Pseudostratified Columnar Epithelium

Pseudostratified Columnar Epithelium

The human body is a marvel of complexity, with various tissues and structures working in harmony to maintain life. Among these, the pseudostratified columnar epithelium plays a crucial role in several organs, particularly in the respiratory and reproductive systems. This type of epithelium is characterized by its unique structure, which allows it to perform specialized functions essential for the body's overall health.

Understanding Pseudostratified Columnar Epithelium

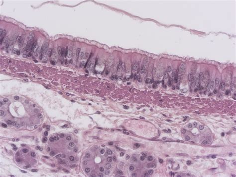
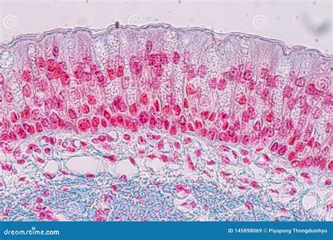
The pseudostratified columnar epithelium is a type of epithelial tissue that lines various organs and structures in the body. Despite its name, it is not truly stratified; instead, it appears stratified due to the varying heights of the nuclei within the cells. This epithelium is composed of tall, column-shaped cells that are tightly packed together, giving it a columnar appearance. The nuclei of these cells are located at different levels, creating the illusion of multiple layers, hence the term "pseudostratified."

Structure and Composition

The pseudostratified columnar epithelium is primarily found in the respiratory tract, including the trachea, bronchi, and nasal passages. It is also present in the male reproductive system, specifically in the epididymis and the vas deferens. The structure of this epithelium is designed to perform specific functions:

  • Cilia: Many of the cells in this epithelium have cilia, which are hair-like projections that beat in a coordinated manner to move mucus and foreign particles out of the respiratory tract.
  • Goblet Cells: These cells secrete mucus, which helps to trap and remove particles and pathogens from the respiratory tract.
  • Basal Cells: These cells act as stem cells, capable of dividing and differentiating into other cell types to replace damaged or lost cells.

Functions of Pseudostratified Columnar Epithelium

The primary functions of the pseudostratified columnar epithelium are closely tied to its structure and location in the body. In the respiratory system, its main roles include:

  • Mucociliary Clearance: The coordinated beating of cilia and the secretion of mucus work together to remove dust, bacteria, and other foreign particles from the respiratory tract, preventing them from reaching the lungs.
  • Protection: The mucus layer acts as a barrier, protecting the underlying tissues from damage and infection.
  • Gas Exchange: In the respiratory system, this epithelium helps maintain the integrity of the airways, ensuring efficient gas exchange in the lungs.

In the male reproductive system, the pseudostratified columnar epithelium plays a different but equally important role:

  • Sperm Transport: The cilia in the epididymis and vas deferens help to move sperm along the reproductive tract, facilitating fertilization.
  • Secretion: The epithelium secretes fluids that nourish and protect the sperm, ensuring their viability and motility.

Diseases and Disorders

Dysfunction or damage to the pseudostratified columnar epithelium can lead to various diseases and disorders. In the respiratory system, conditions such as chronic bronchitis and cystic fibrosis can impair the mucociliary clearance mechanism, leading to recurrent infections and respiratory distress. In the male reproductive system, damage to this epithelium can affect sperm production and transport, leading to infertility.

Some common diseases and disorders associated with the pseudostratified columnar epithelium include:

Disease/Disorder Affected System Symptoms
Chronic Bronchitis Respiratory Persistent cough, mucus production, shortness of breath
Cystic Fibrosis Respiratory Thick, sticky mucus, recurrent lung infections, difficulty breathing
Infertility Reproductive Difficulty conceiving, low sperm count, poor sperm motility

📝 Note: While these conditions can significantly impact quality of life, early diagnosis and appropriate management can help mitigate their effects.

Diagnosis and Treatment

Diagnosing conditions related to the pseudostratified columnar epithelium often involves a combination of clinical evaluation, imaging studies, and laboratory tests. For respiratory conditions, pulmonary function tests, chest X-rays, and sputum analysis may be used. In the reproductive system, semen analysis and hormonal tests are common diagnostic tools.

Treatment approaches vary depending on the specific condition but may include:

  • Medications: Bronchodilators, mucolytics, and antibiotics are commonly used to manage respiratory conditions. Hormonal therapies and assisted reproductive techniques may be employed for infertility.
  • Lifestyle Changes: Quitting smoking, avoiding environmental irritants, and maintaining a healthy diet can improve respiratory health.
  • Physical Therapy: Chest physiotherapy and breathing exercises can help clear mucus and improve lung function.

Research and Future Directions

Ongoing research into the pseudostratified columnar epithelium aims to better understand its functions and develop more effective treatments for related diseases. Advances in genetic engineering and stem cell therapy hold promise for repairing damaged epithelium and restoring normal function. Additionally, studies on the molecular mechanisms underlying mucociliary clearance and sperm transport may lead to new therapeutic targets.

Some key areas of research include:

  • Genetic Studies: Identifying genetic mutations that contribute to diseases like cystic fibrosis and developing targeted therapies.
  • Stem Cell Therapy: Exploring the use of stem cells to regenerate damaged epithelium and improve organ function.
  • Molecular Biology: Investigating the molecular pathways involved in mucociliary clearance and sperm transport to develop new treatments.

Future directions in this field are likely to focus on personalized medicine, where treatments are tailored to an individual's genetic makeup and specific needs. This approach holds the potential to revolutionize the management of diseases related to the pseudostratified columnar epithelium, improving outcomes and quality of life for patients.

In conclusion, the pseudostratified columnar epithelium is a vital component of the human body, playing essential roles in the respiratory and reproductive systems. Its unique structure and functions make it indispensable for maintaining health and preventing disease. Understanding this epithelium and the conditions that affect it is crucial for developing effective diagnostic and treatment strategies. As research continues to advance, we can expect significant improvements in the management of related diseases, offering hope to those affected by these conditions.

Related Terms:

  • pseudostratified vs stratified
  • transitional epithelium
  • stratified cuboidal epithelium
  • simple columnar epithelium
  • stratified columnar epithelium
  • pseudostratified columnar epithelium function