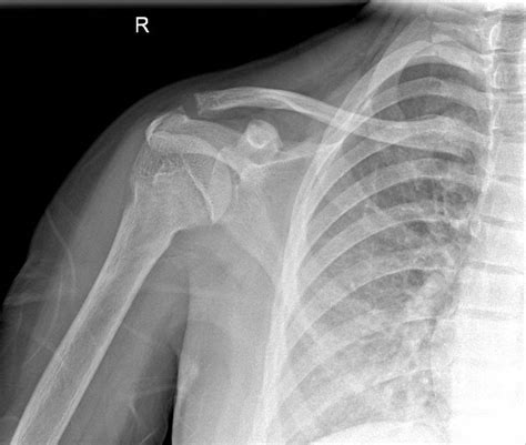
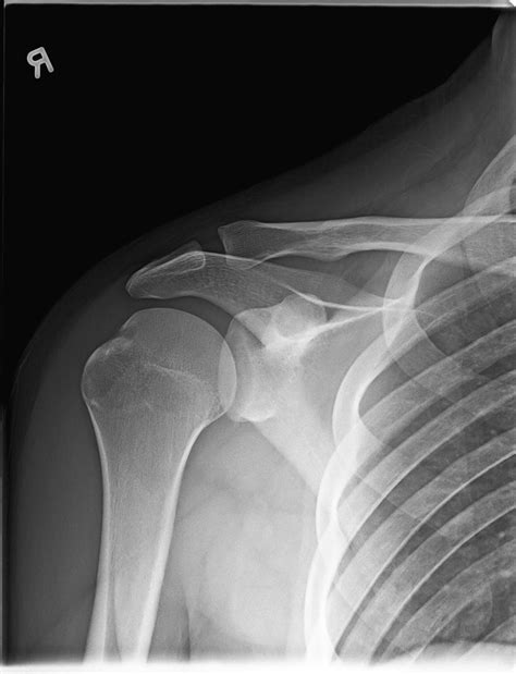
Interpreting a Shoulder Xray Normal

When a radiologist reviews a shoulder X-ray, they look for specific features that indicate a normal shoulder joint. These features include:

  • Alignment of Bones: The humeral head should be properly aligned with the glenoid fossa of the scapula.
  • Bone Density: The bones should have a uniform density without any areas of increased or decreased density.
  • Joint Spaces: The joint spaces should be uniform and without any narrowing or irregularities.
  • Soft Tissues: The soft tissues around the joint should appear normal without any swelling or abnormalities.

If all these features are present, the X-ray is considered Shoulder Xray Normal.

Common Findings in a Shoulder Xray Normal

A normal shoulder X-ray typically reveals the following:

  • Humeral Head: The head of the humerus should be round and well-defined, sitting snugly in the glenoid fossa.
  • Glenoid Fossa: The glenoid fossa should be smooth and without any erosions or irregularities.
  • Acromioclavicular Joint: This joint should be well-aligned and without any signs of separation or dislocation.
  • Clavicle: The clavicle should be intact and without any fractures or deformities.
  • Soft Tissues: The soft tissues around the shoulder should appear normal, with no signs of swelling or inflammation.

Importance of a Shoulder Xray Normal

A Shoulder Xray Normal is important for several reasons:

  • Ruling Out Fractures: It helps rule out fractures or dislocations, which are common causes of shoulder pain and limited mobility.
  • Guiding Treatment: A normal X-ray can guide treatment decisions, such as whether physical therapy or further diagnostic tests are needed.
  • Monitoring Progress: For patients with known shoulder conditions, a normal X-ray can monitor the progress of treatment and ensure that the condition is not worsening.

When a Shoulder X-ray is Not Normal

While a Shoulder Xray Normal is reassuring, it is also important to understand what abnormalities might be seen on a shoulder X-ray. Common findings that indicate an abnormal shoulder X-ray include:

  • Fractures: Breaks in the bones, such as the humerus, scapula, or clavicle.
  • Dislocations: The humeral head is not properly aligned with the glenoid fossa.
  • Arthritis: Narrowing of the joint spaces and bone spurs.
  • Soft Tissue Injuries: Swelling or inflammation around the joint.

If any of these abnormalities are present, further evaluation and treatment may be necessary.

Preparing for a Shoulder X-ray

Preparing for a shoulder X-ray is relatively straightforward. Here are some steps to follow:

  • Remove Jewelry and Metal Objects: Remove any jewelry, clothing, or metal objects from the shoulder area, as they can interfere with the X-ray images.
  • Wear Comfortable Clothing: Wear comfortable clothing that allows easy access to the shoulder.
  • Follow Instructions: Follow any specific instructions provided by the healthcare provider or radiology technician.

📝 Note: Inform the healthcare provider if you are pregnant, as X-rays can potentially harm a developing fetus.

What to Expect During a Shoulder X-ray

The procedure for a shoulder X-ray is typically quick and painless. Here is what to expect:

  • Positioning: You will be asked to stand or sit in front of the X-ray machine. The technician will position your shoulder to get the best possible images.
  • Exposure: The technician will step behind a protective barrier and take the X-ray. You may be asked to hold your breath briefly to minimize movement.
  • Multiple Views: Several views of the shoulder may be taken from different angles to provide a comprehensive assessment.

After the X-ray, you can resume your normal activities unless instructed otherwise by your healthcare provider.

Follow-Up After a Shoulder X-ray

After a shoulder X-ray, the images will be reviewed by a radiologist, who will provide a report to your healthcare provider. Depending on the results, you may need to follow up with your provider for further evaluation or treatment. If the X-ray is Shoulder Xray Normal, your provider may recommend:

  • Physical Therapy: To improve shoulder strength and mobility.
  • Pain Management: Medications or other treatments to manage pain.
  • Further Testing: Additional diagnostic tests, such as an MRI or CT scan, if further evaluation is needed.

If the X-ray reveals abnormalities, your provider will discuss the findings and develop a treatment plan tailored to your specific condition.

Conclusion

A Shoulder Xray Normal is a crucial diagnostic tool that provides valuable information about the health and structure of the shoulder joint. Understanding what a normal shoulder X-ray reveals and its importance can help patients and healthcare providers make informed decisions about treatment and management. Whether you are experiencing shoulder pain or have a known shoulder condition, a normal shoulder X-ray can offer reassurance and guide appropriate care.

Related Terms:

  • normal shoulder x ray left
  • normal shoulder x ray measurements
  • normal shoulder joint xray
  • normal adult shoulder xray
  • normal right shoulder x rays
  • adult shoulder xray