Prurigo Of Pregnancy

Prurigo Of Pregnancy

Pregnancy is a beautiful journey filled with numerous changes in a woman's body. While many of these changes are expected and well-documented, some conditions can be less familiar and more challenging to manage. One such condition is Prurigo of Pregnancy, a skin disorder that can cause significant discomfort and distress. Understanding this condition, its symptoms, causes, and management strategies is crucial for expectant mothers and healthcare providers alike.

What is Prurigo of Pregnancy?

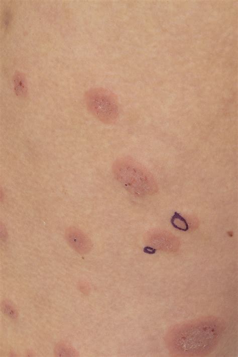
Prurigo of Pregnancy, also known as pruritic urticarial papules and plaques of pregnancy (PUPPP), is a skin condition that typically appears in the third trimester of pregnancy. It is characterized by the sudden onset of intensely itchy, red bumps and plaques that can spread rapidly across the body. While the exact cause of Prurigo of Pregnancy is not fully understood, it is believed to be related to hormonal changes and the stretching of the skin as the baby grows.

Symptoms of Prurigo of Pregnancy

The primary symptom of Prurigo of Pregnancy is intense itching, which can be quite debilitating. Other symptoms include:

  • Red, raised bumps or plaques on the skin
  • Hives or welts that may come and go
  • Skin that appears stretched or taut
  • Burning or stinging sensations

These symptoms can affect various parts of the body, but they are most commonly seen on the abdomen, thighs, and buttocks. The itching can be so severe that it interferes with sleep and daily activities.

Causes and Risk Factors

The exact cause of Prurigo of Pregnancy is not well understood, but several factors are believed to contribute to its development:

  • Hormonal changes: Fluctuations in hormone levels during pregnancy can affect the skin's sensitivity and reactivity.
  • Skin stretching: As the baby grows, the skin stretches to accommodate the increasing size of the uterus, which can lead to irritation and itching.
  • Genetic predisposition: Some women may have a genetic predisposition to developing Prurigo of Pregnancy.
  • Allergic reactions: In some cases, the condition may be triggered by an allergic reaction to certain substances or environmental factors.

While Prurigo of Pregnancy can affect any pregnant woman, certain risk factors may increase the likelihood of developing the condition:

  • First pregnancy: Women who are pregnant for the first time are more likely to develop Prurigo of Pregnancy.
  • Multiple gestation: Women carrying twins or multiples have a higher risk of developing the condition.
  • Family history: A family history of Prurigo of Pregnancy or other skin conditions may increase the risk.

Diagnosis and Treatment

Diagnosing Prurigo of Pregnancy typically involves a physical examination and a review of the patient's medical history. In some cases, a skin biopsy may be performed to rule out other conditions. Treatment options for Prurigo of Pregnancy focus on relieving symptoms and managing the condition until delivery. Common treatment approaches include:

  • Topical corticosteroids: These medications can help reduce inflammation and itching.
  • Oral antihistamines: Antihistamines can help alleviate itching and reduce the severity of symptoms.
  • Moisturizers: Regular use of moisturizers can help soothe the skin and reduce irritation.
  • Cool compresses: Applying cool compresses to the affected areas can provide temporary relief from itching.
  • Avoiding triggers: Identifying and avoiding potential triggers, such as certain soaps or fabrics, can help manage symptoms.

In severe cases, additional treatments such as phototherapy or systemic corticosteroids may be recommended. It is essential to consult with a healthcare provider to determine the most appropriate treatment plan.

Management Strategies

Managing Prurigo of Pregnancy involves a combination of medical treatments and lifestyle adjustments. Here are some strategies that can help expectant mothers cope with this condition:

  • Wear loose, breathable clothing to minimize skin irritation.
  • Avoid hot showers or baths, as they can exacerbate itching.
  • Use gentle, fragrance-free skincare products to reduce the risk of irritation.
  • Stay hydrated by drinking plenty of water.
  • Practice stress-reduction techniques, such as meditation or deep breathing, to help manage discomfort.

It is also important to maintain regular communication with healthcare providers to monitor the condition and adjust treatment as needed.

When to Seek Medical Attention

While Prurigo of Pregnancy is generally considered a benign condition, it is essential to seek medical attention if symptoms worsen or if new symptoms develop. Some signs that warrant immediate medical attention include:

  • Severe itching that interferes with daily activities or sleep.
  • Rapid spread of the rash or the development of new lesions.
  • Fever or chills.
  • Difficulty breathing or swallowing.
  • Signs of infection, such as pus or increased redness around the affected areas.

Prompt medical attention can help prevent complications and ensure the health and well-being of both the mother and the baby.

Impact on the Baby

Prurigo of Pregnancy is generally considered safe for the baby, as it does not typically affect fetal development. However, severe itching and discomfort can impact the mother's quality of life and overall well-being. It is essential to manage symptoms effectively to ensure a healthy and comfortable pregnancy.

In rare cases, Prurigo of Pregnancy may be associated with other conditions that can affect the baby, such as intrahepatic cholestasis of pregnancy (ICP). Regular prenatal check-ups and monitoring can help detect and manage any potential complications.

Prevention Tips

While there is no guaranteed way to prevent Prurigo of Pregnancy, certain measures can help reduce the risk of developing the condition:

  • Maintain a healthy lifestyle, including a balanced diet and regular exercise.
  • Stay hydrated by drinking plenty of water.
  • Avoid exposure to potential irritants, such as harsh chemicals or allergens.
  • Use gentle, fragrance-free skincare products.
  • Wear loose, breathable clothing to minimize skin irritation.

Regular prenatal check-ups and open communication with healthcare providers can also help identify and manage any potential risk factors.

📝 Note: It is important to note that while these prevention tips can help reduce the risk of Prurigo of Pregnancy, they do not guarantee prevention. Regular medical check-ups and prompt treatment are essential for managing the condition effectively.

Support and Resources

Dealing with Prurigo of Pregnancy can be challenging, but there are resources and support available to help expectant mothers cope with this condition. Joining support groups, both online and offline, can provide a sense of community and shared experiences. Healthcare providers can also offer guidance and support throughout the pregnancy journey.

Some helpful resources include:

  • Online forums and support groups for pregnant women.
  • Books and articles on managing skin conditions during pregnancy.
  • Consultations with dermatologists or other specialists.

Engaging with these resources can provide valuable information and emotional support during this challenging time.

Case Studies and Real-Life Experiences

Hearing from other women who have experienced Prurigo of Pregnancy can provide valuable insights and comfort. Here are a few real-life experiences shared by women who have dealt with this condition:

Case Study 1: Sarah's Story

Sarah, a first-time mother, developed Prurigo of Pregnancy in her third trimester. She described the intense itching as unbearable, affecting her sleep and daily activities. After consulting with her healthcare provider, she was prescribed topical corticosteroids and oral antihistamines, which provided significant relief. Sarah also found that wearing loose, breathable clothing and using gentle skincare products helped manage her symptoms.

Case Study 2: Emily's Experience

Emily, who was carrying twins, experienced Prurigo of Pregnancy with severe symptoms. She sought medical attention promptly and was advised to use cool compresses and moisturizers to soothe her skin. Emily also practiced stress-reduction techniques, such as meditation and deep breathing, which helped her cope with the discomfort. Regular check-ups with her healthcare provider ensured that her condition was monitored and managed effectively.

Case Study 3: Laura's Journey

Laura, who had a family history of Prurigo of Pregnancy, was proactive in managing her symptoms. She used gentle, fragrance-free skincare products and avoided potential irritants. Laura also stayed hydrated and maintained a healthy lifestyle, which helped reduce the severity of her symptoms. Regular communication with her healthcare provider ensured that her condition was well-managed throughout her pregnancy.

These real-life experiences highlight the importance of early intervention, effective management strategies, and regular medical check-ups in coping with Prurigo of Pregnancy.

Prurigo of Pregnancy is a challenging condition that can cause significant discomfort and distress for expectant mothers. Understanding the symptoms, causes, and management strategies is crucial for ensuring a healthy and comfortable pregnancy. By seeking prompt medical attention, following recommended treatments, and adopting lifestyle adjustments, women can effectively manage Prurigo of Pregnancy and enjoy a positive pregnancy experience.

Related Terms:

  • prurigo of pregnancy icd 10
  • pruritic folliculitis of pregnancy
  • pruritic folliculitis
  • pemphigoid gestationis pregnancy
  • prurigo of pregnancy patient information
  • prurigo of pregnancy treatment