Short Umbilical Cord

Short Umbilical Cord

Understanding the complexities of pregnancy and childbirth involves delving into various aspects of fetal development, one of which is the umbilical cord. The umbilical cord is a vital lifeline that connects the developing fetus to the placenta, facilitating the exchange of nutrients, oxygen, and waste products. One condition that can arise during pregnancy is a short umbilical cord. This condition, while relatively rare, can have significant implications for both the mother and the baby. This post aims to provide a comprehensive overview of a short umbilical cord, its causes, potential risks, and management strategies.

What is a Short Umbilical Cord?

A short umbilical cord is a condition where the umbilical cord is shorter than the average length. Typically, the umbilical cord is about 50-60 centimeters (20-24 inches) long at term. A cord that is significantly shorter than this can pose challenges during pregnancy and delivery. The exact definition of what constitutes a "short" umbilical cord can vary, but generally, it is considered short if it is less than 35 centimeters (14 inches) long.

Causes of a Short Umbilical Cord

The exact causes of a short umbilical cord are not fully understood, but several factors have been identified as potential contributors:

  • Genetic Factors: There may be a genetic predisposition to having a shorter umbilical cord.
  • Maternal Health: Certain maternal health conditions, such as diabetes or hypertension, can affect the development of the umbilical cord.
  • Placental Abnormalities: Issues with the placenta, such as placental abruption or placenta previa, can impact the length of the umbilical cord.
  • Fetal Position: The position of the fetus in the uterus can also influence the length of the umbilical cord.

Risks Associated with a Short Umbilical Cord

A short umbilical cord can present several risks to both the mother and the baby. Some of the potential complications include:

  • Fetal Distress: A short umbilical cord can restrict the flow of blood and nutrients to the fetus, leading to fetal distress.
  • Premature Birth: The condition can increase the risk of premature birth, as the fetus may not receive adequate nourishment in the womb.
  • Cesarean Delivery: A short umbilical cord may necessitate a cesarean delivery to ensure the safe birth of the baby.
  • Umbilical Cord Compression: The shorter length can increase the risk of umbilical cord compression, which can further restrict blood flow and oxygen supply to the fetus.

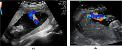
Diagnosis of a Short Umbilical Cord

Diagnosing a short umbilical cord typically involves ultrasound examinations. Ultrasound technology allows healthcare providers to visualize the umbilical cord and measure its length. Regular prenatal check-ups and ultrasounds can help detect this condition early in the pregnancy. Early detection is crucial for managing the risks associated with a short umbilical cord.

Management and Treatment Options

Managing a short umbilical cord involves a multidisciplinary approach, including regular monitoring, prenatal care, and sometimes specialized interventions. Here are some key strategies:

  • Regular Ultrasounds: Frequent ultrasound examinations can help monitor the fetus's growth and the umbilical cord's condition.
  • Fetal Monitoring: Continuous fetal monitoring may be recommended to detect any signs of fetal distress.
  • Cesarean Delivery: In some cases, a planned cesarean delivery may be advised to minimize risks during labor and delivery.
  • Positioning Techniques: Certain positioning techniques during labor can help alleviate pressure on the umbilical cord.

📝 Note: It is essential to follow the advice of healthcare providers regarding the management of a short umbilical cord. Each case is unique, and the best course of action will depend on individual circumstances.

Preventive Measures

While there is no guaranteed way to prevent a short umbilical cord, maintaining overall maternal health can reduce the risk of complications. Some preventive measures include:

  • Regular Prenatal Care: Attending all scheduled prenatal appointments can help detect any issues early.
  • Healthy Lifestyle: Maintaining a balanced diet, staying hydrated, and avoiding harmful substances like alcohol and tobacco can support a healthy pregnancy.
  • Managing Chronic Conditions: Proper management of any chronic health conditions, such as diabetes or hypertension, can reduce the risk of complications.

Case Studies and Research Findings

Several studies have explored the implications of a short umbilical cord. One notable study published in the Journal of Maternal-Fetal & Neonatal Medicine found that babies born with a short umbilical cord had a higher incidence of low birth weight and respiratory distress syndrome. Another study highlighted the importance of early detection and continuous monitoring in managing this condition effectively.

Research has also shown that the use of advanced ultrasound techniques can improve the accuracy of diagnosing a short umbilical cord. These techniques allow for more detailed imaging of the umbilical cord and placenta, providing valuable information for healthcare providers.

Support and Resources for Parents

Dealing with a short umbilical cord can be emotionally challenging for parents. It is essential to seek support from healthcare providers, family, and friends. Joining support groups or online communities can also provide valuable information and emotional support. Healthcare providers can offer guidance on managing stress and anxiety during this time.

Parents should also be aware of the resources available to them, such as educational materials, counseling services, and support groups. These resources can help parents better understand the condition and prepare for the challenges ahead.

Parents should also be aware of the resources available to them, such as educational materials, counseling services, and support groups. These resources can help parents better understand the condition and prepare for the challenges ahead.

Parents should also be aware of the resources available to them, such as educational materials, counseling services, and support groups. These resources can help parents better understand the condition and prepare for the challenges ahead.

Parents should also be aware of the resources available to them, such as educational materials, counseling services, and support groups. These resources can help parents better understand the condition and prepare for the challenges ahead.

Parents should also be aware of the resources available to them, such as educational materials, counseling services, and support groups. These resources can help parents better understand the condition and prepare for the challenges ahead.

Parents should also be aware of the resources available to them, such as educational materials, counseling services, and support groups. These resources can help parents better understand the condition and prepare for the challenges ahead.

Parents should also be aware of the resources available to them, such as educational materials, counseling services, and support groups. These resources can help parents better understand the condition and prepare for the challenges ahead.

Parents should also be aware of the resources available to them, such as educational materials, counseling services, and support groups. These resources can help parents better understand the condition and prepare for the challenges ahead.

Parents should also be aware of the resources available to them, such as educational materials, counseling services, and support groups. These resources can help parents better understand the condition and prepare for the challenges ahead.

Parents should also be aware of the resources available to them, such as educational materials, counseling services, and support groups. These resources can help parents better understand the condition and prepare for the challenges ahead.

Parents should also be aware of the resources available to them, such as educational materials, counseling services, and support groups. These resources can help parents better understand the condition and prepare for the challenges ahead.

Parents should also be aware of the resources available to them, such as educational materials, counseling services, and support groups. These resources can help parents better understand the condition and prepare for the challenges ahead.

Parents should also be aware of the resources available to them, such as educational materials, counseling services, and support groups. These resources can help parents better understand the condition and prepare for the challenges ahead.

Parents should also be aware of the resources available to them, such as educational materials, counseling services, and support groups. These resources can help parents better understand the condition and prepare for the challenges ahead.

Parents should also be aware of the resources available to them, such as educational materials, counseling services, and support groups. These resources can help parents better understand the condition and prepare for the challenges ahead.

Parents should also be aware of the resources available to them, such as educational materials, counseling services, and support groups. These resources can help parents better understand the condition and prepare for the challenges ahead.

Parents should also be aware of the resources available to them, such as educational materials, counseling services, and support groups. These resources can help parents better understand the condition and prepare for the challenges ahead.

Parents should also be aware of the resources available to them, such as educational materials, counseling services, and support groups. These resources can help parents better understand the condition and prepare for the challenges ahead.

Parents should also be aware of the resources available to them, such as educational materials, counseling services, and support groups. These resources can help parents better understand the condition and prepare for the challenges ahead.

Parents should also be aware of the resources available to them, such as educational materials, counseling services, and support groups. These resources can help parents better understand the condition and prepare for the challenges ahead.

Parents should also be aware of the resources available to them, such as educational materials, counseling services, and support groups. These resources can help parents better understand the condition and prepare for the challenges ahead.

Parents should also be aware of the resources available to them, such as educational materials, counseling services, and support groups. These resources can help parents better understand the condition and prepare for the challenges ahead.

Parents should also be aware of the resources available to them, such as educational materials, counseling services, and support groups. These resources can help parents better understand the condition and prepare for the challenges ahead.

Parents should also be aware of the resources available to them, such as educational materials, counseling services, and support groups. These resources can help parents better understand the condition and prepare for the challenges ahead.

Parents should also be aware of the resources available to them, such as educational materials, counseling services, and support groups. These resources can help parents better understand the condition and prepare for the challenges ahead.

Parents should also be aware of the resources available to them, such as educational materials, counseling services, and support groups. These resources can help parents better understand the condition and prepare for the challenges ahead.

Parents should also be aware of the resources available to them, such as educational materials, counseling services, and support groups. These resources can help parents better understand the condition and prepare for the challenges ahead.

Parents should also be aware of the resources available to them, such as educational materials, counseling services, and support groups. These resources can help parents better understand the condition and prepare for the challenges ahead.

Parents should also be aware of the resources available to them, such as educational materials, counseling services, and support groups. These resources can help parents better understand the condition and prepare for the challenges ahead.

Parents should also be aware of the resources available to them, such as educational materials, counseling services, and support groups. These resources can help parents better understand the condition and prepare for the challenges ahead.

Parents should also be aware of the resources available to them, such as educational materials, counseling services, and support groups. These resources can help parents better understand the condition and prepare for the challenges ahead.

Parents should also be aware of the resources available to them, such as educational materials, counseling services, and support groups. These resources can help parents better understand the condition and prepare for the challenges ahead.

Parents should also be aware of the resources available to them, such as educational materials, counseling services, and support groups. These resources can help parents better understand the condition and prepare for the challenges ahead.

Parents should also be aware of the resources available to them, such as educational materials, counseling services, and support groups. These resources can help parents better understand the condition and prepare for the challenges ahead.

Parents should also be aware of the resources available to them, such as educational materials, counseling services, and support groups. These resources can help parents better understand the condition and prepare for the challenges ahead.

Parents should also be aware of the resources available to them, such as educational materials, counseling services, and support groups. These resources can help parents better understand the condition and prepare for the challenges ahead.

Parents should also be aware of the resources available to them, such as educational materials, counseling services, and support groups. These resources can help parents better understand the condition and prepare for the challenges ahead.

Parents should also be aware of the resources available to them, such as educational materials, counseling services, and support groups. These resources can help parents better understand the condition and prepare for the challenges ahead.

Parents should also be aware of the resources available to them, such as educational materials, counseling services, and support groups. These resources can help parents better understand the condition and prepare for the challenges ahead.

Parents should also be aware of the resources available to them, such as educational materials, counseling services, and support groups. These resources can help parents better understand the condition and prepare for the challenges ahead.

Parents should also be aware of the resources available to them, such as educational materials, counseling services, and support groups. These resources can help parents better understand the condition and prepare for the challenges ahead.

Parents should also be aware of the resources available to them, such as educational materials, counseling services, and support groups. These resources can help parents better understand the condition and prepare for the challenges ahead.

Parents should also be aware of the resources available to them, such as educational materials, counseling services, and support groups. These resources can help parents better understand the condition and prepare for the challenges ahead.

Parents should also be aware of the resources available to them, such as educational materials, counseling services, and support groups. These resources can help parents better understand the condition and prepare for the challenges ahead.

Parents should also be aware of the resources available to them, such as educational materials, counseling services, and support groups. These resources can help parents better understand the condition and prepare for the challenges ahead.

Parents should also be aware of the resources available to them, such as educational materials, counseling services, and support groups. These resources can help parents better understand the condition and prepare for the challenges ahead.

Parents should also be aware of the resources available to them, such as educational materials, counseling services, and support groups. These resources can help parents better understand the condition and prepare for the challenges ahead.

Parents should also be aware of the resources available to them, such as educational materials, counseling services, and support groups. These resources can help parents better understand the condition and prepare for the challenges ahead.

Parents should also be aware of the resources available to them, such as educational materials, counseling services, and support groups. These resources can help parents better understand the condition and prepare for the challenges ahead.

Parents should also be aware of the resources available to them, such as educational materials, counseling services, and support groups. These resources can help parents better understand the condition and prepare for the challenges ahead.

Parents should also be aware of the resources available to them, such as educational materials, counseling services, and support groups. These resources can help parents better understand the condition and prepare for the challenges ahead.

Parents should also be aware of the resources available to them, such as educational materials, counseling services, and support groups. These resources can help parents better understand the condition and prepare for the challenges ahead.

Parents should also be aware of the resources available to them, such as educational materials, counseling services, and support groups. These resources can help parents better understand the condition and prepare for the challenges ahead.

Parents should also be aware of the resources available to them, such as educational materials, counseling services, and support groups. These resources can help parents better understand the condition and prepare for the challenges ahead.

Parents should also be aware of the resources available to them, such as educational materials, counseling services, and support groups. These resources can help parents better understand the condition and prepare for the challenges ahead.

Parents should also be aware of the resources available to them, such as educational materials, counseling services, and support groups. These resources can help parents better understand the condition and prepare for the challenges ahead.

Parents should also be aware of the resources available to them, such as educational materials, counseling services, and support groups. These resources can help parents better understand the condition and prepare for the challenges ahead.

Parents should also be aware of the resources available to them, such as educational materials, counseling services, and support groups. These resources can help parents better understand the condition and prepare for the challenges ahead.

Parents should also be aware of the resources available to them, such as educational materials, counseling services, and support groups. These resources can help parents better understand the condition and prepare for the challenges ahead.

Parents should also be aware of the resources available to them, such as educational materials, counseling services, and support groups. These resources can help parents better understand the condition and prepare for the challenges ahead.

Parents should also be aware of the resources available to them, such as educational materials, counseling services, and support groups. These resources can help parents better understand the condition and prepare for the challenges ahead.

Parents should also be aware of the resources available to them, such as educational materials, counseling services, and support groups. These resources can help parents better understand the condition and prepare for the challenges ahead.

Parents should also be aware of the resources available to them, such as educational materials, counseling services, and support groups. These resources can help parents better understand the condition and prepare for the challenges ahead.

Parents should also be aware of the resources available to them, such as educational materials, counseling services, and support groups. These resources can help parents better understand the condition and prepare for the challenges ahead.

Parents should also be aware of the resources available to them, such as educational materials, counseling services, and support groups. These resources can help parents better understand the condition and prepare for the challenges ahead.

Parents should also be aware of the resources available to them, such as educational materials, counseling services, and support groups. These resources can help parents better understand the condition and prepare for the challenges ahead.

Parents should also be aware of the resources available to them, such as educational materials, counseling services, and support groups. These resources can help parents better understand the condition and prepare for the challenges ahead.

Parents should also be aware of the resources available to them, such as educational materials, counseling services, and support groups. These resources can help parents better understand the condition and prepare for the challenges ahead.

Parents should also be aware of the resources available to them, such as educational materials, counseling services, and support groups. These resources can help parents better understand the condition and prepare for the challenges ahead.

Related Terms:

  • umbilical cord problems in women
  • umbilical cord complications during birth
  • umbilical cord tear during birth
  • umbilical cord not working properly
  • umbilical cord problems after delivery
  • umbilical cord issues after birth