Pyelectasis Of Fetus

Pyelectasis Of Fetus

Pyelectasis of the fetus is a condition characterized by the dilation of the renal pelvis in the fetus, often detected during prenatal ultrasound examinations. This condition can be a source of concern for expectant parents, as it may indicate underlying issues with the urinary system. Understanding the causes, diagnosis, and management of pyelectasis of the fetus is crucial for ensuring the best possible outcomes for both the mother and the baby.

Understanding Pyelectasis of the Fetus

Pyelectasis of the fetus refers to the enlargement of the renal pelvis, which is the part of the kidney that collects urine before it drains into the ureter. This condition is typically classified based on the severity of the dilation. Mild pyelectasis is often considered a normal variant and may resolve on its own, while moderate to severe pyelectasis may require further evaluation and monitoring.

Causes of Pyelectasis of the Fetus

The exact causes of pyelectasis of the fetus can vary. Some of the common factors include:

  • Obstruction in the urinary tract: This can occur due to blockages in the ureter or urethra, preventing the normal flow of urine.
  • Vesicoureteral reflux: This condition occurs when urine flows backward from the bladder into the ureters and kidneys, leading to dilation.
  • Ureteropelvic junction obstruction: This is a blockage at the point where the ureter meets the renal pelvis, causing urine to back up into the kidney.
  • Multicystic dysplastic kidney: This is a congenital condition where the kidney is composed of multiple cysts rather than functional tissue.
  • Posterior urethral valves: This is a condition that affects males, where a membrane blocks the urethra, causing urine to back up into the kidneys.

Diagnosis of Pyelectasis of the Fetus

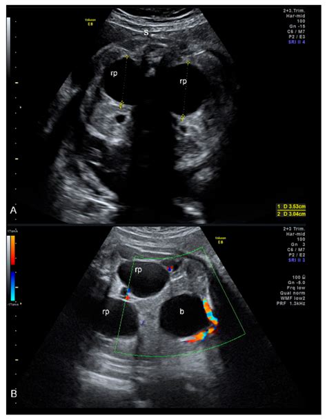
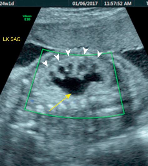
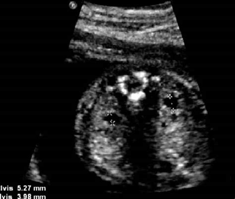
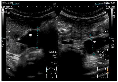
Pyelectasis of the fetus is typically diagnosed during routine prenatal ultrasound examinations. The diagnosis is based on the measurement of the anteroposterior diameter (APD) of the renal pelvis. The severity of pyelectasis is categorized as follows:

Severity APD Measurement (mm)
Mild 4-7
Moderate 7-10
Severe Greater than 10

In addition to ultrasound, other diagnostic tests may be recommended, such as:

  • Fetal MRI: This can provide more detailed images of the fetal kidneys and urinary tract.
  • Amniocentesis: This procedure involves extracting a small amount of amniotic fluid to test for chromosomal abnormalities or infections.
  • Postnatal ultrasound: After birth, a follow-up ultrasound can help assess the condition of the kidneys and urinary tract.

Management and Treatment of Pyelectasis of the Fetus

The management of pyelectasis of the fetus depends on the severity of the condition and the underlying cause. In many cases, mild pyelectasis may resolve on its own and require only routine monitoring. However, more severe cases may necessitate intervention. Here are some common management strategies:

  • Observation: For mild cases, regular ultrasound monitoring may be sufficient to ensure that the condition does not worsen.
  • Medications: In some cases, medications may be prescribed to reduce inflammation or improve urine flow.
  • Surgical intervention: For severe cases, surgical procedures such as pyeloplasty (to correct ureteropelvic junction obstruction) or vesicostomy (to create an opening in the bladder) may be necessary.
  • Postnatal care: After birth, ongoing monitoring and treatment may be required to manage any underlying conditions and ensure the health of the kidneys.

πŸ“ Note: The management plan should be tailored to the individual needs of the fetus and the mother, and it is essential to consult with a healthcare provider for personalized advice.

Risks and Complications

While mild pyelectasis of the fetus often resolves without complications, more severe cases can lead to various risks and complications. Some of the potential issues include:

  • Urinary tract infections: The obstruction or reflux of urine can increase the risk of infections.
  • Kidney damage: Prolonged obstruction can lead to permanent damage to the kidneys, affecting their function.
  • Hypertension: In some cases, pyelectasis can contribute to high blood pressure in the fetus or newborn.
  • Renal failure: Severe and untreated pyelectasis can lead to renal failure, requiring dialysis or a kidney transplant.

Preventive Measures

While there is no guaranteed way to prevent pyelectasis of the fetus, certain measures can help reduce the risk of complications:

  • Regular prenatal care: Attending all scheduled prenatal appointments and undergoing routine ultrasounds can help detect pyelectasis early.
  • Healthy lifestyle: Maintaining a healthy diet, staying hydrated, and avoiding harmful substances can support overall fetal health.
  • Genetic counseling: For families with a history of urinary tract abnormalities, genetic counseling can provide valuable information and guidance.

πŸ“ Note: Early detection and intervention are key to managing pyelectasis of the fetus effectively.

Long-Term Outcomes

The long-term outcomes for infants with pyelectasis of the fetus can vary widely depending on the severity of the condition and the underlying cause. In many cases, mild pyelectasis resolves without any long-term effects. However, more severe cases may require ongoing medical management and monitoring. Regular follow-up with a pediatric urologist can help ensure that any potential issues are addressed promptly.

Parents of infants with pyelectasis of the fetus should be aware of the signs of urinary tract infections and kidney problems, such as fever, abdominal pain, and changes in urine output. Prompt medical attention can help prevent complications and ensure the best possible outcomes.

In some cases, infants with pyelectasis may require surgical intervention to correct underlying issues. Procedures such as pyeloplasty or vesicostomy can improve urine flow and reduce the risk of kidney damage. Postoperative care and follow-up are essential to monitor the infant's progress and address any potential complications.

For families affected by pyelectasis of the fetus, support from healthcare providers, family, and friends can make a significant difference. Joining support groups or seeking counseling can provide emotional support and practical advice. It is essential to stay informed about the condition and work closely with healthcare providers to ensure the best possible outcomes for the infant.

In summary, pyelectasis of the fetus is a condition that requires careful monitoring and management. Understanding the causes, diagnosis, and treatment options can help expectant parents navigate this challenging situation with confidence. Regular prenatal care, early detection, and appropriate intervention are crucial for ensuring the health and well-being of both the mother and the baby. By staying informed and working closely with healthcare providers, families can address the challenges posed by pyelectasis of the fetus and achieve positive outcomes.

Related Terms:

  • kidney pyelectasis
  • pyelectasis fetus should you worry
  • what causes fetal pyelectasis
  • pyelectasis neonatal
  • fetal pyelectasis meaning
  • pyelectasis vs hydronephrosis