Serrated Polyposis Syndrome

Serrated Polyposis Syndrome

Understanding the complexities of gastrointestinal health is crucial for maintaining overall well-being. One condition that has gained attention in recent years is Serrated Polyposis Syndrome (SPS). This syndrome is characterized by the presence of multiple serrated polyps in the colon and rectum, which can increase the risk of colorectal cancer. This blog post delves into the intricacies of Serrated Polyposis Syndrome, its symptoms, diagnosis, treatment options, and the importance of early detection.

What is Serrated Polyposis Syndrome?

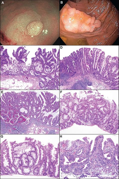
Serrated Polyposis Syndrome is a rare condition that affects the gastrointestinal tract, specifically the colon and rectum. It is defined by the presence of multiple serrated polyps, which are abnormal growths that have a saw-toothed appearance under a microscope. These polyps can be benign, but they have the potential to become malignant over time. The syndrome is often diagnosed in individuals who have a family history of colorectal cancer or other gastrointestinal conditions.

Symptoms of Serrated Polyposis Syndrome

One of the challenges in diagnosing Serrated Polyposis Syndrome is that it often presents with no symptoms in its early stages. However, as the condition progresses, individuals may experience a range of symptoms, including:

  • Abdominal pain or discomfort
  • Rectal bleeding or blood in the stool
  • Changes in bowel habits, such as constipation or diarrhea
  • Unexplained weight loss
  • Fatigue or weakness

It is important to note that these symptoms can also be indicative of other gastrointestinal conditions, so a thorough evaluation by a healthcare professional is essential for an accurate diagnosis.

Diagnosis of Serrated Polyposis Syndrome

The diagnosis of Serrated Polyposis Syndrome typically involves a combination of medical history, physical examination, and diagnostic tests. The most common diagnostic procedures include:

  • Colonoscopy: This is the gold standard for diagnosing SPS. During a colonoscopy, a flexible tube with a camera is inserted into the rectum to visualize the colon and rectum. Any polyps or abnormal growths can be identified and biopsied for further analysis.
  • Biopsy: A small sample of tissue is taken from the polyps during a colonoscopy and examined under a microscope to determine if they are serrated polyps.
  • Genetic Testing: In some cases, genetic testing may be recommended to identify any genetic mutations that may be associated with SPS.

Early diagnosis is crucial for managing Serrated Polyposis Syndrome and reducing the risk of colorectal cancer. Regular screening and surveillance are essential for individuals with a family history of the condition or those who have been diagnosed with serrated polyps.

Treatment Options for Serrated Polyposis Syndrome

The treatment of Serrated Polyposis Syndrome focuses on removing the serrated polyps and monitoring for any new growths. The primary treatment options include:

  • Polypectomy: During a colonoscopy, polyps can be removed using specialized tools. This procedure is typically performed on an outpatient basis and is effective in removing most serrated polyps.
  • Endoscopic Mucosal Resection (EMR): For larger polyps, EMR may be recommended. This procedure involves removing the polyp and a small amount of surrounding tissue to ensure complete removal.
  • Surgery: In some cases, surgery may be necessary to remove larger polyps or those that are located in areas that are difficult to access during a colonoscopy.
  • Chemoprevention: Medications such as aspirin or nonsteroidal anti-inflammatory drugs (NSAIDs) may be prescribed to reduce the risk of polyp recurrence and the development of colorectal cancer.

Regular follow-up colonoscopies are essential for monitoring the colon and rectum for any new polyps or abnormal growths. The frequency of follow-up colonoscopies will depend on the individual's risk factors and the results of previous screenings.

Risk Factors for Serrated Polyposis Syndrome

Several risk factors have been identified for Serrated Polyposis Syndrome. Understanding these risk factors can help individuals take proactive steps to manage their health and reduce their risk of developing the condition. Some of the key risk factors include:

  • Family History: Individuals with a family history of SPS or colorectal cancer are at a higher risk of developing the condition.
  • Age: The risk of SPS increases with age, with most cases diagnosed in individuals over the age of 50.
  • Genetic Mutations: Certain genetic mutations, such as those in the BRAF gene, have been linked to an increased risk of SPS.
  • Lifestyle Factors: A diet high in red meat and processed foods, as well as a sedentary lifestyle, can increase the risk of developing serrated polyps.

While these risk factors can increase the likelihood of developing Serrated Polyposis Syndrome, it is important to note that not everyone with these risk factors will develop the condition. Regular screening and a healthy lifestyle can help reduce the risk.

Prevention and Early Detection

Prevention and early detection are key to managing Serrated Polyposis Syndrome and reducing the risk of colorectal cancer. Here are some strategies for prevention and early detection:

  • Regular Screening: Individuals with a family history of SPS or colorectal cancer should undergo regular colonoscopies starting at an earlier age. The recommended screening interval will depend on individual risk factors.
  • Healthy Lifestyle: Maintaining a healthy diet rich in fruits, vegetables, and whole grains, as well as regular physical activity, can help reduce the risk of developing serrated polyps.
  • Avoiding Risky Behaviors: Limiting alcohol consumption, avoiding tobacco, and maintaining a healthy weight can also help reduce the risk of SPS.
  • Genetic Counseling: Individuals with a family history of SPS or colorectal cancer may benefit from genetic counseling to assess their risk and discuss preventive measures.

Early detection through regular screening can significantly improve outcomes for individuals with Serrated Polyposis Syndrome. If you have risk factors for the condition, it is important to discuss your screening options with your healthcare provider.

Living with Serrated Polyposis Syndrome

Living with Serrated Polyposis Syndrome can be challenging, but with the right management strategies, individuals can lead healthy and fulfilling lives. Here are some tips for managing the condition:

  • Regular Follow-Up: Regular follow-up colonoscopies are essential for monitoring the colon and rectum for any new polyps or abnormal growths.
  • Healthy Lifestyle: Maintaining a healthy diet and regular physical activity can help reduce the risk of polyp recurrence and the development of colorectal cancer.
  • Support Network: Connecting with support groups or other individuals with SPS can provide emotional support and practical advice for managing the condition.
  • Education: Staying informed about the latest research and treatment options for SPS can help individuals make informed decisions about their health.

Living with Serrated Polyposis Syndrome requires ongoing management and vigilance, but with the right strategies, individuals can effectively manage the condition and reduce their risk of complications.

📝 Note: It is important to work closely with your healthcare provider to develop a personalized management plan for Serrated Polyposis Syndrome. Regular communication and follow-up are essential for effective management of the condition.

Research and Future Directions

Research into Serrated Polyposis Syndrome is ongoing, with scientists and healthcare providers working to better understand the condition and develop more effective treatment options. Some of the key areas of research include:

  • Genetic Studies: Researchers are studying the genetic mutations associated with SPS to identify potential targets for new treatments.
  • Biomarkers: The development of biomarkers for early detection and monitoring of SPS is a key area of research.
  • Preventive Strategies: Researchers are exploring new preventive strategies, such as chemoprevention and lifestyle modifications, to reduce the risk of SPS and colorectal cancer.
  • Clinical Trials: Clinical trials are underway to test new treatments and management strategies for SPS.

As research continues, there is hope for improved outcomes and quality of life for individuals with Serrated Polyposis Syndrome. Staying informed about the latest developments in research can help individuals make informed decisions about their health.

Understanding the Impact of Serrated Polyposis Syndrome

Serrated Polyposis Syndrome can have a significant impact on an individual's quality of life, both physically and emotionally. Understanding the impact of the condition can help individuals and their families cope with the challenges of living with SPS. Some of the key impacts include:

  • Physical Impact: The symptoms of SPS, such as abdominal pain and rectal bleeding, can be physically challenging to manage. Regular medical interventions, such as colonoscopies and polypectomies, can also be physically demanding.
  • Emotional Impact: The diagnosis of SPS can be emotionally challenging, with individuals experiencing feelings of anxiety, depression, and fear. Connecting with support groups and seeking emotional support can help individuals cope with these challenges.
  • Social Impact: The need for regular medical interventions and follow-up can impact an individual's social life and relationships. It is important to communicate openly with family and friends about the condition and its impact on daily life.

Understanding the impact of Serrated Polyposis Syndrome can help individuals and their families develop strategies for coping with the challenges of the condition. Seeking support from healthcare providers, support groups, and loved ones can make a significant difference in managing the impact of SPS.

Serrated Polyposis Syndrome is a complex condition that requires ongoing management and vigilance. By understanding the symptoms, diagnosis, treatment options, and impact of SPS, individuals can take proactive steps to manage their health and reduce their risk of complications. Regular screening, a healthy lifestyle, and staying informed about the latest research are key to effectively managing Serrated Polyposis Syndrome and improving quality of life.

Related Terms:

  • serrated polyposis syndrome who criteria
  • serrated polyposis syndrome icd 10
  • serrated polyposis syndrome treatment
  • serrated polyposis syndrome surveillance
  • serrated polyposis syndrome diagnostic criteria
  • serrated polyposis syndrome guidelines