Shotty Lymph Nodes

Shotty Lymph Nodes

Understanding the intricacies of *shotty lymph nodes* is crucial for anyone dealing with lymph node issues. Lymph nodes are small, bean-shaped structures that play a vital role in the body's immune system. They act as filters, trapping and destroying foreign particles and cancer cells. When these nodes become enlarged or swollen, they are often described as *shotty lymph nodes*. This condition can be a sign of various underlying health issues, ranging from infections to more serious conditions like cancer.

What Are Shotty Lymph Nodes?

*Shotty lymph nodes* refer to lymph nodes that are small, firm, and easily palpable. The term "shotty" comes from the resemblance of these nodes to small shot pellets. These nodes are typically less than 1 cm in size and are often found in the neck, armpits, and groin areas. While they can be a normal finding in some individuals, they can also indicate an underlying health issue that requires medical attention.

Causes of Shotty Lymph Nodes

The causes of *shotty lymph nodes* can vary widely. Some of the most common causes include:

  • Infections: Bacterial, viral, or fungal infections can cause lymph nodes to swell. Common infections include strep throat, mononucleosis, and HIV.
  • Autoimmune Disorders: Conditions like rheumatoid arthritis and lupus can cause lymph nodes to enlarge.
  • Cancer: Certain types of cancer, such as lymphoma and leukemia, can cause *shotty lymph nodes*.
  • Allergies: Allergic reactions can sometimes lead to swollen lymph nodes.
  • Medications: Certain medications can cause lymph nodes to enlarge as a side effect.

Symptoms Associated with Shotty Lymph Nodes

In many cases, *shotty lymph nodes* do not cause any symptoms. However, when symptoms are present, they may include:

  • Swelling or tenderness in the lymph node area
  • Fever
  • Night sweats
  • Fatigue
  • Weight loss
  • Sore throat

If you experience any of these symptoms along with *shotty lymph nodes*, it is important to consult a healthcare provider for a proper evaluation.

Diagnosing Shotty Lymph Nodes

Diagnosing the cause of *shotty lymph nodes* involves a thorough medical evaluation. The diagnostic process may include:

  • Physical Examination: A healthcare provider will examine the lymph nodes and check for any signs of infection or other abnormalities.
  • Blood Tests: Blood tests can help identify infections, autoimmune disorders, or other underlying conditions.
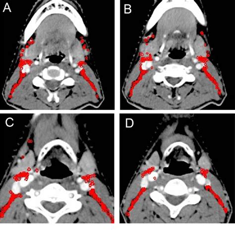
  • Imaging Studies: Imaging tests such as X-rays, CT scans, or MRIs may be used to visualize the lymph nodes and surrounding tissues.
  • Biopsy: In some cases, a biopsy of the lymph node may be necessary to determine the cause of the swelling. This involves removing a small sample of the lymph node tissue for laboratory analysis.

Treatment Options for Shotty Lymph Nodes

The treatment for *shotty lymph nodes* depends on the underlying cause. Some common treatment options include:

  • Antibiotics: If the cause is a bacterial infection, antibiotics may be prescribed.
  • Antiviral Medications: For viral infections, antiviral medications may be used.
  • Anti-inflammatory Drugs: Nonsteroidal anti-inflammatory drugs (NSAIDs) can help reduce inflammation and swelling.
  • Immunosuppressive Drugs: For autoimmune disorders, immunosuppressive drugs may be prescribed to control the immune system's response.
  • Chemotherapy or Radiation Therapy: If the cause is cancer, chemotherapy or radiation therapy may be necessary.

When to Seek Medical Attention

While *shotty lymph nodes* can sometimes be a normal finding, it is important to seek medical attention if you experience any of the following:

  • Lymph nodes that are larger than 1 cm
  • Lymph nodes that are tender or painful
  • Lymph nodes that are accompanied by fever, night sweats, or unexplained weight loss
  • Lymph nodes that do not go away after a few weeks

Early detection and treatment of the underlying cause can help prevent complications and improve outcomes.

Preventing Shotty Lymph Nodes

While not all cases of *shotty lymph nodes* can be prevented, there are some steps you can take to reduce your risk:

  • Practice Good Hygiene: Regular hand washing and avoiding close contact with sick individuals can help prevent infections.
  • Get Vaccinated: Vaccinations can protect against certain infections that can cause lymph node swelling.
  • Maintain a Healthy Lifestyle: A balanced diet, regular exercise, and adequate sleep can help boost your immune system.
  • Avoid Allergens: If you have allergies, try to avoid known allergens to prevent allergic reactions.

📌 Note: Always consult a healthcare provider for personalized advice on preventing and managing *shotty lymph nodes*.

Living with Shotty Lymph Nodes

Living with *shotty lymph nodes* can be challenging, especially if the underlying cause is a chronic condition. However, with proper management and treatment, many individuals can lead normal, active lives. It is important to work closely with your healthcare provider to develop a treatment plan that addresses your specific needs and concerns.

Regular follow-up appointments and monitoring can help ensure that any changes in your condition are detected early and addressed promptly. Additionally, maintaining a healthy lifestyle and avoiding known triggers can help reduce the frequency and severity of symptoms.

Support groups and online communities can also be valuable resources for individuals living with *shotty lymph nodes*. Connecting with others who share similar experiences can provide emotional support, practical advice, and a sense of community.

In some cases, lifestyle modifications may be recommended to help manage symptoms and improve overall well-being. These may include:

  • Dietary Changes: A balanced diet rich in fruits, vegetables, and lean proteins can help support immune function.
  • Exercise: Regular physical activity can help reduce inflammation and improve overall health.
  • Stress Management: Techniques such as meditation, yoga, and deep breathing exercises can help manage stress and improve mental well-being.
  • Adequate Sleep: Getting enough sleep is essential for a healthy immune system.

It is important to remember that everyone's experience with *shotty lymph nodes* is unique, and what works for one person may not work for another. Working closely with your healthcare provider can help you develop a personalized plan that addresses your specific needs and concerns.

In some cases, additional testing or procedures may be recommended to monitor the condition and ensure that it is being managed effectively. These may include:

  • Blood Tests: Regular blood tests can help monitor immune function and detect any changes in the underlying condition.
  • Imaging Studies: Imaging tests such as X-rays, CT scans, or MRIs may be used to visualize the lymph nodes and surrounding tissues.
  • Biopsies: In some cases, a biopsy of the lymph node may be necessary to determine the cause of the swelling.

Regular follow-up appointments and monitoring can help ensure that any changes in your condition are detected early and addressed promptly. Additionally, maintaining a healthy lifestyle and avoiding known triggers can help reduce the frequency and severity of symptoms.

Support groups and online communities can also be valuable resources for individuals living with *shotty lymph nodes*. Connecting with others who share similar experiences can provide emotional support, practical advice, and a sense of community.

In some cases, lifestyle modifications may be recommended to help manage symptoms and improve overall well-being. These may include:

  • Dietary Changes: A balanced diet rich in fruits, vegetables, and lean proteins can help support immune function.
  • Exercise: Regular physical activity can help reduce inflammation and improve overall health.
  • Stress Management: Techniques such as meditation, yoga, and deep breathing exercises can help manage stress and improve mental well-being.
  • Adequate Sleep: Getting enough sleep is essential for a healthy immune system.

It is important to remember that everyone's experience with *shotty lymph nodes* is unique, and what works for one person may not work for another. Working closely with your healthcare provider can help you develop a personalized plan that addresses your specific needs and concerns.

In some cases, additional testing or procedures may be recommended to monitor the condition and ensure that it is being managed effectively. These may include:

  • Blood Tests: Regular blood tests can help monitor immune function and detect any changes in the underlying condition.
  • Imaging Studies: Imaging tests such as X-rays, CT scans, or MRIs may be used to visualize the lymph nodes and surrounding tissues.
  • Biopsies: In some cases, a biopsy of the lymph node may be necessary to determine the cause of the swelling.

Regular follow-up appointments and monitoring can help ensure that any changes in your condition are detected early and addressed promptly. Additionally, maintaining a healthy lifestyle and avoiding known triggers can help reduce the frequency and severity of symptoms.

Support groups and online communities can also be valuable resources for individuals living with *shotty lymph nodes*. Connecting with others who share similar experiences can provide emotional support, practical advice, and a sense of community.

In some cases, lifestyle modifications may be recommended to help manage symptoms and improve overall well-being. These may include:

  • Dietary Changes: A balanced diet rich in fruits, vegetables, and lean proteins can help support immune function.
  • Exercise: Regular physical activity can help reduce inflammation and improve overall health.
  • Stress Management: Techniques such as meditation, yoga, and deep breathing exercises can help manage stress and improve mental well-being.
  • Adequate Sleep: Getting enough sleep is essential for a healthy immune system.

It is important to remember that everyone's experience with *shotty lymph nodes* is unique, and what works for one person may not work for another. Working closely with your healthcare provider can help you develop a personalized plan that addresses your specific needs and concerns.

In some cases, additional testing or procedures may be recommended to monitor the condition and ensure that it is being managed effectively. These may include:

  • Blood Tests: Regular blood tests can help monitor immune function and detect any changes in the underlying condition.
  • Imaging Studies: Imaging tests such as X-rays, CT scans, or MRIs may be used to visualize the lymph nodes and surrounding tissues.
  • Biopsies: In some cases, a biopsy of the lymph node may be necessary to determine the cause of the swelling.

Regular follow-up appointments and monitoring can help ensure that any changes in your condition are detected early and addressed promptly. Additionally, maintaining a healthy lifestyle and avoiding known triggers can help reduce the frequency and severity of symptoms.

Support groups and online communities can also be valuable resources for individuals living with *shotty lymph nodes*. Connecting with others who share similar experiences can provide emotional support, practical advice, and a sense of community.

In some cases, lifestyle modifications may be recommended to help manage symptoms and improve overall well-being. These may include:

  • Dietary Changes: A balanced diet rich in fruits, vegetables, and lean proteins can help support immune function.
  • Exercise: Regular physical activity can help reduce inflammation and improve overall health.
  • Stress Management: Techniques such as meditation, yoga, and deep breathing exercises can help manage stress and improve mental well-being.
  • Adequate Sleep: Getting enough sleep is essential for a healthy immune system.

It is important to remember that everyone's experience with *shotty lymph nodes* is unique, and what works for one person may not work for another. Working closely with your healthcare provider can help you develop a personalized plan that addresses your specific needs and concerns.

In some cases, additional testing or procedures may be recommended to monitor the condition and ensure that it is being managed effectively. These may include:

  • Blood Tests: Regular blood tests can help monitor immune function and detect any changes in the underlying condition.
  • Imaging Studies: Imaging tests such as X-rays, CT scans, or MRIs may be used to visualize the lymph nodes and surrounding tissues.
  • Biopsies: In some cases, a biopsy of the lymph node may be necessary to determine the cause of the swelling.

Regular follow-up appointments and monitoring can help ensure that any changes in your condition are detected early and addressed promptly. Additionally, maintaining a healthy lifestyle and avoiding known triggers can help reduce the frequency and severity of symptoms.

Support groups and online communities can also be valuable resources for individuals living with *shotty lymph nodes*. Connecting with others who share similar experiences can provide emotional support, practical advice, and a sense of community.

In some cases, lifestyle modifications may be recommended to help manage symptoms and improve overall well-being. These may include:

  • Dietary Changes: A balanced diet rich in fruits, vegetables, and lean proteins can help support immune function.
  • Exercise: Regular physical activity can help reduce inflammation and improve overall health.
  • Stress Management: Techniques such as meditation, yoga, and deep breathing exercises can help manage stress and improve mental well-being.
  • Adequate Sleep: Getting enough sleep is essential for a healthy immune system.

It is important to remember that everyone's experience with *shotty lymph nodes* is unique, and what works for one person may not work for another. Working closely with your healthcare provider can help you develop a personalized plan that addresses your specific needs and concerns.

In some cases, additional testing or procedures may be recommended to monitor the condition and ensure that it is being managed effectively. These may include:

  • Blood Tests: Regular blood tests can help monitor immune function and detect any changes in the underlying condition.
  • Imaging Studies: Imaging tests such as X-rays, CT scans, or MRIs may be used to visualize the lymph nodes and surrounding tissues.
  • Biopsies: In some cases, a biopsy of the lymph node may be necessary to determine the cause of the swelling.

Regular follow-up appointments and monitoring can help ensure that any changes in your condition are detected early and addressed promptly. Additionally, maintaining a healthy lifestyle and avoiding known triggers can help reduce the frequency and severity of symptoms.

Support groups and online communities can also be valuable resources for individuals living with *shotty lymph nodes*. Connecting with others who share similar experiences can provide emotional support, practical advice, and a sense of community.

In some cases, lifestyle modifications may be recommended to help manage symptoms and improve overall well-being. These may include:

  • Dietary Changes: A balanced diet rich in fruits, vegetables, and lean proteins can help support immune function.
  • Exercise: Regular physical activity can help reduce inflammation and improve overall health.
  • Stress Management: Techniques such as meditation, yoga, and deep breathing exercises can help manage stress and improve mental well-being.
  • Adequate Sleep: Getting enough sleep is essential for a healthy immune system.

It is important to remember that everyone's experience with *shotty lymph nodes* is unique, and what works for one person may not work for another. Working closely with your healthcare provider can help you develop a personalized plan that addresses your specific needs and concerns.

In some cases, additional testing or procedures may be recommended to monitor the condition and ensure that it is being managed effectively. These may include:

  • Blood Tests: Regular blood tests can help monitor immune function and detect any changes in the underlying condition.
  • Imaging Studies: Imaging tests such as X-rays, CT scans, or MRIs may be used to visualize the lymph nodes and surrounding tissues.
  • Biopsies: In some cases, a biopsy of the lymph node may be necessary to determine the cause of the swelling.

Regular follow-up appointments and monitoring can help ensure that any changes in your condition are detected early and addressed promptly. Additionally, maintaining a healthy lifestyle and avoiding known triggers can help reduce the frequency and severity of symptoms.

Support groups and online communities can also be valuable resources for individuals living with *shotty lymph nodes*. Connecting with others who share similar experiences can provide emotional support, practical advice, and a sense of community.

In some cases, lifestyle modifications may be recommended to help manage symptoms and improve overall well-being. These may include:

  • Dietary Changes: A balanced diet rich in fruits, vegetables, and lean proteins can help support immune function.
  • Exercise: Regular physical activity can help reduce inflammation and improve overall health.
  • Stress Management: Techniques such as meditation, yoga, and deep breathing exercises can help manage stress and improve mental well-being.
  • Adequate Sleep: Getting enough sleep is essential for a healthy immune system.

It is important to remember that everyone's experience with *shotty lymph nodes* is unique, and what works for one person may not work for another. Working closely with your healthcare provider can help you develop a personalized plan that addresses your specific needs and concerns.

In some cases, additional testing or procedures may be recommended to monitor the condition and ensure that it is being managed effectively. These may include:

  • Blood Tests: Regular blood tests can help monitor immune function and detect any changes in the underlying condition.
  • Imaging Studies: Imaging tests

Related Terms:

  • shotty vs shoddy lymph nodes
  • shotty lymph nodes radiology
  • lymphadenopathy
  • shotty lymph nodes icd 10
  • shotty vs focal lymph nodes
  • shotty lymphadenopathy