Pulmonary Vein Stenosis

Pulmonary Vein Stenosis

Pulmonary Vein Stenosis (PVS) is a rare but serious condition that affects the veins responsible for carrying oxygen-rich blood from the lungs to the heart. This condition can significantly impact a person's quality of life and, if left untreated, can lead to severe complications. Understanding the causes, symptoms, diagnosis, and treatment options for Pulmonary Vein Stenosis is crucial for both patients and healthcare providers.

Understanding Pulmonary Vein Stenosis

Pulmonary Vein Stenosis occurs when one or more of the pulmonary veins become narrowed or blocked. This narrowing can restrict blood flow from the lungs to the heart, leading to various symptoms and complications. The condition can be congenital, meaning it is present at birth, or acquired, developing later in life due to various factors.

Causes of Pulmonary Vein Stenosis

The exact causes of Pulmonary Vein Stenosis can vary. In congenital cases, the condition may be due to abnormal development of the pulmonary veins during fetal growth. Acquired Pulmonary Vein Stenosis can result from several factors, including:

  • Inflammation: Chronic inflammation of the pulmonary veins can lead to scarring and narrowing.
  • Surgery: Certain cardiac surgeries, particularly those involving the pulmonary veins, can result in stenosis.
  • Radiation Therapy: Radiation treatment for lung cancer or other thoracic malignancies can cause scarring and narrowing of the pulmonary veins.
  • Connective Tissue Disorders: Conditions like Marfan syndrome and Ehlers-Danlos syndrome can affect the structure and function of the pulmonary veins.

Symptoms of Pulmonary Vein Stenosis

The symptoms of Pulmonary Vein Stenosis can vary depending on the severity of the narrowing and the number of affected veins. Common symptoms include:

  • Shortness of Breath: Difficulty breathing, especially during physical activity.
  • Fatigue: Persistent tiredness and lack of energy.
  • Cough: A persistent cough that may be dry or productive.
  • Chest Pain: Discomfort or pain in the chest area.
  • Swelling: Edema in the legs, ankles, or feet.
  • Cyanosis: A bluish discoloration of the skin due to lack of oxygen.

In severe cases, Pulmonary Vein Stenosis can lead to pulmonary hypertension, a condition characterized by high blood pressure in the pulmonary arteries. This can further exacerbate symptoms and increase the risk of complications.

Diagnosing Pulmonary Vein Stenosis

Diagnosing Pulmonary Vein Stenosis involves a combination of medical history, physical examination, and diagnostic tests. The diagnostic process typically includes:

  • Medical History and Physical Examination: The healthcare provider will review the patient's medical history and perform a physical exam to assess symptoms and identify any signs of Pulmonary Vein Stenosis.
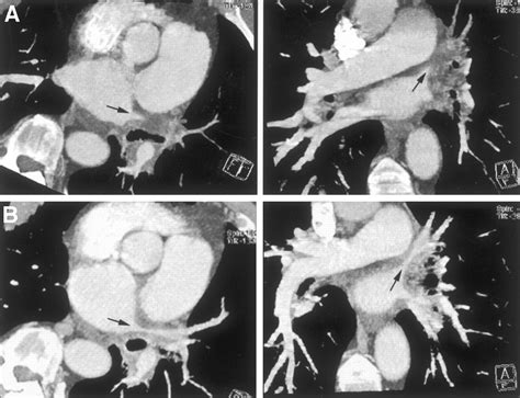
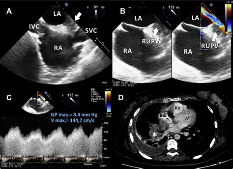
  • Imaging Tests: Various imaging tests can help visualize the pulmonary veins and detect any narrowing or blockages. These tests may include:
Test Description
Chest X-ray Provides a basic image of the lungs and heart to detect any abnormalities.
Echocardiogram Uses sound waves to create images of the heart and pulmonary veins, assessing blood flow and detecting any narrowing.
Computed Tomography (CT) Scan Provides detailed images of the pulmonary veins and surrounding structures, helping to identify the location and extent of stenosis.
Magnetic Resonance Imaging (MRI) Offers high-resolution images of the pulmonary veins and heart, useful for assessing blood flow and detecting stenosis.
Cardiac Catheterization Involves inserting a thin tube into the heart and pulmonary veins to measure pressure and blood flow, providing detailed information about the severity of stenosis.

These diagnostic tests help healthcare providers determine the presence and severity of Pulmonary Vein Stenosis, guiding the development of an appropriate treatment plan.

📝 Note: Early diagnosis and intervention are crucial for managing Pulmonary Vein Stenosis and preventing complications.

Treatment Options for Pulmonary Vein Stenosis

The treatment of Pulmonary Vein Stenosis depends on the severity of the condition, the number of affected veins, and the patient's overall health. Treatment options may include:

  • Medications: Certain medications can help manage symptoms and improve blood flow. These may include:
  • Diuretics: To reduce fluid retention and swelling.
  • Vasodilators: To widen blood vessels and improve blood flow.
  • Anticoagulants: To prevent blood clots, which can further complicate Pulmonary Vein Stenosis.

Interventional Procedures: In some cases, minimally invasive procedures may be recommended to open narrowed pulmonary veins. These procedures include:

  • Balloon Angioplasty: A thin catheter with a balloon at the tip is inserted into the narrowed vein and inflated to widen the passageway.
  • Stent Placement: A small mesh tube is placed in the narrowed vein to keep it open and improve blood flow.

Surgery: In severe cases, surgical intervention may be necessary. Surgical options include:

  • Pulmonary Vein Reconstruction: Surgery to repair or reconstruct the narrowed pulmonary veins.
  • Lung Transplant: In rare cases, a lung transplant may be considered for patients with severe Pulmonary Vein Stenosis that does not respond to other treatments.

Lifestyle Changes: Adopting a healthy lifestyle can help manage symptoms and improve overall health. Recommendations may include:

  • Regular Exercise: To improve cardiovascular health and reduce symptoms.
  • Healthy Diet: To maintain a balanced diet rich in fruits, vegetables, and lean proteins.
  • Avoiding Smoking: To prevent further damage to the lungs and pulmonary veins.

Each treatment plan is tailored to the individual patient's needs and may involve a combination of these options. Regular follow-up with healthcare providers is essential to monitor the condition and adjust the treatment plan as needed.

📝 Note: Treatment for Pulmonary Vein Stenosis requires a multidisciplinary approach, involving cardiologists, pulmonologists, and other specialists.

Living with Pulmonary Vein Stenosis

Living with Pulmonary Vein Stenosis can be challenging, but with proper management and support, patients can lead fulfilling lives. Key aspects of managing the condition include:

  • Regular Medical Check-ups: Regular visits to healthcare providers to monitor the condition and adjust treatment as needed.
  • Medication Management: Adhering to the prescribed medication regimen to manage symptoms and prevent complications.
  • Lifestyle Modifications: Making healthy lifestyle choices, such as regular exercise, a balanced diet, and avoiding smoking.
  • Support Network: Building a support network of family, friends, and healthcare providers to cope with the emotional and physical challenges of the condition.

Patients with Pulmonary Vein Stenosis may also benefit from joining support groups or online communities to share experiences, gain insights, and receive emotional support.

Pulmonary Vein Stenosis is a complex condition that requires careful management and ongoing care. By understanding the causes, symptoms, diagnosis, and treatment options, patients and healthcare providers can work together to improve outcomes and enhance the quality of life for those affected by this condition.

Pulmonary Vein Stenosis is a rare but significant condition that affects the pulmonary veins, which are crucial for carrying oxygen-rich blood from the lungs to the heart. Understanding the causes, symptoms, diagnosis, and treatment options is essential for managing this condition effectively. Early diagnosis and intervention are key to preventing complications and improving the quality of life for patients with Pulmonary Vein Stenosis. Regular follow-up with healthcare providers, adherence to treatment plans, and a healthy lifestyle can help patients cope with the challenges of this condition and lead fulfilling lives.

Related Terms:

  • pulmonary vein stenosis patient portal
  • pulmonary vein stenosis in adults
  • left upper pulmonary vein stenosis
  • pulmonary vein stenosis prognosis
  • pulmonary vein stenosis in newborns
  • symptoms of pulmonary vein stenosis