Sbft Medical Abbreviation

Sbft Medical Abbreviation

In the medical field, abbreviations are ubiquitous, serving as shorthand to streamline communication and documentation. One such abbreviation that often comes up in medical contexts is SBFT. Understanding the SBFT medical abbreviation and its implications is crucial for healthcare professionals and patients alike. This post delves into the meaning of SBFT, its applications, and its significance in medical practice.

What is SBFT?

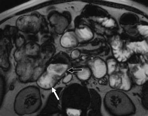
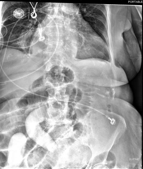
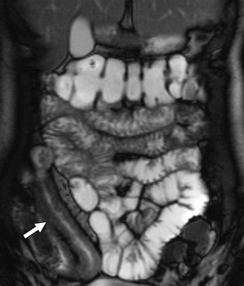
The SBFT medical abbreviation stands for Small Bowel Follow-Through. This diagnostic procedure is used to examine the small intestine, which is a part of the digestive system that is notoriously difficult to visualize using standard imaging techniques. The small bowel follow-through is a type of X-ray test that provides detailed images of the small intestine, helping to diagnose various conditions.

How SBFT Works

The SBFT medical abbreviation procedure involves several steps to ensure accurate imaging of the small intestine. Here’s a breakdown of the process:

  • Preparation: The patient is typically asked to fast for several hours before the procedure to ensure the small intestine is empty. This helps in obtaining clearer images.
  • Barium Ingestion: The patient ingests a barium solution, which coats the lining of the small intestine. Barium is a contrast agent that makes the small intestine visible on X-ray images.
  • X-Ray Imaging: A series of X-ray images are taken at regular intervals as the barium moves through the small intestine. This allows radiologists to observe the movement and structure of the small intestine.
  • Follow-Through: The term "follow-through" refers to the continuous monitoring of the barium as it passes through the small intestine. This can take several hours, depending on the patient's digestive system.

📝 Note: Patients may experience some discomfort during the procedure, such as bloating or cramping, but these symptoms are usually temporary.

Indications for SBFT

The SBFT medical abbreviation procedure is indicated for a variety of conditions that affect the small intestine. Some of the most common indications include:

  • Crohn's Disease: An inflammatory bowel disease that can cause inflammation and ulcers in the small intestine.
  • Celiac Disease: An autoimmune disorder triggered by gluten, which can damage the lining of the small intestine.
  • Small Bowel Obstruction: A blockage in the small intestine that prevents the normal passage of digestive contents.
  • Tumors and Polyps: Abnormal growths in the small intestine that may be benign or malignant.
  • Malabsorption Syndromes: Conditions that affect the body's ability to absorb nutrients from food, such as lactose intolerance or pancreatic insufficiency.

Interpreting SBFT Results

Interpreting the results of an SBFT medical abbreviation procedure requires expertise in radiology. Radiologists look for several key features in the images, including:

  • Mucosal Pattern: The appearance of the lining of the small intestine, which can indicate inflammation or other abnormalities.
  • Transit Time: The time it takes for the barium to pass through the small intestine, which can be affected by conditions like obstruction or motility disorders.
  • Structural Abnormalities: Any visible abnormalities such as strictures, fistulas, or masses that may indicate disease.

Radiologists often use a combination of visual inspection and advanced imaging techniques to provide a comprehensive assessment of the small intestine.

Advantages and Limitations of SBFT

The SBFT medical abbreviation procedure offers several advantages, but it also has its limitations. Understanding these can help healthcare providers and patients make informed decisions about its use.

Advantages

  • Non-Invasive: Unlike endoscopic procedures, SBFT does not require the insertion of instruments into the body, making it a less invasive option.
  • Comprehensive Imaging: Provides detailed images of the entire small intestine, which is difficult to achieve with other imaging techniques.
  • Cost-Effective: Generally less expensive than more advanced imaging techniques like MRI or CT scans.

Limitations

  • Time-Consuming: The procedure can take several hours to complete, which may be inconvenient for patients.
  • Radiation Exposure: Involves exposure to X-rays, which can be a concern for some patients, especially those who require frequent imaging.
  • Patient Comfort: Some patients may experience discomfort or nausea during the procedure due to the barium ingestion.

📝 Note: Patients with known allergies to barium or contrast agents should inform their healthcare provider before undergoing the procedure.

Alternative Imaging Techniques

While the SBFT medical abbreviation procedure is a valuable diagnostic tool, there are alternative imaging techniques that may be used depending on the clinical situation. Some of these alternatives include:

  • CT Enterography: A CT scan that provides detailed images of the small intestine using oral contrast agents.
  • MRI Enterography: Similar to CT enterography but uses magnetic resonance imaging instead of X-rays, making it a radiation-free option.
  • Capsule Endoscopy: A procedure where a small camera is swallowed and passes through the digestive system, providing images of the small intestine.
  • Double-Contrast Barium Enema: A procedure that uses barium and air to provide detailed images of the colon and rectum, which can sometimes reveal abnormalities in the small intestine.

Patient Preparation and Post-Procedure Care

Proper preparation and post-procedure care are essential for a successful SBFT medical abbreviation procedure. Here are some key points to consider:

Preparation

  • Fasting: Patients are typically advised to fast for 8-12 hours before the procedure to ensure the small intestine is empty.
  • Hydration: Staying hydrated is important, but patients should avoid drinking anything for a few hours before the procedure.
  • Medications: Patients should inform their healthcare provider about any medications they are taking, as some may need to be adjusted or temporarily stopped.

Post-Procedure Care

  • Hydration: Drinking plenty of fluids can help flush out the barium from the body.
  • Diet: Patients can usually resume their normal diet after the procedure, but they may experience some temporary changes in bowel movements due to the barium.
  • Follow-Up: Depending on the results, patients may need to follow up with their healthcare provider for further evaluation or treatment.

📝 Note: Patients should inform their healthcare provider if they experience any persistent symptoms or complications after the procedure.

Conclusion

The SBFT medical abbreviation procedure is a valuable diagnostic tool for evaluating the small intestine. It provides detailed images that can help diagnose a variety of conditions, from inflammatory bowel diseases to tumors and obstructions. While it has its limitations, such as being time-consuming and involving radiation exposure, it remains a cost-effective and non-invasive option for many patients. Understanding the SBFT medical abbreviation and its applications can help healthcare providers make informed decisions about patient care and improve outcomes for those with small intestine disorders.

Related Terms:

  • sbft meaning medical
  • ugi sbft medical abbreviation
  • sbft acronym
  • sbft medical abbreviation meaning
  • sbft surgery
  • sbft medical term