Reticular Tissue Location

Reticular Tissue Location

Understanding the reticular tissue location is crucial for anyone studying anatomy or physiology. Reticular tissue, also known as reticular connective tissue, is a type of loose connective tissue found throughout the body. It plays a vital role in supporting and anchoring various organs and structures. This tissue is characterized by its network of reticular fibers, which are thin and branching, providing a flexible yet strong framework.

What is Reticular Tissue?

Reticular tissue is a specialized form of connective tissue that consists of reticular fibers and reticular cells. The reticular fibers are composed of type III collagen and are produced by reticular cells. These fibers form a delicate network that supports and anchors other cells and tissues. Reticular tissue is found in various locations throughout the body, each serving specific functions.

Key Functions of Reticular Tissue

Reticular tissue serves several important functions in the body:

  • Support and Anchoring: It provides structural support to organs and tissues, helping to maintain their shape and position.
  • Immune Function: Reticular tissue is a key component of the lymphatic system, where it supports the development and function of immune cells.
  • Blood Cell Production: In the bone marrow, reticular tissue supports the production of blood cells.
  • Filtering: It aids in filtering blood and lymph, helping to remove waste products and foreign particles.

Reticular Tissue Location

Reticular tissue is found in several key locations throughout the body, each with specific roles and functions. Understanding these locations helps in appreciating the tissue’s diverse contributions to overall health and physiology.

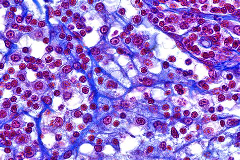
Bone Marrow

The bone marrow is a primary site for reticular tissue. Here, reticular tissue forms a supportive framework for the production of blood cells, including red blood cells, white blood cells, and platelets. This network of reticular fibers provides the necessary structure for hematopoietic stem cells to differentiate and mature into various blood cell types.

Lymphatic System

Reticular tissue is abundant in the lymphatic system, particularly in the lymph nodes, spleen, and thymus. In these organs, reticular tissue supports the development and function of immune cells, such as lymphocytes and macrophages. The reticular fibers create a scaffold that facilitates the interaction between immune cells, enhancing the body’s ability to respond to infections and other immune challenges.

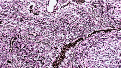
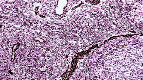
Liver

In the liver, reticular tissue is found in the sinusoids, which are small blood vessels that allow blood to flow through the liver tissue. The reticular fibers in the sinusoids provide structural support and help maintain the integrity of the liver’s microarchitecture. This support is crucial for the liver’s role in detoxification, metabolism, and the production of essential proteins.

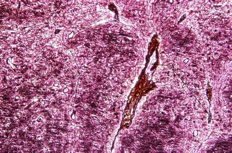
Spleen

The spleen is another important location for reticular tissue. Here, reticular tissue forms a network that supports the spleen’s role in filtering blood and removing old or damaged red blood cells. The reticular fibers also provide a scaffold for immune cells, enhancing the spleen’s ability to respond to infections and other immune challenges.

Thymus

The thymus is a critical organ for the development of T lymphocytes, which are essential for the adaptive immune response. Reticular tissue in the thymus provides a supportive framework for the maturation of T cells, ensuring that they develop properly and are ready to respond to infections and other immune challenges.

Lymph Nodes

Lymph nodes are small, bean-shaped structures that filter lymph fluid and trap foreign particles, such as bacteria and viruses. Reticular tissue in the lymph nodes forms a network that supports the development and function of immune cells, enhancing the body’s ability to respond to infections and other immune challenges.

Structure of Reticular Tissue

Reticular tissue is composed of several key components, each contributing to its unique structure and function. Understanding these components helps in appreciating the tissue’s role in supporting and anchoring various organs and structures.

Reticular Fibers

Reticular fibers are thin, branching fibers composed of type III collagen. These fibers form a delicate network that provides structural support and flexibility. The reticular fibers are produced by reticular cells and are arranged in a mesh-like pattern, creating a scaffold that supports other cells and tissues.

Reticular Cells

Reticular cells are specialized cells that produce reticular fibers. These cells are found throughout the reticular tissue and are responsible for maintaining the tissue’s structure and function. Reticular cells also play a role in supporting the development and function of immune cells, particularly in the lymphatic system.

Ground Substance

The ground substance is a gel-like matrix that surrounds the reticular fibers and cells. It is composed of various proteins, glycoproteins, and proteoglycans, which provide a supportive environment for the reticular tissue. The ground substance helps to maintain the tissue’s structure and function, as well as facilitating the movement of cells and molecules within the tissue.

Importance of Reticular Tissue

Reticular tissue plays a crucial role in maintaining the body’s overall health and function. Its unique structure and location make it essential for supporting and anchoring various organs and tissues, as well as facilitating immune responses and blood cell production. Understanding the importance of reticular tissue helps in appreciating its contributions to overall health and physiology.

📝 Note: Reticular tissue is often overlooked in discussions of connective tissue, but its role in supporting and anchoring various organs and tissues is vital for overall health and function.

Diseases and Disorders

While reticular tissue is generally resilient, certain diseases and disorders can affect its structure and function. Understanding these conditions helps in appreciating the tissue’s importance and the potential impact of its dysfunction on overall health.

Lymphoma

Lymphoma is a type of cancer that affects the lymphatic system, including the reticular tissue in lymph nodes and other organs. In lymphoma, malignant cells proliferate and disrupt the normal structure and function of the reticular tissue, leading to impaired immune responses and other health issues.

Leukemia

Leukemia is a cancer of the blood cells, often originating in the bone marrow. Reticular tissue in the bone marrow supports the production of blood cells, and disruption of this tissue can lead to the uncontrolled proliferation of malignant cells, impairing normal blood cell production and function.

Splenomegaly

Splenomegaly is an enlargement of the spleen, often due to infection, inflammation, or other underlying conditions. In splenomegaly, the reticular tissue in the spleen may become disrupted, leading to impaired filtering of blood and reduced immune function.

Diagnosis and Treatment

Diagnosing and treating conditions that affect reticular tissue often involves a combination of imaging studies, laboratory tests, and biopsy procedures. Understanding these diagnostic and treatment approaches helps in appreciating the importance of early detection and intervention.

Imaging Studies

Imaging studies, such as X-rays, CT scans, and MRI, can help visualize the structure and function of reticular tissue in various organs. These studies can detect abnormalities, such as enlargement or disruption of the tissue, and guide further diagnostic and treatment approaches.

Laboratory Tests

Laboratory tests, such as blood tests and biopsy analysis, can provide valuable information about the structure and function of reticular tissue. These tests can detect abnormalities in blood cell counts, immune cell function, and other markers of tissue health, guiding further diagnostic and treatment approaches.

Biopsy Procedures

Biopsy procedures, such as bone marrow biopsy or lymph node biopsy, can provide direct samples of reticular tissue for analysis. These procedures can help confirm the presence of diseases or disorders affecting the tissue and guide further treatment approaches.

📝 Note: Early detection and intervention are crucial for managing conditions that affect reticular tissue, as they can significantly impact overall health and function.

Research and Future Directions

Ongoing research into reticular tissue and its role in health and disease is essential for advancing our understanding of this important tissue. Future directions in research may focus on developing new diagnostic and treatment approaches, as well as exploring the potential therapeutic applications of reticular tissue.

Diagnostic Advances

Advances in diagnostic imaging and laboratory techniques are enhancing our ability to detect and monitor conditions affecting reticular tissue. Future research may focus on developing more sensitive and specific diagnostic tools, as well as improving the accuracy and reliability of existing methods.

Therapeutic Approaches

Developing new therapeutic approaches for conditions affecting reticular tissue is a critical area of research. Future studies may explore the use of targeted therapies, such as immunotherapy or gene therapy, to address the underlying causes of these conditions and improve patient outcomes.

Therapeutic Applications

Exploring the potential therapeutic applications of reticular tissue is another exciting area of research. Future studies may investigate the use of reticular tissue in tissue engineering and regenerative medicine, as well as its role in enhancing immune function and supporting organ transplantation.

📝 Note: Ongoing research into reticular tissue and its role in health and disease is essential for advancing our understanding of this important tissue and developing new diagnostic and treatment approaches.

Reticular tissue, with its unique structure and diverse locations, plays a crucial role in supporting and anchoring various organs and tissues throughout the body. Its importance in immune function, blood cell production, and filtering makes it an essential component of overall health and physiology. Understanding the reticular tissue location and its functions helps in appreciating its contributions to the body’s complex systems and the potential impact of its dysfunction on overall health. Future research and advancements in diagnostic and therapeutic approaches will continue to enhance our understanding of this vital tissue and improve patient outcomes.

Related Terms:

  • reticular tissue characteristics
  • reticular tissue labeled
  • where is reticular tissue located
  • reticular tissue location and function
  • reticular tissue location in body
  • location of reticular connective tissue