Schiller Duval Bodies

Schiller Duval Bodies

In the realm of medical diagnostics, the identification and analysis of cellular structures play a crucial role in understanding various diseases and conditions. One such structure that has garnered significant attention is the Schiller Duval Bodies. These bodies are characteristic of a rare and aggressive form of cancer known as yolk sac tumor, which primarily affects the testes and ovaries. Understanding the significance of Schiller Duval Bodies is essential for accurate diagnosis and effective treatment of this malignancy.

Understanding Schiller Duval Bodies

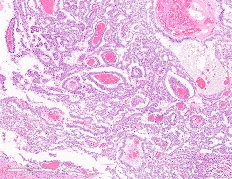
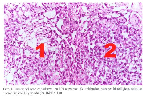
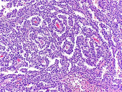
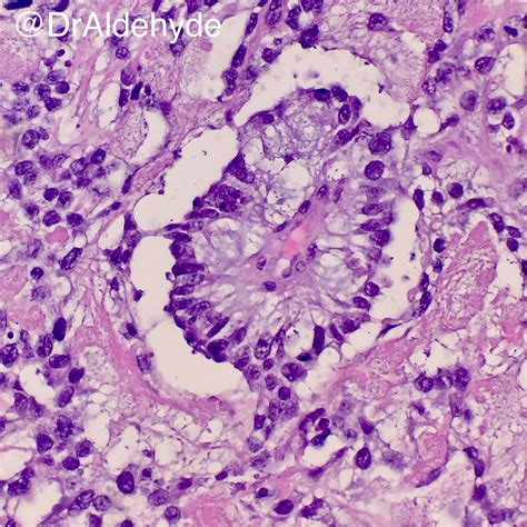
Schiller Duval Bodies are distinctive, glomeruloid structures found within yolk sac tumors. These bodies are named after the pathologists who first described them, Schiller and Duval. They are composed of a central blood vessel surrounded by a layer of tumor cells, which in turn are enclosed by a layer of connective tissue. The unique morphology of Schiller Duval Bodies makes them a reliable marker for the diagnosis of yolk sac tumors.

Histological Features of Schiller Duval Bodies

The histological features of Schiller Duval Bodies are crucial for their identification. Key characteristics include:

  • Central Blood Vessel: The core of the Schiller Duval Body is a blood vessel, which is often dilated and lined by endothelial cells.
  • Surrounding Tumor Cells: The blood vessel is encircled by a layer of tumor cells, which are typically cuboidal or columnar in shape.
  • Connective Tissue Layer: The outer layer consists of connective tissue, which provides structural support to the body.

These features collectively contribute to the glomeruloid appearance of Schiller Duval Bodies, which is a hallmark of yolk sac tumors.

Diagnostic Significance of Schiller Duval Bodies

The presence of Schiller Duval Bodies is highly indicative of yolk sac tumors. These tumors are part of a broader category of germ cell tumors, which can occur in both gonadal and extragonadal sites. The identification of Schiller Duval Bodies in a biopsy specimen is often sufficient to confirm the diagnosis of a yolk sac tumor, guiding subsequent treatment decisions.

Yolk sac tumors are known for their aggressive nature and tendency to metastasize. Early and accurate diagnosis is therefore critical for improving patient outcomes. The detection of Schiller Duval Bodies aids in the timely identification of these tumors, allowing for prompt initiation of appropriate therapeutic interventions.

Clinical Presentation and Diagnosis

Yolk sac tumors can present with a variety of symptoms, depending on their location and stage. Common symptoms include:

  • Abdominal pain or swelling
  • Testicular or ovarian enlargement
  • Weight loss and fatigue
  • Elevated levels of tumor markers such as alpha-fetoprotein (AFP) and human chorionic gonadotropin (hCG)

Diagnosis typically involves a combination of clinical evaluation, imaging studies, and histopathological examination. Imaging techniques such as ultrasound, computed tomography (CT), and magnetic resonance imaging (MRI) are used to visualize the tumor and assess its extent. Biopsy of the affected tissue is then performed to confirm the presence of Schiller Duval Bodies and establish the diagnosis.

Treatment Options for Yolk Sac Tumors

The treatment of yolk sac tumors depends on several factors, including the stage of the disease, the patient's overall health, and the presence of metastatic spread. Common treatment modalities include:

  • Surgery: Surgical resection is often the primary treatment for localized yolk sac tumors. The goal is to remove the tumor completely while preserving as much healthy tissue as possible.
  • Chemotherapy: Chemotherapy is frequently used in conjunction with surgery, especially for advanced or metastatic disease. Common chemotherapeutic agents include cisplatin, etoposide, and bleomycin.
  • Radiation Therapy: Radiation therapy may be employed in certain cases, particularly for tumors that are not amenable to surgical resection or for palliation of symptoms.

Multidisciplinary management involving a team of specialists, including oncologists, surgeons, and radiologists, is essential for optimizing treatment outcomes.

Prognosis and Follow-Up

The prognosis for patients with yolk sac tumors varies depending on the stage at diagnosis and the response to treatment. Early-stage tumors generally have a better prognosis compared to advanced or metastatic disease. Regular follow-up is crucial to monitor for recurrence and to manage any long-term side effects of treatment.

Follow-up typically involves:

  • Regular clinical examinations
  • Imaging studies to detect any recurrence
  • Monitoring of tumor markers such as AFP and hCG

Patients are advised to maintain a healthy lifestyle and adhere to follow-up schedules to ensure early detection of any potential recurrence.

📝 Note: Regular follow-up and monitoring are essential for managing yolk sac tumors and ensuring long-term survival.

Research and Future Directions

Ongoing research is focused on improving the understanding of yolk sac tumors and developing more effective treatment strategies. Areas of active investigation include:

  • Molecular Biology: Studying the genetic and molecular characteristics of yolk sac tumors to identify potential therapeutic targets.
  • Immunotherapy: Exploring the use of immunotherapy to enhance the body's immune response against tumor cells.
  • Targeted Therapies: Developing targeted therapies that specifically inhibit the growth and spread of yolk sac tumor cells.

Advances in these areas hold promise for improving the outcomes for patients with yolk sac tumors and enhancing our ability to diagnose and treat this aggressive malignancy.

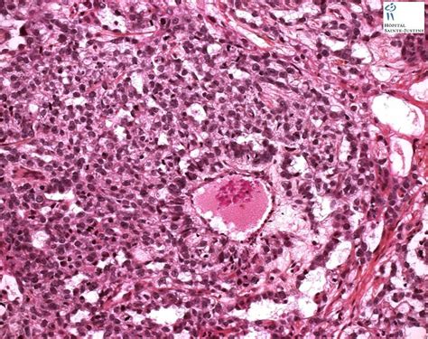
Histopathology of Yolk Sac Tumor

Schiller Duval Bodies in Other Tumors

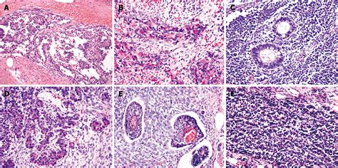
While Schiller Duval Bodies are most commonly associated with yolk sac tumors, they can occasionally be found in other types of tumors. These include:

  • Endodermal Sinus Tumors: These are another name for yolk sac tumors, highlighting the close association between the two.
  • Mixed Germ Cell Tumors: In some cases, Schiller Duval Bodies may be present in mixed germ cell tumors, which contain elements of different types of germ cell tumors.

The presence of Schiller Duval Bodies in these tumors underscores their diagnostic significance and the importance of careful histopathological examination.

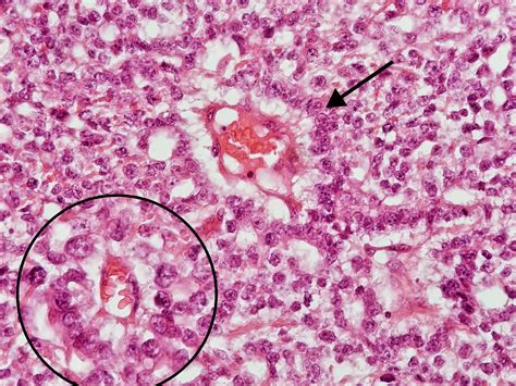
Challenges in Diagnosis

Despite their diagnostic utility, the identification of Schiller Duval Bodies can sometimes be challenging. Factors that may complicate the diagnosis include:

  • Sample Quality: Poorly preserved or inadequately sampled tissue can make it difficult to identify Schiller Duval Bodies.
  • Morphological Variability: The morphology of Schiller Duval Bodies can vary, leading to potential misinterpretation.
  • Similar Structures: Other structures, such as hyaline globules or reticular patterns, can sometimes be mistaken for Schiller Duval Bodies.

To overcome these challenges, pathologists often employ a combination of histological staining techniques and immunohistochemical markers to confirm the presence of Schiller Duval Bodies.

Immunohistochemical Markers

Immunohistochemical staining is a valuable tool in the diagnosis of yolk sac tumors. Common markers used to identify Schiller Duval Bodies include:

  • Alpha-Fetoprotein (AFP): AFP is a glycoprotein produced by yolk sac tumor cells and is a sensitive marker for these tumors.
  • Glypican-3: Glypican-3 is another marker that is often positive in yolk sac tumors and can aid in their diagnosis.
  • SALL4: SALL4 is a transcription factor that is expressed in yolk sac tumors and other germ cell tumors.

These markers, when used in conjunction with histological examination, enhance the accuracy of diagnosis and help differentiate yolk sac tumors from other types of malignancies.

Differential Diagnosis

The differential diagnosis of yolk sac tumors includes other types of germ cell tumors and non-germ cell tumors that can mimic their histological features. Key considerations include:

  • Embryonal Carcinoma: Embryonal carcinoma can sometimes resemble yolk sac tumors, but the presence of Schiller Duval Bodies helps distinguish between the two.
  • Choriocarcinoma: Choriocarcinoma is characterized by the presence of syncytiotrophoblastic and cytotrophoblastic cells, which are not typically seen in yolk sac tumors.
  • Teratoma: Teratomas contain elements derived from all three germ layers and can sometimes include yolk sac tumor components.

Accurate differentiation is crucial for appropriate treatment planning and management.

Conclusion

Schiller Duval Bodies are a critical diagnostic marker for yolk sac tumors, a rare and aggressive form of cancer. Their unique histological features make them a reliable indicator of this malignancy, guiding timely and effective treatment. Understanding the significance of Schiller Duval Bodies, their diagnostic utility, and the challenges associated with their identification is essential for improving patient outcomes. Ongoing research and advancements in diagnostic techniques continue to enhance our ability to manage yolk sac tumors and other related conditions.

Related Terms:

  • schiller duval tumor
  • schiller duval bodies histology
  • yolk sac tumor pathology
  • schiller duval body
  • schiller duval body radiology
  • pathology outlines yolk sac tumor