Root Tip Label

Root Tip Label

Understanding the intricacies of plant biology can be both fascinating and rewarding, especially when it comes to the root tip label. The root tip is a critical component of a plant's root system, responsible for absorbing water and nutrients from the soil. This small but vital part of the plant plays a significant role in its overall health and growth. In this post, we will delve into the anatomy of the root tip, its functions, and how to properly label and study it.

Anatomy of the Root Tip

The root tip is the growing point of the root, located at the very end of the root system. It is composed of several distinct regions, each with its own specific functions. Understanding these regions is essential for anyone interested in plant biology or horticulture.

Root Cap

The root cap is the outermost layer of the root tip. It protects the delicate meristematic tissue beneath it from physical damage as the root pushes through the soil. The root cap also secretes a mucilaginous substance that helps the root tip move through the soil more easily.

Meristematic Zone

Just below the root cap is the meristematic zone, also known as the zone of cell division. This region is responsible for the rapid cell division that drives the growth of the root. The cells in this zone are undifferentiated and can develop into various types of cells as they move away from the meristematic zone.

Elongation Zone

Following the meristematic zone is the elongation zone. In this region, cells undergo rapid elongation, increasing the length of the root. This elongation is crucial for the root to penetrate deeper into the soil and access more water and nutrients.

Maturation Zone

The maturation zone is where cells differentiate into their final forms. This is where root hairs develop, significantly increasing the surface area for water and nutrient absorption. The maturation zone is also where the root tip label is often applied to identify and study specific regions of the root.

Functions of the Root Tip

The root tip serves several critical functions that are essential for plant survival and growth. These functions include:

  • Absorption of Water and Nutrients: The root tip, particularly the maturation zone, is where most of the water and nutrient absorption occurs. The root hairs in this region greatly enhance the plant's ability to absorb these essential elements from the soil.
  • Anchorage: The root tip helps anchor the plant in the soil, providing stability and support. This is especially important for plants growing in windy or unstable environments.
  • Storage: In some plants, the root tip can also serve as a storage organ, accumulating nutrients and water that can be used during periods of drought or nutrient deficiency.

Labeling the Root Tip

Labeling the root tip label is a common practice in plant biology and horticulture. It allows researchers and horticulturists to study specific regions of the root and understand their functions more thoroughly. Here are the steps to properly label the root tip:

Materials Needed

  • Fresh plant roots
  • Microscope slides
  • Cover slips
  • Staining solution (e.g., safranin or toluidine blue)
  • Microscope
  • Labeling markers or pens

Steps to Label the Root Tip

Follow these steps to label the root tip effectively:

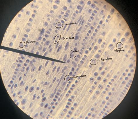
  1. Prepare the Root Sample: Carefully cut a small section of the root tip, ensuring that it includes all the regions (root cap, meristematic zone, elongation zone, and maturation zone).
  2. Stain the Sample: Place the root tip section on a microscope slide and add a few drops of staining solution. This will help highlight the different regions of the root tip. Allow the stain to sit for a few minutes before rinsing it off with water.
  3. Mount the Sample: Place a cover slip over the stained root tip section and gently press down to remove any air bubbles. This will ensure a clear view under the microscope.
  4. Label the Regions: Using a labeling marker or pen, carefully label the different regions of the root tip on the slide. This will help you identify and study each region more easily.
  5. Observe Under the Microscope: Place the slide under the microscope and observe the labeled regions. Note the characteristics of each region and how they contribute to the overall function of the root tip.

📝 Note: It is important to handle the root tip sections carefully to avoid damaging the delicate tissue. Use a gentle touch when mounting the sample and labeling the regions.

Common Techniques for Studying the Root Tip

There are several techniques used to study the root tip and its functions. These techniques provide valuable insights into plant biology and can help improve horticultural practices. Some of the most common techniques include:

Microscopy

Microscopy is the most straightforward technique for studying the root tip. It allows researchers to observe the different regions of the root tip in detail and understand their functions. There are several types of microscopes that can be used, including:

  • Light Microscope: This is the most commonly used microscope for studying the root tip. It provides a clear view of the different regions and can be used with staining solutions to highlight specific structures.
  • Electron Microscope: This type of microscope provides a much higher magnification and resolution, allowing researchers to study the ultrastructure of the root tip in detail.
  • Confocal Microscope: This microscope uses laser technology to create detailed images of the root tip, including three-dimensional reconstructions.

Histochemical Staining

Histochemical staining involves using specific stains to highlight different components of the root tip. This technique can help identify the presence of certain substances, such as proteins, lipids, or carbohydrates, within the root tip. Common stains used in histochemical staining include:

  • Safranin: This stain is often used to highlight the cell walls and nuclei of the root tip cells.
  • Toluidine Blue: This stain can differentiate between different types of tissues within the root tip, such as meristematic tissue and elongation tissue.
  • Periodic Acid-Schiff (PAS) Stain: This stain is used to highlight polysaccharides, such as starch and cellulose, within the root tip.

Immunohistochemistry

Immunohistochemistry is a technique that uses antibodies to detect specific proteins within the root tip. This technique can provide valuable information about the distribution and function of different proteins within the root tip. Immunohistochemistry is particularly useful for studying the expression of genes involved in root development and function.

Importance of Studying the Root Tip

Studying the root tip is crucial for understanding plant biology and improving horticultural practices. The root tip plays a vital role in plant growth and development, and understanding its functions can help researchers develop new strategies for improving plant health and productivity. Some of the key benefits of studying the root tip include:

  • Improved Plant Health: By understanding the functions of the root tip, researchers can develop strategies to improve plant health and resilience. This can include developing new fertilizers, pesticides, and other treatments that target specific regions of the root tip.
  • Enhanced Crop Yields: Studying the root tip can help researchers identify ways to enhance crop yields by improving water and nutrient absorption. This can lead to more efficient use of resources and higher crop yields.
  • Better Soil Management: Understanding the root tip's role in soil management can help farmers and horticulturists develop better practices for soil conservation and nutrient management. This can lead to more sustainable and environmentally friendly agricultural practices.

Challenges in Studying the Root Tip

While studying the root tip can provide valuable insights into plant biology, it also presents several challenges. Some of the key challenges include:

  • Delicate Tissue: The root tip is a delicate structure, and handling it requires careful techniques to avoid damaging the tissue. This can make it difficult to obtain high-quality samples for study.
  • Complex Structure: The root tip has a complex structure with multiple regions, each with its own specific functions. Understanding the interactions between these regions can be challenging and requires advanced techniques and expertise.
  • Environmental Factors: The root tip is sensitive to environmental factors, such as temperature, moisture, and soil composition. These factors can affect the root tip's structure and function, making it difficult to obtain consistent results.

Despite these challenges, studying the root tip remains a critical area of research in plant biology and horticulture. By overcoming these challenges, researchers can gain a deeper understanding of plant growth and development, leading to improved plant health and productivity.

In conclusion, the root tip label is a crucial component of plant biology, playing a vital role in water and nutrient absorption, anchorage, and storage. Understanding the anatomy and functions of the root tip can provide valuable insights into plant growth and development, leading to improved horticultural practices and enhanced crop yields. By using techniques such as microscopy, histochemical staining, and immunohistochemistry, researchers can study the root tip in detail and uncover its secrets. Despite the challenges involved, studying the root tip remains an essential area of research with significant implications for plant biology and horticulture.

Related Terms:

  • root tip diagram
  • root tip function
  • root tip location
  • root cap regions
  • root tip structure
  • tomato root tip