Radial Head Subluxation

Radial Head Subluxation

Radial head subluxation, commonly known as nursemaid's elbow, is a condition that primarily affects young children. It occurs when the radius bone in the forearm partially dislocates from the elbow joint. This condition is particularly common in children between the ages of 1 and 4, and it often results from a sudden pull on the arm, such as when a child is lifted by the hand or wrist. Understanding the causes, symptoms, diagnosis, and treatment of radial head subluxation is crucial for parents and caregivers to ensure prompt and effective management.

Understanding Radial Head Subluxation

Radial head subluxation is a temporary displacement of the radial head from the annular ligament, which normally holds the radius in place. This condition is not typically associated with significant pain or long-term complications, but it can be distressing for both the child and the caregiver. The most common cause of radial head subluxation is a sudden pull on the arm, which can occur during everyday activities such as:

  • Lifting a child by the hand or wrist.
  • Swinging a child by the arms.
  • Pulling a child to prevent a fall.

These actions can cause the annular ligament to slip over the radial head, leading to subluxation. It is important to note that radial head subluxation is not a result of abuse or neglect but rather a common injury in young children due to their developing musculoskeletal system.

Symptoms of Radial Head Subluxation

The symptoms of radial head subluxation are usually quite distinctive and include:

  • Pain: The child may experience sudden pain in the elbow, often accompanied by crying.
  • Refusal to use the arm: The child may refuse to move the affected arm and may hold it in a slightly flexed position.
  • Tenderness: There may be tenderness over the elbow joint.
  • Swelling: Mild swelling around the elbow may be present.

It is important to recognize these symptoms promptly, as early intervention can help alleviate the child's discomfort and prevent further complications.

Diagnosing Radial Head Subluxation

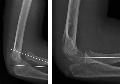
Diagnosing radial head subluxation typically involves a physical examination by a healthcare provider. The diagnosis is usually based on the child's history and the characteristic symptoms. In some cases, an X-ray may be ordered to rule out other potential injuries, such as fractures. However, X-rays are not always necessary for diagnosing radial head subluxation, as the condition is primarily clinical.

During the physical examination, the healthcare provider will:

  • Assess the child's range of motion in the affected arm.
  • Check for tenderness and swelling around the elbow.
  • Evaluate the child's history of recent activities that may have led to the injury.

If radial head subluxation is suspected, the healthcare provider may perform a specific maneuver to reduce the dislocation. This procedure is typically quick and effective, providing immediate relief to the child.

Treatment of Radial Head Subluxation

The treatment for radial head subluxation is straightforward and usually involves a simple reduction maneuver. This procedure can be performed by a healthcare provider or, in some cases, by a trained caregiver. The most common technique for reducing radial head subluxation is the supination-flexion maneuver, which involves:

  • Gently supinating the forearm (turning the palm upward).
  • Flexing the elbow to about 90 degrees.
  • Applying gentle pressure to the radial head to guide it back into place.

This maneuver is typically painless and provides immediate relief. After the reduction, the child should be able to use the arm normally within a short period. However, it is important to monitor the child for any signs of recurrence or complications.

In some cases, the reduction maneuver may not be successful on the first attempt. If this occurs, the healthcare provider may try the maneuver again or consider alternative techniques. It is essential to follow the healthcare provider's instructions and seek further evaluation if the child continues to experience pain or discomfort.

📝 Note: If the child does not improve after the reduction maneuver, or if there are signs of a more serious injury, such as a fracture or nerve damage, further medical evaluation may be necessary.

Preventing Radial Head Subluxation

Preventing radial head subluxation involves being mindful of how you handle young children, especially those between the ages of 1 and 4. Here are some tips to help prevent this condition:

  • Avoid lifting a child by the hand or wrist.
  • Do not swing a child by the arms.
  • Be cautious when pulling a child to prevent a fall.
  • Encourage children to hold onto your hand or wrist when walking or climbing stairs.
  • Teach children to be careful when playing and to avoid sudden, jerky movements.

By following these guidelines, you can significantly reduce the risk of radial head subluxation and ensure the safety and well-being of young children.

When to Seek Medical Attention

While radial head subluxation is generally a minor injury, it is essential to seek medical attention if you suspect your child has this condition. Prompt evaluation and treatment can help alleviate the child's discomfort and prevent further complications. Contact a healthcare provider if your child exhibits any of the following symptoms:

  • Sudden pain in the elbow.
  • Refusal to use the affected arm.
  • Tenderness or swelling around the elbow.
  • Limited range of motion in the arm.

In some cases, radial head subluxation may recur, especially if the child is particularly active or prone to falls. If your child experiences recurrent episodes of radial head subluxation, it is important to discuss this with a healthcare provider. They may recommend additional precautions or interventions to prevent future injuries.

It is also crucial to seek medical attention if the child's symptoms do not improve after the reduction maneuver or if there are signs of a more serious injury. Early intervention can help ensure a prompt and complete recovery.

Long-Term Outlook

The long-term outlook for children with radial head subluxation is generally excellent. Most children recover quickly and completely from this condition, with no long-term complications. However, it is essential to monitor the child for any signs of recurrence or complications, such as:

  • Persistent pain or discomfort.
  • Limited range of motion in the arm.
  • Recurrent episodes of subluxation.

If any of these symptoms persist or worsen, it is important to consult a healthcare provider for further evaluation and treatment. In most cases, radial head subluxation is a minor injury that resolves quickly with appropriate care and management.

In rare cases, children may experience chronic instability in the elbow joint, which can lead to recurrent episodes of subluxation. If this occurs, the healthcare provider may recommend additional interventions, such as physical therapy or, in severe cases, surgical intervention. However, these situations are uncommon, and most children with radial head subluxation make a full recovery without long-term complications.

It is important to note that radial head subluxation is a common condition in young children and is not typically associated with long-term complications. With prompt and appropriate care, most children recover quickly and completely from this injury.

In summary, radial head subluxation is a common condition in young children that results from a sudden pull on the arm. Understanding the causes, symptoms, diagnosis, and treatment of this condition is crucial for parents and caregivers to ensure prompt and effective management. By following preventive measures and seeking medical attention when necessary, you can help ensure the safety and well-being of young children and minimize the risk of complications.

Elbow Anatomy

Radial head subluxation is a common and generally benign condition that can be effectively managed with prompt recognition and appropriate care. By understanding the underlying mechanisms and taking preventive measures, parents and caregivers can help ensure the safety and well-being of young children and minimize the risk of this injury.

Related Terms:

  • radial head subluxation x ray
  • radial head subluxation reduction
  • radial head subluxation position
  • radial head subluxation treatment
  • radial head subluxation meaning
  • radial head subluxation orthobullets