Shoulder X Ray Views

Shoulder X Ray Views

Radiology plays a crucial role in the diagnosis and management of shoulder injuries and conditions. One of the most common imaging techniques used is the Shoulder X Ray Views. These views provide valuable information about the bones, joints, and surrounding tissues, helping healthcare professionals make accurate diagnoses and treatment plans.

Understanding Shoulder X Ray Views

Shoulder X-ray views are essential for evaluating various shoulder conditions, including fractures, dislocations, arthritis, and soft tissue injuries. The standard views typically include:

  • Anterior-Posterior (AP) view
  • Lateral view
  • Scapular Y view
  • Axillary view

Each view offers a unique perspective on the shoulder anatomy, allowing for a comprehensive assessment.

Types of Shoulder X Ray Views

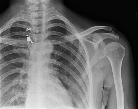
Anterior-Posterior (AP) View

The AP view is the most common and provides a frontal view of the shoulder. It is useful for assessing the glenohumeral joint, humeral head, and proximal humerus. This view helps identify fractures, dislocations, and degenerative changes in the shoulder joint.

Lateral View

The lateral view offers a side profile of the shoulder, highlighting the relationship between the humeral head and the glenoid fossa. It is particularly useful for detecting anterior or posterior dislocations and assessing the integrity of the humeral shaft.

Scapular Y View

The scapular Y view, also known as the scapular lateral view, provides a clear image of the glenohumeral joint and the scapula. It is named for the Y-shaped appearance of the scapula in this view. This view is helpful for evaluating fractures of the scapula and assessing the alignment of the glenohumeral joint.

Axillary View

The axillary view is taken with the arm abducted and the X-ray beam directed from below the shoulder. It provides a view of the glenohumeral joint from below, making it ideal for detecting dislocations and assessing the position of the humeral head relative to the glenoid fossa. This view is particularly useful in cases of suspected anterior or posterior dislocations.

Indications for Shoulder X Ray Views

Shoulder X-ray views are indicated in various clinical scenarios, including:

  • Trauma, such as falls or direct blows to the shoulder
  • Suspected fractures or dislocations
  • Chronic shoulder pain or stiffness
  • Evaluation of degenerative joint disease, such as osteoarthritis
  • Assessment of soft tissue injuries, such as rotator cuff tears

These views are often the first-line imaging modality due to their accessibility, cost-effectiveness, and ability to provide detailed information about the shoulder anatomy.

Interpreting Shoulder X Ray Views

Interpreting shoulder X-ray views requires a systematic approach to ensure that all relevant structures are assessed. Key areas to focus on include:

  • The glenohumeral joint for signs of dislocation or arthritis
  • The humeral head and neck for fractures or deformities
  • The scapula for fractures or abnormalities
  • The soft tissues for any signs of swelling or calcification

Radiologists and orthopedic surgeons use these views to identify specific pathologies and guide treatment decisions.

Common Findings in Shoulder X Ray Views

Several common findings can be identified through shoulder X-ray views, including:

  • Fractures of the humeral head, neck, or shaft
  • Dislocations of the glenohumeral joint
  • Degenerative changes, such as osteoarthritis
  • Soft tissue calcifications, indicating conditions like calcific tendinitis
  • Bone spurs or osteophytes, indicating chronic joint disease

These findings help in diagnosing the underlying condition and planning appropriate management strategies.

Advanced Imaging Techniques

While shoulder X-ray views are highly informative, there are situations where advanced imaging techniques may be necessary. These include:

  • Computed Tomography (CT) scans for detailed bone structure assessment
  • Magnetic Resonance Imaging (MRI) for evaluating soft tissue injuries and rotator cuff tears
  • Ultrasound for dynamic assessment of soft tissue structures

These advanced techniques provide additional information that can complement the findings from shoulder X-ray views.

Preparation and Procedure for Shoulder X Ray Views

Preparing for a shoulder X-ray is generally straightforward. Patients are typically asked to remove any jewelry or clothing that may interfere with the imaging process. The procedure itself is quick and painless, involving the patient standing or sitting in various positions to capture the different views.

During the procedure, the radiographer will position the patient and the X-ray machine to obtain the necessary views. The patient may be asked to hold their breath briefly to minimize movement and ensure clear images.

📝 Note: Patients with metal implants or pacemakers should inform the radiographer, as these may affect the imaging process.

Benefits and Limitations of Shoulder X Ray Views

Shoulder X-ray views offer several benefits, including:

  • Quick and non-invasive procedure
  • Cost-effective compared to advanced imaging techniques
  • Provides detailed information about bone structures
  • Widely available in most healthcare settings

However, there are also limitations to consider:

  • Limited visualization of soft tissue structures
  • May not detect subtle fractures or dislocations
  • Exposure to ionizing radiation

Despite these limitations, shoulder X-ray views remain a valuable tool in the diagnostic arsenal of healthcare professionals.

Conclusion

Shoulder X-ray views are an essential component of diagnostic imaging for shoulder injuries and conditions. They provide detailed information about the bone structures and joints, aiding in accurate diagnosis and treatment planning. While advanced imaging techniques offer additional insights, shoulder X-ray views remain a cost-effective and accessible first-line imaging modality. Understanding the different views and their indications is crucial for healthcare professionals to make informed decisions and improve patient outcomes.

Related Terms:

  • routine shoulder x ray views
  • shoulder lateral view x ray
  • ap shoulder x ray positioning
  • shoulder x ray guidelines
  • internal and external shoulder xrays
  • abnormal shoulder xrays