Sacrum Coccyx X Ray

Sacrum Coccyx X Ray

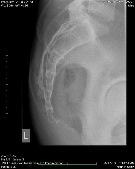
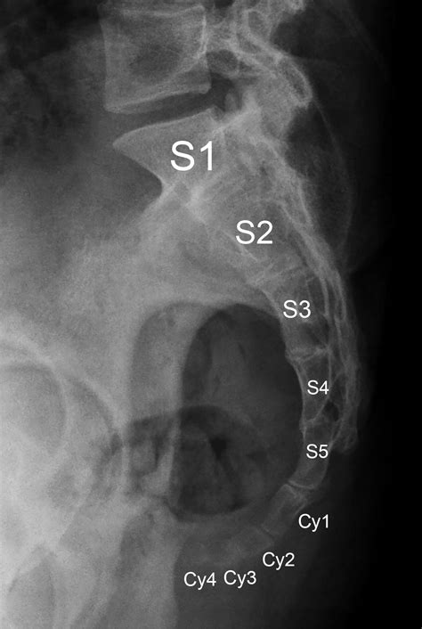
Understanding the intricacies of the sacrum and coccyx is crucial for diagnosing and treating various spinal conditions. One of the most effective diagnostic tools for examining these areas is the Sacrum Coccyx X Ray. This imaging technique provides detailed views of the sacrum and coccyx, helping healthcare professionals identify fractures, dislocations, and other abnormalities. This blog post will delve into the importance of Sacrum Coccyx X Ray, its procedure, interpretation, and common findings.

Understanding the Sacrum and Coccyx

The sacrum and coccyx are essential components of the human spine. The sacrum is a triangular bone located at the base of the spine, formed by the fusion of five vertebrae. It connects the spine to the pelvis and plays a crucial role in supporting the body’s weight and facilitating movement. The coccyx, often referred to as the tailbone, is a small, triangular bone located at the bottom of the sacrum. It consists of three to five fused vertebrae and provides attachment points for various muscles and ligaments.

The Importance of Sacrum Coccyx X Ray

Sacrum Coccyx X Ray is a vital diagnostic tool for evaluating the sacrum and coccyx. This imaging technique uses low-dose radiation to produce detailed images of the bones, allowing healthcare professionals to identify various conditions. Some of the key reasons for performing a Sacrum Coccyx X Ray include:

  • Diagnosing fractures or dislocations
  • Evaluating degenerative changes
  • Assessing the presence of tumors or infections
  • Monitoring the progression of certain conditions

Preparing for a Sacrum Coccyx X Ray

Preparing for a Sacrum Coccyx X Ray is relatively straightforward. Patients are typically advised to:

  • Remove any jewelry or metal objects from the pelvic area
  • Wear comfortable clothing that can be easily removed
  • Inform the healthcare provider about any recent surgeries or medical conditions
  • Follow any specific instructions provided by the healthcare provider

It is essential to inform the healthcare provider if you are pregnant, as radiation exposure can be harmful to the developing fetus.

The Procedure of Sacrum Coccyx X Ray

The Sacrum Coccyx X Ray procedure is generally quick and painless. Here is a step-by-step overview of what to expect:

  1. The patient will be asked to lie down on an X-ray table, usually on their back or side.
  2. The radiographer will position the X-ray machine to capture images of the sacrum and coccyx.
  3. The patient may be asked to hold their breath briefly to minimize movement and ensure clear images.
  4. Multiple images may be taken from different angles to provide a comprehensive view of the area.
  5. The entire procedure typically takes about 15-30 minutes.

📝 Note: Patients may experience some discomfort during the procedure, especially if they have recent injuries or conditions affecting the pelvic area. Inform the healthcare provider if you experience significant pain.

Interpreting Sacrum Coccyx X Ray Results

Interpreting Sacrum Coccyx X Ray results requires expertise in radiology. Healthcare professionals look for various signs and abnormalities in the images. Some common findings include:

  • Fractures: Visible breaks or cracks in the sacrum or coccyx
  • Dislocations: Misalignment of the sacrum or coccyx
  • Degenerative changes: Wear and tear of the bones, often seen as bone spurs or narrowing of the joint spaces
  • Tumors: Abnormal growths or masses in the bone
  • Infections: Signs of bone infection, such as osteomyelitis

In some cases, additional imaging tests, such as MRI or CT scans, may be recommended for a more detailed evaluation.

Common Conditions Diagnosed with Sacrum Coccyx X Ray

Sacrum Coccyx X Ray is instrumental in diagnosing various conditions affecting the sacrum and coccyx. Some of the most common conditions include:

  • Sacral fractures: Often result from high-impact injuries, such as falls or motor vehicle accidents
  • Coccyx fractures: Commonly occur due to direct trauma, such as a fall onto the tailbone
  • Sacroiliac joint dysfunction: A condition where the joint between the sacrum and ilium becomes inflamed or misaligned
  • Degenerative disc disease: Wear and tear of the discs between the vertebrae, leading to pain and stiffness
  • Tumors and infections: Abnormal growths or infections in the sacrum or coccyx

Treatment Options for Sacrum and Coccyx Conditions

Treatment options for conditions diagnosed through Sacrum Coccyx X Ray vary depending on the severity and type of condition. Some common treatment approaches include:

  • Rest and immobilization: Allowing the affected area to heal by avoiding activities that cause pain
  • Pain management: Using medications, such as nonsteroidal anti-inflammatory drugs (NSAIDs) or opioids, to manage pain
  • Physical therapy: Exercises and stretches to improve strength, flexibility, and range of motion
  • Injections: Corticosteroid injections to reduce inflammation and pain
  • Surgery: In severe cases, surgical intervention may be necessary to repair fractures, remove tumors, or stabilize the joint

Preventing Injuries to the Sacrum and Coccyx

Preventing injuries to the sacrum and coccyx involves taking proactive measures to protect these areas. Some effective strategies include:

  • Wearing protective gear during high-impact activities, such as sports or physical labor
  • Maintaining good posture and proper lifting techniques to avoid strain on the lower back
  • Engaging in regular exercise to strengthen the muscles supporting the spine
  • Avoiding activities that put excessive pressure on the tailbone, such as prolonged sitting on hard surfaces

When to Seek Medical Attention

It is essential to seek medical attention if you experience any of the following symptoms related to the sacrum or coccyx:

  • Severe pain or discomfort in the lower back or tailbone area
  • Difficulty sitting or standing
  • Numbness or tingling in the legs or feet
  • Swelling or bruising in the pelvic area
  • Loss of bowel or bladder control

Prompt medical evaluation can help identify the underlying cause and prevent further complications.

Conclusion

Sacrum Coccyx X Ray is a valuable diagnostic tool for evaluating the sacrum and coccyx. This imaging technique provides detailed views of the bones, helping healthcare professionals identify fractures, dislocations, and other abnormalities. Understanding the importance of Sacrum Coccyx X Ray, its procedure, interpretation, and common findings can empower patients to take proactive steps in managing their spinal health. By seeking timely medical attention and following recommended treatment plans, individuals can effectively address conditions affecting the sacrum and coccyx, improving their overall quality of life.

Related Terms:

  • sacrum coccyx x ray positioning
  • sacrum coccyx x ray angles
  • sacrum coccyx x ray cpt
  • sacrum and coccyx positioning
  • sacrum coccyx x ray anatomy
  • sacrum and coccyx joint anatomy