Pulmonary Embolism X Ray

Pulmonary Embolism X Ray

Pulmonary embolism (PE) is a serious medical condition that occurs when a blood clot, typically originating from the deep veins of the legs or pelvis, travels to the lungs and blocks one or more pulmonary arteries. This blockage can lead to severe complications, including shortness of breath, chest pain, and even death if not treated promptly. Diagnosing pulmonary embolism can be challenging due to its varied symptoms, which often mimic other conditions. One of the diagnostic tools used in the evaluation of PE is the Pulmonary Embolism X Ray.

Understanding Pulmonary Embolism

Pulmonary embolism is a life-threatening condition that requires immediate medical attention. It is often caused by deep vein thrombosis (DVT), a condition where blood clots form in the deep veins, usually in the legs. These clots can dislodge and travel through the bloodstream to the lungs, where they obstruct the pulmonary arteries. This obstruction can lead to reduced blood flow to the lungs, causing symptoms such as:

  • Shortness of breath
  • Chest pain
  • Rapid heartbeat
  • Coughing up blood
  • Lightheadedness or fainting

Risk factors for pulmonary embolism include:

  • Prolonged immobility, such as during long flights or bed rest
  • Surgery, especially orthopedic procedures
  • Certain medical conditions, such as cancer, heart disease, and inflammatory bowel disease
  • Pregnancy and the postpartum period
  • Use of hormonal birth control or hormone replacement therapy
  • Family history of blood clots

Diagnosing Pulmonary Embolism

Diagnosing pulmonary embolism involves a combination of clinical evaluation, laboratory tests, and imaging studies. The Pulmonary Embolism X Ray is one of the imaging tools used to aid in the diagnosis. However, it is important to note that a chest X-ray alone is not sufficient to confirm or rule out PE. It is often used as an initial screening tool to rule out other conditions that may present with similar symptoms.

Other diagnostic tests for pulmonary embolism include:

  • D-dimer blood test: This test measures the level of D-dimer, a substance released when a blood clot breaks down. A negative D-dimer test can help rule out PE, but a positive test requires further evaluation.
  • Computed tomography pulmonary angiography (CTPA): This is the gold standard for diagnosing PE. It involves injecting a contrast dye into the bloodstream and using CT scans to visualize the pulmonary arteries.
  • Ventilation/perfusion (V/Q) scan: This nuclear medicine test assesses blood flow and air ventilation in the lungs. It can help identify areas of the lung that are not receiving blood flow due to a clot.
  • Echocardiogram: This ultrasound test can visualize the heart and pulmonary arteries, helping to assess the impact of PE on heart function.

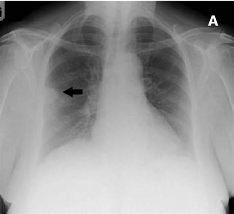
Role of Pulmonary Embolism X Ray in Diagnosis

The Pulmonary Embolism X Ray plays a crucial role in the initial evaluation of suspected PE. While it cannot definitively diagnose PE, it can help rule out other conditions that may present with similar symptoms, such as pneumonia, heart failure, or lung cancer. A normal chest X-ray does not exclude the possibility of PE, but it can provide valuable information that guides further diagnostic testing.

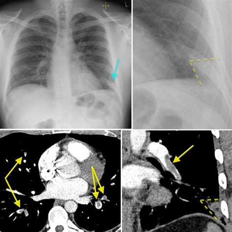
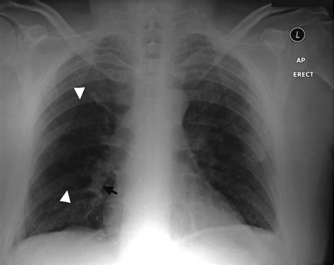
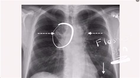
Key findings on a Pulmonary Embolism X Ray that may suggest PE include:

  • Wedge-shaped opacities: These are areas of increased density in the lung tissue, often seen in the periphery of the lung.
  • Pleural effusion: Fluid accumulation in the pleural space, which can be a sign of inflammation or infection.
  • Enlarged pulmonary arteries: Dilatation of the pulmonary arteries, which may indicate increased pressure due to a clot.
  • Atelectasis: Collapse or incomplete expansion of the lung tissue, which can be a sign of obstruction.

However, it is important to note that these findings are not specific to PE and can be seen in other conditions. Therefore, further diagnostic testing is often required to confirm the diagnosis.

Interpreting Pulmonary Embolism X Ray Results

Interpreting the results of a Pulmonary Embolism X Ray requires expertise in radiology. The radiologist will review the images and provide a report that includes:

  • Description of any abnormalities seen on the X-ray
  • Comparison with previous X-rays, if available
  • Differential diagnosis, including possible causes of the findings
  • Recommendations for further diagnostic testing

It is essential to communicate the results of the Pulmonary Embolism X Ray to the treating physician, who will use this information along with clinical findings and other diagnostic tests to make a final diagnosis. The radiologist's report should be reviewed carefully, and any questions or concerns should be addressed promptly.

📝 Note: The Pulmonary Embolism X Ray is just one part of the diagnostic workup for PE. It should be interpreted in the context of the patient's clinical presentation and other diagnostic tests.

Treatment of Pulmonary Embolism

Once a diagnosis of pulmonary embolism is confirmed, prompt treatment is essential to prevent complications and improve outcomes. The primary goal of treatment is to dissolve the clot, restore blood flow to the lungs, and prevent further clots from forming. Treatment options for PE include:

  • Anticoagulation therapy: Medications such as heparin, warfarin, or direct oral anticoagulants (DOACs) are used to prevent the formation of new clots and allow the body to dissolve the existing clot.
  • Thrombolytic therapy: In severe cases, thrombolytic drugs such as tissue plasminogen activator (tPA) may be used to dissolve the clot rapidly.
  • Inferior vena cava (IVC) filter: A small device placed in the inferior vena cava to trap clots and prevent them from traveling to the lungs.
  • Catheter-directed thrombolysis: A minimally invasive procedure that involves inserting a catheter into the pulmonary artery to deliver thrombolytic drugs directly to the clot.
  • Surgical embolectomy: In rare cases, surgery may be performed to remove the clot from the pulmonary artery.

The choice of treatment depends on the severity of the PE, the patient's overall health, and the presence of any underlying conditions. Early diagnosis and treatment are crucial for improving outcomes and reducing the risk of complications.

Preventing Pulmonary Embolism

Preventing pulmonary embolism involves identifying and managing risk factors, as well as taking proactive measures to reduce the likelihood of blood clot formation. Strategies for preventing PE include:

  • Early mobilization: Encouraging patients to move around and avoid prolonged immobility, especially after surgery or during long flights.
  • Compression stockings: Wearing graduated compression stockings to improve blood flow in the legs and reduce the risk of DVT.
  • Anticoagulation therapy: Using blood-thinning medications to prevent clot formation in high-risk individuals.
  • Hydration: Staying well-hydrated to maintain proper blood viscosity and reduce the risk of clot formation.
  • Lifestyle modifications: Maintaining a healthy weight, avoiding smoking, and managing underlying medical conditions such as heart disease and diabetes.

It is essential to discuss individual risk factors and preventive measures with a healthcare provider, who can provide personalized recommendations based on the patient's medical history and current health status.

📝 Note: Preventive measures should be tailored to the individual's risk factors and overall health status. Consulting with a healthcare provider is crucial for developing an effective prevention plan.

Living with Pulmonary Embolism

Living with pulmonary embolism can be challenging, but with proper management and support, many patients can lead fulfilling lives. Key aspects of managing PE include:

  • Adhering to the prescribed treatment plan, including anticoagulation therapy and follow-up appointments.
  • Monitoring for signs of recurrence or complications, such as shortness of breath, chest pain, or swelling in the legs.
  • Making lifestyle modifications to reduce the risk of future clots, such as maintaining a healthy weight, staying active, and avoiding smoking.
  • Seeking support from healthcare providers, family, and friends to cope with the emotional and physical challenges of living with PE.

Regular follow-up with a healthcare provider is essential for monitoring the patient's condition, adjusting treatment as needed, and addressing any concerns or questions that may arise. Support groups and educational resources can also provide valuable information and emotional support for patients and their families.

Pulmonary embolism is a serious medical condition that requires prompt diagnosis and treatment. The Pulmonary Embolism X Ray plays a crucial role in the initial evaluation of suspected PE, helping to rule out other conditions and guide further diagnostic testing. Early diagnosis and treatment are essential for improving outcomes and reducing the risk of complications. By understanding the symptoms, risk factors, and diagnostic tools for PE, individuals can take proactive steps to prevent this condition and seek timely medical attention if symptoms arise.

Pulmonary embolism is a complex condition that requires a multidisciplinary approach to diagnosis and management. The Pulmonary Embolism X Ray is just one part of the diagnostic workup, and its results should be interpreted in the context of the patient’s clinical presentation and other diagnostic tests. By working closely with healthcare providers and following a comprehensive treatment plan, patients can effectively manage PE and improve their quality of life.

Related Terms:

  • pulmonary embolism x ray signs
  • pulmonary embolism westermark sign
  • pulmonary embolism x ray pictures
  • zero to finals pulmonary embolism
  • pulmonary embolism on chest xray
  • how to diagnose pulmonary embolism