Sesamoid Bone Foot

Sesamoid Bone Foot

Foot pain can be a debilitating condition that affects millions of people worldwide. One of the lesser-known causes of foot pain is related to the sesamoid bone foot. These small bones, located beneath the big toe joint, play a crucial role in the biomechanics of the foot. Understanding the sesamoid bones, their functions, and the conditions that can affect them is essential for anyone experiencing foot pain.

Understanding the Sesamoid Bones

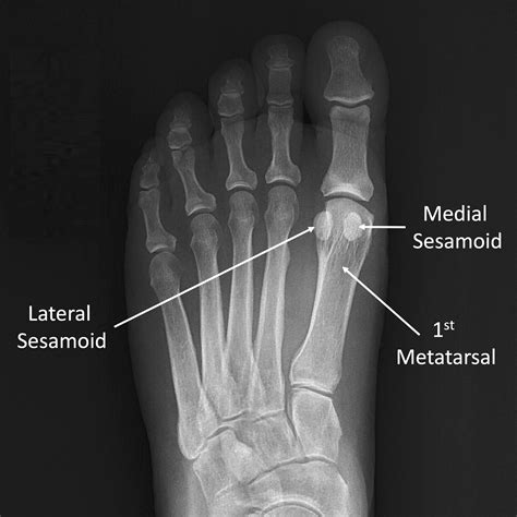
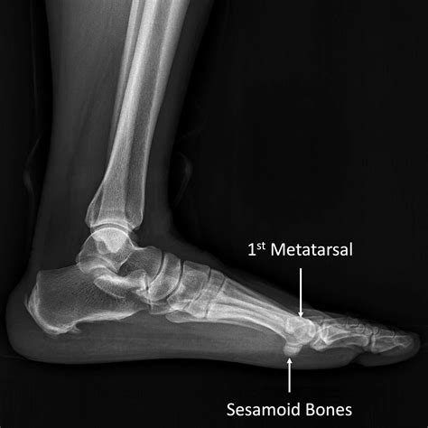
The sesamoid bones are small, round bones embedded within tendons. In the foot, there are two sesamoid bones located beneath the head of the first metatarsal bone, which is the long bone connected to the big toe. These bones are named the medial and lateral sesamoid bones, and they act as pulleys for the tendons that control the big toe.

The primary function of the sesamoid bones is to enhance the mechanical advantage of the tendons by increasing the leverage and reducing friction. This allows for more efficient movement and weight distribution during activities such as walking, running, and jumping. The sesamoid bones also help to absorb shock and distribute weight evenly across the foot.

Common Conditions Affecting the Sesamoid Bones

Several conditions can affect the sesamoid bones, leading to pain and discomfort. Some of the most common conditions include:

  • Sesamoiditis: This is an inflammation of the sesamoid bones and the surrounding tendons. It is often caused by overuse, high-impact activities, or improper footwear.
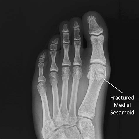
  • Sesamoid Fracture: A fracture of the sesamoid bones can occur due to a sudden impact or repetitive stress. This condition is often seen in athletes and dancers.
  • Sesamoid Nonunion: This occurs when a fracture of the sesamoid bone does not heal properly, leading to chronic pain and instability.
  • Sesamoid Osteonecrosis: Also known as avascular necrosis, this condition occurs when the blood supply to the sesamoid bone is disrupted, leading to bone death and pain.

Symptoms of Sesamoid Bone Foot Issues

Recognizing the symptoms of sesamoid bone issues is crucial for early intervention and treatment. Common symptoms include:

  • Pain beneath the big toe joint, often worsening with activity
  • Swelling and tenderness in the affected area
  • Difficulty bending the big toe
  • Limited range of motion in the big toe
  • Pain when standing, walking, or running

If you experience any of these symptoms, it is important to consult a healthcare professional for a proper diagnosis and treatment plan.

Diagnosing Sesamoid Bone Issues

Diagnosing sesamoid bone issues typically involves a combination of physical examination and imaging tests. During the physical examination, a healthcare professional will assess the affected area for pain, swelling, and range of motion. Imaging tests may include:

  • X-rays: To visualize the bones and detect any fractures or abnormalities.
  • MRI: To provide detailed images of the soft tissues and bones, helping to identify inflammation, fractures, or other issues.
  • CT Scan: To obtain detailed images of the bones and detect any fractures or bone abnormalities.

Treatment Options for Sesamoid Bone Foot Issues

Treatment for sesamoid bone issues depends on the severity and underlying cause of the condition. Common treatment options include:

  • Rest and Ice: Resting the affected foot and applying ice can help reduce pain and inflammation.
  • Nonsteroidal Anti-Inflammatory Drugs (NSAIDs): Medications such as ibuprofen or naproxen can help reduce pain and inflammation.
  • Physical Therapy: Exercises and stretches can help improve range of motion, strength, and flexibility in the affected area.
  • Orthotics: Custom orthotic devices can help redistribute weight and reduce pressure on the sesamoid bones.
  • Corticosteroid Injections: Injections of corticosteroids can help reduce inflammation and pain.
  • Surgery: In severe cases, surgery may be necessary to repair or remove the affected sesamoid bone.

It is important to work closely with a healthcare professional to determine the most appropriate treatment plan for your specific condition.

Preventing Sesamoid Bone Issues

Preventing sesamoid bone issues involves taking proactive measures to protect the foot and maintain overall foot health. Some preventive strategies include:

  • Wearing supportive and well-fitting footwear with adequate cushioning.
  • Gradually increasing the intensity and duration of physical activities to avoid overuse injuries.
  • Stretching and strengthening the muscles and tendons in the foot and ankle.
  • Maintaining a healthy weight to reduce pressure on the feet.
  • Avoiding high-impact activities that place excessive stress on the sesamoid bones.

By incorporating these preventive measures into your daily routine, you can reduce the risk of developing sesamoid bone issues and maintain optimal foot health.

πŸ’‘ Note: Always consult a healthcare professional before starting any new exercise or treatment program.

Living with Sesamoid Bone Issues

Living with sesamoid bone issues can be challenging, but with the right management strategies, it is possible to maintain an active and fulfilling lifestyle. Some tips for living with sesamoid bone issues include:

  • Wearing supportive footwear with adequate cushioning and arch support.
  • Using orthotic devices to redistribute weight and reduce pressure on the sesamoid bones.
  • Engaging in low-impact activities such as swimming, cycling, or yoga to maintain fitness without placing excessive stress on the feet.
  • Managing pain and inflammation with medications, ice, and rest as needed.
  • Working closely with a healthcare professional to develop a personalized treatment plan.

By implementing these strategies, you can effectively manage sesamoid bone issues and improve your overall quality of life.

Sesamoid bone issues can significantly impact foot health and overall mobility. Understanding the causes, symptoms, and treatment options for sesamoid bone issues is essential for effective management and prevention. By taking proactive measures and working closely with healthcare professionals, individuals can maintain optimal foot health and enjoy an active lifestyle.

Related Terms:

  • breaking sesamoid bone in foot
  • sesamoid bone ankle
  • sesamoid fractures
  • sesamoid bone foot xray
  • sesamoid bone meaning
  • sesamoid bone foot surgery